- 抜歯
- 部分入れ歯
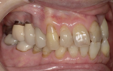
70代女性 歯根が折れた歯を抜いて金属バネを使用しない部分入れ歯で補った症例
ご相談内容
「被せ物が装着されている左上奥歯で固いものを噛むと痛む」とご相談いただきました。
カウンセリング・診断結果
拝見したところ、左上の歯(第2小臼歯)が欠損しており、この部分を補うために、両隣の歯を土台として橋を渡すように連結した被せ物「ブリッジ」が装着されていました。
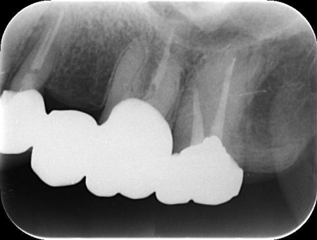
レントゲン撮影をして詳しく検査した結果、ブリッジを支えている左上の歯(第1小臼歯)は、歯根が割れていることが判明しました。
このまま放置すると、周囲の骨や歯茎に炎症が広がるおそれがあります。また、歯の状態から温存は困難だと判断しました。
以上のことから、歯根が折れた歯を抜いたうえで、欠損部位を補う治療が必要だと診断しました。
行ったご提案・治療内容
抜歯後の治療方法として、以下の3つを提案しました。
①ブリッジ
メリット:固定式なので、取り外して管理をする手間がない。装着時の違和感が少ない
デメリット:ブリッジの土台にする健康な歯を削る必要がある。土台の歯に負担がかかる
②インプラント(顎の骨に人工歯根を埋入し、その上に人工歯を装着する治療方法)
メリット:ほかの歯を削らずに治療ができる。天然歯に近い噛み心地が期待できる
デメリット:外科処置が必要なので体への負担が大きく、治療期間も長くなる
③部分入れ歯
メリット:ほかの歯を削らずに装着できる。体への負担が少なく、比較的短時間で治療ができる
デメリット:取り外し式なので、着脱や清掃の手間がある
患者様は30年以上当院に通院されており、インプラント治療を行った経験があります。
ただ、最近転倒による骨折を経験されており、体力面の不安から外科処置を伴うインプラント治療は避けたいとのことでした。
併せて「健康な歯を削りたくない。また、笑ったときに金具が見えるのも避けたい」と希望されています。
以上のことから、患者様は③の部分入れ歯による治療を選択されました。
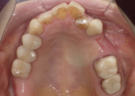
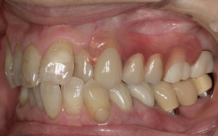
今回は審美性を考慮して、金属のバネではなく樹脂の留め具で固定する部分入れ歯「ノンクラスプデンチャー」を提案し、同意いただきました。
ノンクラスプデンチャーの留め具は歯茎に近い色をしているため、目立ちにくいのが特徴です。
また、体調が回復した時点でインプラント治療へ移行する可能性もふまえ、ノンクラスプデンチャーは手術部位を圧迫しにくく、調整がしやすい設計で作製することになりました。
まず、歯根が折れた左上の第1小臼歯を抜きます。
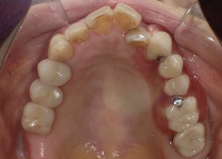
3ヶ月間の経過観察後、傷が治癒したことが確認できたため、ノンクラスプデンチャーを作製するための型取りを行いました。
また、噛み合わせの記録を取ったり、周囲の歯に馴染む色調の人工歯を選んだりなど、患者様によりぴったりと合う入れ歯に仕上げています。
約3週間後、完成した入れ歯を装着し、使用感や見た目に問題がないことを確認して、治療を終了しました。
この治療のリスクについて
・持病をお持ちの方や、服用中のお薬の種類によっては、外科処置ができない場合があります
・外科処置後に腫れ、出血が生じる場合があります
・外科処置後に痛みが長引く場合があります。必要に応じ痛み止めを併用します
・着脱式のため、食後の清掃が必要です
・最初のうちは異物感があり、慣れるまで時間がかかる場合があります
・慣れるまでは、入れ歯の裏側の粘膜に傷ができる場合があります
- 年齢・性別 70代女性
- 診療種別 自由診療
- 治療期間の目安 抜歯からの期間は3ヶ月
- 治療回数の目安 5回
- 治療費総額の目安 約130,000円
※掲載された情報は治療の効果を保証するものではありません。
ご利用により万一何らかの損害が発生したとしても、当サイトは一切責任を負いかねますのでご了承ください。
画像をクリックすると拡大・詳細コメントを確認いただけます
-
菊地歯科医院TEL:0337341055
-
菊地歯科医院TEL:0337341055 -
菊地歯科医院TEL:0337341055
-
菊地歯科医院TEL:0337341055
-
菊地歯科医院TEL:0337341055 -
菊地歯科医院TEL:0337341055
-
菊地歯科医院TEL:0337341055
-
菊地歯科医院TEL:0337341055 -
菊地歯科医院TEL:0337341055
-
菊地歯科医院TEL:0337341055
-
菊地歯科医院TEL:0337341055 -
菊地歯科医院TEL:0337341055
画像をクリックすると拡大・詳細コメントを確認いただけます
第1小臼歯に歯根破折を認めました。
問題を報告する
掲載内容に問題がありますか?
