- 矯正歯科
- 部分矯正
- マウスピース矯正
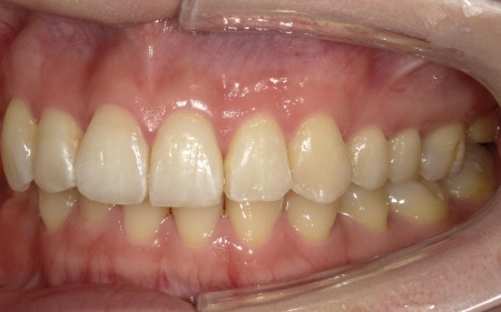
20代女性 前歯の歯並びをマウスピース矯正装置インビザラインGoで改善した症例
ご相談内容
「前歯の歯並びが気になる」とご相談いただきました。
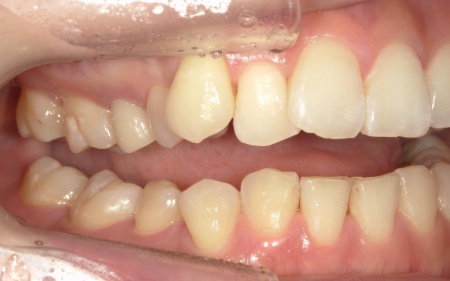
患者様は以前から、特に上前歯の歯並びにコンプレックスを感じていたとのことです。
カウンセリング・診断結果
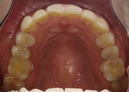
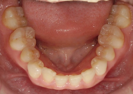
拝見したところ、叢生(そうせい)が上下前歯に確認できました。
叢生とは歯が並ぶスペースが足りないために、歯が重なったりねじれたりして生えてしまう状態のことです。
今回のケースでは上前歯にやや目立つ重なりがあり、下前歯は軽度の叢生が見られました。
一方で奥歯の噛み合わせについては、大きなズレや機能的な問題はありませんでした。
叢生は見た目の問題だけでなく、歯と歯の間に歯ブラシが届きにくくなるため汚れが残りやすく、虫歯や歯周病のリスクが高くなる可能性があります。
以上のことから、歯並びを改善するため矯正治療が必要と診断しました。
行ったご提案・治療内容
前歯の叢生を改善するには、主に以下のような治療方法があります。
①マウスピース型矯正装置「インビザラインGo」
透明なマウスピースを段階的に交換しながら、少しずつ歯を動かしていく矯正方法
メリット:透明で目立ちにくく、取り外しができるため食事や歯磨きがしやすい
デメリット:適応できる範囲が前歯から小臼歯までの上下20本に限られる。装着時間を患者様ご自身で管理する必要がある
②ワイヤー矯正
歯の表面にブラケットと呼ばれる四角い装置を接着し、そこにワイヤーを通して歯を移動させる矯正方法
メリット:前歯の叢生だけでなく、噛み合わせの改善など幅広い症例に対応できる
デメリット:装置が目立ちやすく、取り外しができないため歯磨きがしにくい
今回の場合、歯並びの乱れが前歯を中心とした軽度のものだったため、①を提案し、同意いただきました。
インビザラインGoでは、治療を始める前に歯の動きをシミュレーションで確認することができます。
まず口腔内スキャナー「iTeroエレメント」という光学印象機器を使用して、お口の中を撮影し歯並びのデータを取得しました。
iTeroエレメントは従来の粘土のような材料で型取りをする方法とは異なり、カメラで歯並びを読み取り立体的なデータとして記録する装置です。
取得したデータは専用ソフトウェア「クリンチェック」で解析し、歯がどのように動いていくかを3Dのシミュレーションとして作成しました。
作成したシミュレーションを患者様と一緒に確認したところ、患者様は「上の歯並びだけを整えたい」と希望されました。
下あごの叢生は比較的軽度であり奥歯の噛み合わせにも問題がなかったこと、また上あごのみの治療にすることで費用面の負担も抑えられることから、今回は上あごのみの矯正治療を行う方針としています。
改めて治療計画を丁寧にお伝えし、同意いただきました。
治療ではまず、計画に基づいて患者様専用のマウスピース型装置「アライナー」を作製します。
今回使用するアライナーは計14枚で、1週間ごとに新しいものへ交換しながら使用していただくようお伝えしました。
また、IPRという処置も行いました。
IPRとは歯と歯の間の表面をわずかに削り、歯が正しい位置に並ぶためのスペースを作る方法です。
今回は0.4〜0.5mmほどの範囲で、合計8ヶ所に施しました。
さらに歯を計画通りに動かすため、歯の表面に小さな白い樹脂の突起であるアタッチメントを8ヶ所に装着しました。
これはマウスピースが歯にしっかりフィットするようにするための補助装置で、歯に力を伝えやすくする役割があります。
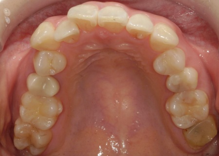
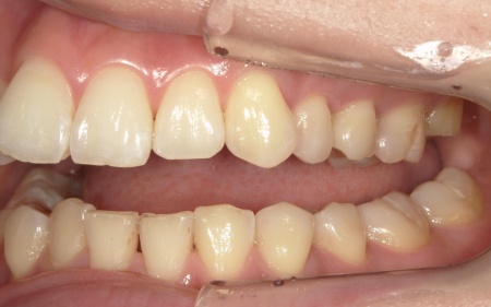
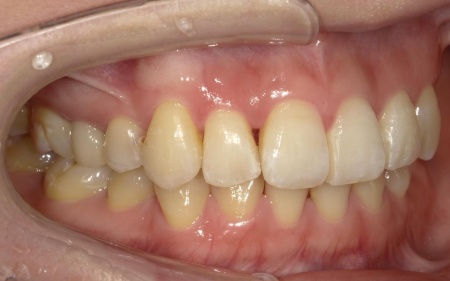
治療開始から約3ヶ月後、14枚目のアライナーの装着期間が終了したタイミングで歯並びの状態を確認しました。
確認したところ問題なく歯が動いていたため、歯に装着していたアタッチメントを取り外しています。
その後、矯正治療後の歯並びが後戻りしないようにするためのリテイナー(保定装置)の型取りを行いました。
約1週間後に完成したリテイナーをお渡しし、1日12時間ほど装着していただくようお伝えして治療を終了しました。
