- 根管治療
- 矯正歯科
- マウスピース矯正
- 詰め物・被せもの
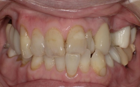
50代女性 デコボコに生えている上下前歯をマウスピース型矯正装置で改善した症例
ご相談内容
「上下の前歯がずれていて、唇が閉じにくいのが気になる」とご相談いただきました。
カウンセリング・診断結果
拝見したところ、上下前歯の中心が一致せず左右にずれが見られたうえ、歯が並ぶスペースが足りずにデコボコに生えている状態でした。
このまま放置すると見た目に悪影響が出るだけでなく、噛み合わせが偏って顎や筋肉に負担がかかったり、歯磨きがしにくいことで虫歯や歯周病のリスクが高まったりするおそれがあります。
以上のことから、噛み合わせを改善する治療が必要だと診断しました。
行ったご提案・治療内容
患者様は、マウスピース型矯正装置「インビザライン」での治療を希望されていました。
インビザラインとは、透明なマウスピース「アライナー」を定期的に交換しながら、歯を徐々に移動させる矯正方法です。
メリット
・装置が透明で目立ちにくい
・取り外しが可能なので、食事や歯磨きなど日常生活への支障が少ない
デメリット
・装着時間の厳守や装置の保管など、患者様の自己管理が不可欠になる
・軽度から中等度の症例には対応できるものの、複雑な症例には不向きである
まずはインビザラインを開発しているアライン・テクノロジー社製の光学印象機器「iTero(アイテロ)」を使用して口腔内をスキャンし、歯型をデジタルで採取します。
採取したデータをもとに、矯正時の歯の動きを3Dでシミュレーションできるクリンチェックで作成したシミュレーション画像を患者様に見ていただきました。
シミュレーション結果をもとに、インビザラインのメリットとデメリットなどをお伝えしたところ、患者様は当初の希望通りインビザラインでの治療を選択されています。
ただ、治療前にレントゲン撮影をして検査をしたところ、右下1本、左上2本、左下1本、計4本の奥歯の根の先に根尖(こんせん)部透過像が認められました。
これは、歯根の先に感染のおそれがあることを示しているものなので、矯正治療を始める前に根の中の感染部分を取り除く感染根管処置を行いました。
歯根の治療後は、精密に作製した仮歯「プロビジョナルレストレーション」を装着し、再度iTeroを使って歯型をデジタルで採取します。
そのデータをもとに、クリンチェックで歯の動きや治療の流れを再度確認し、患者様に治療計画をお伝えしました。
治療は、インビザライン・コンプリヘンシブというプランで行います。
インビザライン・コンプリヘンシブは、使用するアライナーの枚数に制限がないプランです。歯のガタつきが強い場合などの幅広い症例にも対応が可能で、治療期間が長期になっても安心して治療を継続することができます。
歯を効率よく動かすため、歯の表面17ヶ所に小さな突起物「アタッチメント」を装着し、歯と歯の間を少し削りスペースを作る「IPR」を16ヶ所に施しました。
また、アライナーは全部で33枚使用し、10日ごとに交換していただいています。
治療は順調に進みましたが、最終段階で一部の歯が予定通り動いていないことが確認されたため、患者様と相談のうえ、追加治療を行うことになりました。
再度口腔内をスキャンしてクリンチェックで新たな治療計画を確認し、追加のアライナーを11枚作製して患者様にお渡ししています。
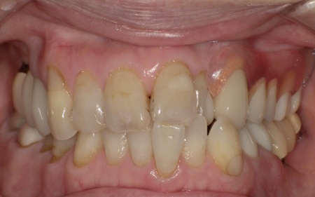
すべてのアライナーの使用が終わって歯並びが整ったあと、仮歯を最終的な被せ物に置き換えます。
最後に、歯並びが後戻りするのを防ぐリテーナーを装着していただき、治療を終了しました。
この治療のリスクについて
・決められたスケジュールを守らない場合、十分な効果が得られない可能性があります
・マウスピースに対応していない症例の場合、治療が難しい可能性があります
・正しいブラッシングやメンテナンスを行わない場合、虫歯や歯周病のリスクが高まります
・まれに根管治療後も再治療、外科手術、抜歯などの処置が必要となる場合があります
・治療中まれに器具の破折、被せ物や詰め物など修復物の損傷、歯の破折が起こる場合があります
・一部の治療を除き、自費診療(保険適用外)です
- 年齢・性別 50代女性
- 診療種別 自由診療
- 治療期間の目安 約2年
- 治療回数の目安 -
- 治療費総額の目安 約1,000,000円
※掲載された情報は治療の効果を保証するものではありません。
ご利用により万一何らかの損害が発生したとしても、当サイトは一切責任を負いかねますのでご了承ください。
画像をクリックすると拡大・詳細コメントを確認いただけます
-
菊地歯科医院TEL:0337341055
-
菊地歯科医院TEL:0337341055 -
菊地歯科医院TEL:0337341055
-
菊地歯科医院TEL:0337341055
-
菊地歯科医院TEL:0337341055 -
菊地歯科医院TEL:0337341055
-
菊地歯科医院TEL:0337341055
-
菊地歯科医院TEL:0337341055 -
菊地歯科医院TEL:0337341055
-
菊地歯科医院TEL:0337341055
-
菊地歯科医院TEL:0337341055 -
菊地歯科医院TEL:0337341055
-
菊地歯科医院TEL:0337341055
-
菊地歯科医院TEL:0337341055 -
菊地歯科医院TEL:0337341055
画像をクリックすると拡大・詳細コメントを確認いただけます
問題を報告する
掲載内容に問題がありますか?