こちらのフォームではココシカ!利用規約に違反している可能性のある情報や、
その他の問題がある内容について直接報告することができます。
この機能は、詐欺、スパム、虚偽、不正確であると思われる情報を報告するためのものです。
報告すべき情報の例
- ・差別的または不快感を与えるもの: 性別、年齢、人種、宗教、身体的特徴などに基づく差別が見られるものはこちらに該当します。過度な出血など過激な表現など不適切な内容が含まれる場合も対象です。
- ・虚偽の情報: 何らかの根拠により虚偽が認められる情報が対象です。
- ・不正確な情報: 治療名やリスク、金額、医院情報などに不正確な内容が含まれるものです。多くの場合、これらの問題はココシカ!の掲載基準違反ではありませんが、情報の更新が求められる場合があります。
- ・広告行為: 本サービスの趣旨に反する投稿です。サービス広告、企業やアプリの宣伝、その他問題があると確認された投稿が該当します。
- ・その他: これらのカテゴリーに当てはまらない問題については、[その他] を選択し詳しい情報をご提供ください。
ココシカ!の情報、技術的な問題、医院ページのレビュー、掲載情報に関する問い合わせ、検索結果などに関する一般的な質問、これらの問題に関するお問い合わせは、サポートチームまでご連絡下さい。
| 診療科目 | 一般歯科、小児歯科、矯正歯科、小児矯正、ホワイトニング、インプラント、詰め物・被せ物 |
|---|---|
| 自由診療 | 虫歯治療、根管治療、ワイヤー矯正、マウスピース矯正、ホームホワイトニング、セラミック・ジルコニア、ブリッジ |
| 住所 | 〒144-0051 東京都大田区西蒲田7-69-1 東急プラザ蒲田 7F |
| アクセス | 蒲田駅 徒歩1分 |
| 診療時間 | 10:00~13:30 15:00~20:00 |
| 休診日 | 日曜 祝日 |
| 代表者 | 菊地 健太郎 |
※記載の内容は最新の情報と異なる場合がございます。正確な情報は歯科医院にご確認ください。
この歯科医院の他の症例
NEW CONTENT 新着コンテンツ
-
「第22回 一般社団法人 日本外傷歯学会・総会・学術大会」開幕、リハビリにフォーカスして歯の損失リスク軽減を目指す
2022.8.8 一般歯科
-
クラウド型歯科用レセコン「POWER5G」が口腔内シミュレーションサービス「DMFTシミュレーター」と提携
2022.6.28 予防歯科
-
豪発のブランド「ビーボックス」から歯固め発売、乳幼児でも持ちやすい設計に
2022.6.24 小児歯科
-
韓国発ライフスタイルケアブランド「ソルトレイン」日本初上陸、伊勢丹新宿でポップアップも
2022.6.22 その他
-
デントウェーブ運営の歯科衛生士向けコミュニティ「歯科衛生士のcoe」無料オンラインイベント開催
2022.3.2 その他
-
竹素材のオーガニック歯ブラシ、日本発サステナブランド「ミヨオーガニック」展開
2022.2.17 予防歯科
