- 詰め物・被せもの
- セラミック・ジルコニア
- インプラント
- ブリッジ
70代女性 欠損している部分にインプラントを埋め込みしっかり噛めるようにした症例
ご相談内容
「他院で左上奥歯を抜いて入れ歯を作製したが、きちんと噛めない。また、入れ歯の出し入れが煩わしい」とご相談いただきました。
カウンセリング・診断結果
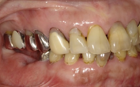
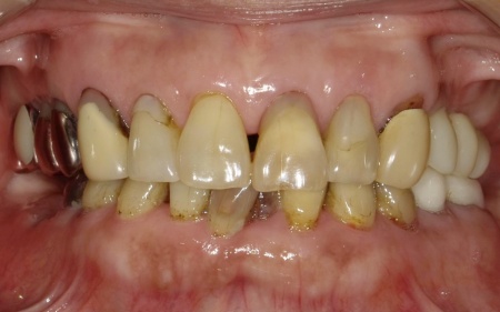
拝見したところ、左上の奥歯4本が欠損しており部分入れ歯で補っていました。
しかし部分入れ歯はピッタリと合っておらず、奥歯でしっかり噛むことが難しい状態です。
また左下の一番奥の歯は欠損、手前の歯2本には銀色の被せ物(メタルクラウン)が装着されていました。
しかし経年劣化により適合が悪くなり、被せ物と歯ぐきの境目に隙間ができているため、このまま放置すると隙間に汚れが溜まって、虫歯や歯周病のリスクが高まります。
以上のことから、左上および左下奥歯の機能を回復するための治療が必要と診断しました。
行ったご提案・治療内容
左上奥歯のように歯が複数本欠損している場合は、部分入れ歯か人工歯根を埋め込むインプラント治療を選択することができます。
部分入れ歯とインプラントのメリット・デメリットは以下の通りです。
部分入れ歯
メリット:保険診療内であれば、比較的費用を抑えた治療が可能
デメリット:装着時に違和感を覚えやすく、取り外しの煩わしさを感じることがある
インプラント
メリット:取り外しの必要がなく、自分の歯のような感覚でしっかりと噛める
デメリット:自由診療のため費用がかかる
患者様は入れ歯に対して強い不満をお持ちであったため、インプラントによる治療を希望されました。
ただし、顎の骨が痩せたり減ったりしているとインプラントが施せない可能性があります。
そこでレントゲン撮影とCT撮影を行い顎の骨の状態を確認した結果、特に問題が見られなかったため治療が可能と判断しました。
また、インプラントのリスクや起こりうる術後のトラブルについて丁寧に説明し、同意いただきました。
まず下の歯との噛み合わせの関係から、左上奥歯に2本のストローマン社製BLTインプラントを埋入しました。
この際、インプラントの埋入角度を正確にするためのマウスピース(サージカルガイド)を事前に作製し、手術時に使用しています。
埋入から2ヶ月後、インプラントと骨がしっかりと結合していることを確認してから、トリオス4という歯型を採取する機器を用いて、最終的な被せ物の型取り(光学印象)を行いました。
最終的な被せ物の種類にはインプラント2本を土台として繋げて被せるブリッジ、素材にはジルコニアクラウンを選択しています。
ジルコニアクラウンは、セラミックの中でも最も強度のある被せ物です。
また同時に左下に装着されているメタルクラウンを除去し、歯にぴったりとフィットする白い被せ物を作製し、装着しました。
治療後はインプラント周囲炎と呼ばれるインプラント周囲に腫れや炎症が起こるリスクがあるため、現在は3ヶ月に1度のペースで通院いただきインプラント周囲炎の予防と口腔内のメンテナンスを続けています。
この治療のリスクについて
・外科手術のため、術後に痛みや腫れ、違和感を伴います
・糖尿病、肝硬変、心臓病などの持病をお持ちの場合、インプラント治療ができない可能性があります
・高血圧、貧血・不整脈などの持病をお持ちの場合、インプラント治療後に治癒不全を招く可能性があります
・噛み合わせや歯ぎしりが強い場合、セラミックが割れる可能性があります
・硬い素材の場合、他の天然歯を傷つけることがあります
・自費診療(保険適用外治療)です
- 年齢・性別 70代女性
- 診療種別 自由診療
- 治療期間の目安 約3ヶ月
- 治療回数の目安 約7回
- 治療費総額の目安 約1,000,000円
※掲載された情報は治療の効果を保証するものではありません。
ご利用により万一何らかの損害が発生したとしても、当サイトは一切責任を負いかねますのでご了承ください。
画像をクリックすると拡大・詳細コメントを確認いただけます
-
菊地歯科医院TEL:0337341055
-
菊地歯科医院TEL:0337341055 -
菊地歯科医院TEL:0337341055
-
菊地歯科医院TEL:0337341055
-
菊地歯科医院TEL:0337341055 -
菊地歯科医院TEL:0337341055
-
菊地歯科医院TEL:0337341055
-
菊地歯科医院TEL:0337341055 -
菊地歯科医院TEL:0337341055
-
菊地歯科医院TEL:0337341055
-
菊地歯科医院TEL:0337341055 -
菊地歯科医院TEL:0337341055
-
菊地歯科医院TEL:0337341055
-
菊地歯科医院TEL:0337341055 -
菊地歯科医院TEL:0337341055
問題を報告する
掲載内容に問題がありますか?