こちらのフォームではココシカ!利用規約に違反している可能性のある情報や、
その他の問題がある内容について直接報告することができます。
この機能は、詐欺、スパム、虚偽、不正確であると思われる情報を報告するためのものです。
報告すべき情報の例
- ・差別的または不快感を与えるもの: 性別、年齢、人種、宗教、身体的特徴などに基づく差別が見られるものはこちらに該当します。過度な出血など過激な表現など不適切な内容が含まれる場合も対象です。
- ・虚偽の情報: 何らかの根拠により虚偽が認められる情報が対象です。
- ・不正確な情報: 治療名やリスク、金額、医院情報などに不正確な内容が含まれるものです。多くの場合、これらの問題はココシカ!の掲載基準違反ではありませんが、情報の更新が求められる場合があります。
- ・広告行為: 本サービスの趣旨に反する投稿です。サービス広告、企業やアプリの宣伝、その他問題があると確認された投稿が該当します。
- ・その他: これらのカテゴリーに当てはまらない問題については、[その他] を選択し詳しい情報をご提供ください。
ココシカ!の情報、技術的な問題、医院ページのレビュー、掲載情報に関する問い合わせ、検索結果などに関する一般的な質問、これらの問題に関するお問い合わせは、サポートチームまでご連絡下さい。
| 診療科目 | 一般歯科、小児歯科、矯正歯科、小児矯正、ホワイトニング、インプラント、詰め物・被せ物 |
|---|---|
| 自由診療 | 虫歯治療、根管治療、ワイヤー矯正、マウスピース矯正、ホームホワイトニング、セラミック・ジルコニア、ブリッジ |
| 住所 | 〒144-0051 東京都大田区西蒲田7-69-1 東急プラザ蒲田 7F |
| アクセス | 蒲田駅 徒歩1分 |
| 診療時間 | 10:00~13:30 15:00~20:00 |
| 休診日 | 日曜 祝日 |
| 代表者 | 菊地 健太郎 |
※記載の内容は最新の情報と異なる場合がございます。正確な情報は歯科医院にご確認ください。
この歯科医院の他の症例
NEW CONTENT 新着コンテンツ
-
「第22回 一般社団法人 日本外傷歯学会・総会・学術大会」開幕、リハビリにフォーカスして歯の損失リスク軽減を目指す
2022.8.8 一般歯科
-
クラウド型歯科用レセコン「POWER5G」が口腔内シミュレーションサービス「DMFTシミュレーター」と提携
2022.6.28 予防歯科
-
豪発のブランド「ビーボックス」から歯固め発売、乳幼児でも持ちやすい設計に
2022.6.24 小児歯科
-
韓国発ライフスタイルケアブランド「ソルトレイン」日本初上陸、伊勢丹新宿でポップアップも
2022.6.22 その他
-
デントウェーブ運営の歯科衛生士向けコミュニティ「歯科衛生士のcoe」無料オンラインイベント開催
2022.3.2 その他
-
竹素材のオーガニック歯ブラシ、日本発サステナブランド「ミヨオーガニック」展開
2022.2.17 予防歯科