この治療のリスクについて
・決められたスケジュールを守らない場合、十分な効果が得られない可能性があります
・マウスピースに対応していない症例の場合、治療が難しい可能性があります
・歯の移動に伴って、痛みや違和感を感じる場合があります
・正しいブラッシングやメンテナンスを行わない場合、虫歯や歯周病のリスクが高まります
- 年齢・性別 20代女性
- 診療種別 自由診療
- 治療期間の目安 約3ヶ月半
- 治療回数の目安 9回
- 治療費総額の目安 約362,000円
※掲載された情報は治療の効果を保証するものではありません。
ご利用により万一何らかの損害が発生したとしても、当サイトは一切責任を負いかねますのでご了承ください。
画像をクリックすると拡大・詳細コメントを確認いただけます
-
菊地歯科医院TEL:0337341055
-
菊地歯科医院TEL:0337341055 -
菊地歯科医院TEL:0337341055
-
菊地歯科医院TEL:0337341055
-
菊地歯科医院TEL:0337341055 -
菊地歯科医院TEL:0337341055
-
菊地歯科医院TEL:0337341055
-
菊地歯科医院TEL:0337341055 -
菊地歯科医院TEL:0337341055
-
菊地歯科医院TEL:0337341055
-
菊地歯科医院TEL:0337341055 -
菊地歯科医院TEL:0337341055
画像をクリックすると拡大・詳細コメントを確認いただけます
問題を報告する
掲載内容に問題がありますか?
こちらのフォームではココシカ!利用規約に違反している可能性のある情報や、
その他の問題がある内容について直接報告することができます。
この機能は、詐欺、スパム、虚偽、不正確であると思われる情報を報告するためのものです。
報告すべき情報の例
- ・差別的または不快感を与えるもの: 性別、年齢、人種、宗教、身体的特徴などに基づく差別が見られるものはこちらに該当します。過度な出血など過激な表現など不適切な内容が含まれる場合も対象です。
- ・虚偽の情報: 何らかの根拠により虚偽が認められる情報が対象です。
- ・不正確な情報: 治療名やリスク、金額、医院情報などに不正確な内容が含まれるものです。多くの場合、これらの問題はココシカ!の掲載基準違反ではありませんが、情報の更新が求められる場合があります。
- ・広告行為: 本サービスの趣旨に反する投稿です。サービス広告、企業やアプリの宣伝、その他問題があると確認された投稿が該当します。
- ・その他: これらのカテゴリーに当てはまらない問題については、[その他] を選択し詳しい情報をご提供ください。
ココシカ!の情報、技術的な問題、医院ページのレビュー、掲載情報に関する問い合わせ、検索結果などに関する一般的な質問、これらの問題に関するお問い合わせは、サポートチームまでご連絡下さい。
| 診療科目 | 一般歯科、小児歯科、矯正歯科、小児矯正、ホワイトニング、インプラント、詰め物・被せ物 |
|---|---|
| 自由診療 | 虫歯治療、根管治療、ワイヤー矯正、マウスピース矯正、ホームホワイトニング、セラミック・ジルコニア、ブリッジ |
| 住所 | 〒144-0051 東京都大田区西蒲田7-69-1 東急プラザ蒲田 7F |
| アクセス | 蒲田駅 徒歩1分 |
| 診療時間 | 10:00~13:30 15:00~20:00 |
| 休診日 | 日曜 祝日 |
| 代表者 | 菊地 健太郎 |
※記載の内容は最新の情報と異なる場合がございます。正確な情報は歯科医院にご確認ください。
この歯科医院の他の症例
NEW CONTENT 新着コンテンツ
-
「第22回 一般社団法人 日本外傷歯学会・総会・学術大会」開幕、リハビリにフォーカスして歯の損失リスク軽減を目指す
2022.8.8 一般歯科
-
クラウド型歯科用レセコン「POWER5G」が口腔内シミュレーションサービス「DMFTシミュレーター」と提携
2022.6.28 予防歯科
-
豪発のブランド「ビーボックス」から歯固め発売、乳幼児でも持ちやすい設計に
2022.6.24 小児歯科
-
韓国発ライフスタイルケアブランド「ソルトレイン」日本初上陸、伊勢丹新宿でポップアップも
2022.6.22 その他
-
デントウェーブ運営の歯科衛生士向けコミュニティ「歯科衛生士のcoe」無料オンラインイベント開催
2022.3.2 その他
-
竹素材のオーガニック歯ブラシ、日本発サステナブランド「ミヨオーガニック」展開
2022.2.17 予防歯科