こちらのフォームではココシカ!利用規約に違反している可能性のある情報や、
その他の問題がある内容について直接報告することができます。
この機能は、詐欺、スパム、虚偽、不正確であると思われる情報を報告するためのものです。
報告すべき情報の例
- ・差別的または不快感を与えるもの: 性別、年齢、人種、宗教、身体的特徴などに基づく差別が見られるものはこちらに該当します。過度な出血など過激な表現など不適切な内容が含まれる場合も対象です。
- ・虚偽の情報: 何らかの根拠により虚偽が認められる情報が対象です。
- ・不正確な情報: 治療名やリスク、金額、医院情報などに不正確な内容が含まれるものです。多くの場合、これらの問題はココシカ!の掲載基準違反ではありませんが、情報の更新が求められる場合があります。
- ・広告行為: 本サービスの趣旨に反する投稿です。サービス広告、企業やアプリの宣伝、その他問題があると確認された投稿が該当します。
- ・その他: これらのカテゴリーに当てはまらない問題については、[その他] を選択し詳しい情報をご提供ください。
ココシカ!の情報、技術的な問題、医院ページのレビュー、掲載情報に関する問い合わせ、検索結果などに関する一般的な質問、これらの問題に関するお問い合わせは、サポートチームまでご連絡下さい。
| 診療科目 | 一般歯科、小児歯科、矯正歯科、小児矯正、ホワイトニング、インプラント、詰め物・被せ物 |
|---|---|
| 自由診療 | 虫歯治療、根管治療、ワイヤー矯正、マウスピース矯正、ホームホワイトニング、セラミック・ジルコニア、ブリッジ |
| 住所 | 〒144-0051 東京都大田区西蒲田7-69-1 東急プラザ蒲田 7F |
| アクセス | 蒲田駅 徒歩1分 |
| 診療時間 | 10:00~13:30 15:00~20:00 |
| 休診日 | 日曜 祝日 |
| 代表者 | 菊地 健太郎 |
※記載の内容は最新の情報と異なる場合がございます。正確な情報は歯科医院にご確認ください。
この歯科医院の他の症例
NEW CONTENT 新着コンテンツ
-
「第22回 一般社団法人 日本外傷歯学会・総会・学術大会」開幕、リハビリにフォーカスして歯の損失リスク軽減を目指す
2022.8.8 一般歯科
-
クラウド型歯科用レセコン「POWER5G」が口腔内シミュレーションサービス「DMFTシミュレーター」と提携
2022.6.28 予防歯科
-
豪発のブランド「ビーボックス」から歯固め発売、乳幼児でも持ちやすい設計に
2022.6.24 小児歯科
-
韓国発ライフスタイルケアブランド「ソルトレイン」日本初上陸、伊勢丹新宿でポップアップも
2022.6.22 その他
-
デントウェーブ運営の歯科衛生士向けコミュニティ「歯科衛生士のcoe」無料オンラインイベント開催
2022.3.2 その他
-
竹素材のオーガニック歯ブラシ、日本発サステナブランド「ミヨオーガニック」展開
2022.2.17 予防歯科
