- 歯周病
- ホワイトニング
- オフィスホワイトニング
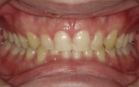
60代女性 黄ばみが目立つ歯にオフィスホワイトニングを行って明るい口元を取り戻した症例
ご相談内容
「年齢とともに、歯が黄色くなってきたのが気になる。定期的なメンテナンスの際、歯科衛生士さんに相談をしたらホワイトニングをすすめられた」とご相談いただきました
カウンセリング・診断結果
拝見したところ、全体的に歯が黄ばんでいました。歯の黄ばみは、加齢や日常の食生活が原因で生じることが多く、自宅での歯磨きだけでは取り除くことが困難です。
また、全体的に歯肉が赤く腫れており、軽度の歯周病でした。
歯周病を放置するとさらに症状が進行し、歯を支える骨が溶けて歯を失うリスクもあるため、歯の黄ばみを解消するホワイトニング治療の前に、歯周病の治療を行う必要があると診断しました。
行ったご提案・治療内容
歯周病の基本治療を行って歯茎の状態を整えてから、ホワイトニングで歯の黄ばみを取るという治療手順をご説明し、同意いただきました。
当院では、歯科医院で行うオフィスホワイトニング、薬剤を入れた患者様専用マウスピースを装着して自宅で行うホームホワイトニングを選べます。
<オフィスホワイトニング>
・短期間で白さを実感できる
・施術中に少し痛みが出たり、施術後にしみる症状(知覚過敏)が一時的に出たりする可能性がある
・色が戻りやすい
<ホームホワイトニング>
・色戻りが比較的少ない
・歯の内部に薬剤を浸透させて白くするため、効果を実感するまでにやや時間がかかる
・時間や薬液の調節、マウスピースの装着など、患者様ご自身で管理が必要
患者様は「自分での管理が苦手。また、できるだけ早く歯を白くしたい」との理由から、オフィスホワイトニングを選択されました。
まずは歯周病の基本治療として、歯周基本検査で歯茎の状態を確認してから、専用の器具で汚れを除去する「スケーリング」を保険診療内で実施します。
歯茎の状態が改善したため、上下10本ずつ計20本の歯にオフィスホワイトニングを計2回実施したところ、特に痛みは出ませんでした。
ホワイトニング後、歯の色味が明るくなったことを確認できたため、着色しやすい飲み物や食事での注意事項などをお伝えして治療を終了しています。
この治療のリスクについて
・治療中、歯にしみるような痛みが出る場合があります
・得られる効果は歯の質により様々です。予定通りの白さに達しない場合もあります
・自費診療(保険適用外治療)です
- 年齢・性別 60代女性
- 診療種別 自由診療
- 治療期間の目安 3週間
- 治療回数の目安 2回
- 治療費総額の目安 44,000円
※掲載された情報は治療の効果を保証するものではありません。
ご利用により万一何らかの損害が発生したとしても、当サイトは一切責任を負いかねますのでご了承ください。
問題を報告する
掲載内容に問題がありますか?
こちらのフォームではココシカ!利用規約に違反している可能性のある情報や、
その他の問題がある内容について直接報告することができます。
この機能は、詐欺、スパム、虚偽、不正確であると思われる情報を報告するためのものです。
報告すべき情報の例
- ・差別的または不快感を与えるもの: 性別、年齢、人種、宗教、身体的特徴などに基づく差別が見られるものはこちらに該当します。過度な出血など過激な表現など不適切な内容が含まれる場合も対象です。
- ・虚偽の情報: 何らかの根拠により虚偽が認められる情報が対象です。
- ・不正確な情報: 治療名やリスク、金額、医院情報などに不正確な内容が含まれるものです。多くの場合、これらの問題はココシカ!の掲載基準違反ではありませんが、情報の更新が求められる場合があります。
- ・広告行為: 本サービスの趣旨に反する投稿です。サービス広告、企業やアプリの宣伝、その他問題があると確認された投稿が該当します。
- ・その他: これらのカテゴリーに当てはまらない問題については、[その他] を選択し詳しい情報をご提供ください。
ココシカ!の情報、技術的な問題、医院ページのレビュー、掲載情報に関する問い合わせ、検索結果などに関する一般的な質問、これらの問題に関するお問い合わせは、サポートチームまでご連絡下さい。
| 診療科目 | 一般歯科、小児歯科、矯正歯科、小児矯正、ホワイトニング、インプラント、詰め物・被せ物 |
|---|---|
| 自由診療 | 虫歯治療、根管治療、ワイヤー矯正、マウスピース矯正、ホームホワイトニング、セラミック・ジルコニア、ブリッジ |
| 住所 | 〒144-0051 東京都大田区西蒲田7-69-1 東急プラザ蒲田 7F |
| アクセス | 蒲田駅 徒歩1分 |
| 診療時間 | 10:00~13:30 15:00~20:00 |
| 休診日 | 日曜 祝日 |
| 代表者 | 菊地 健太郎 |
※記載の内容は最新の情報と異なる場合がございます。正確な情報は歯科医院にご確認ください。
この歯科医院の他の症例
NEW CONTENT 新着コンテンツ
-
「第22回 一般社団法人 日本外傷歯学会・総会・学術大会」開幕、リハビリにフォーカスして歯の損失リスク軽減を目指す
2022.8.8 一般歯科
-
クラウド型歯科用レセコン「POWER5G」が口腔内シミュレーションサービス「DMFTシミュレーター」と提携
2022.6.28 予防歯科
-
豪発のブランド「ビーボックス」から歯固め発売、乳幼児でも持ちやすい設計に
2022.6.24 小児歯科
-
韓国発ライフスタイルケアブランド「ソルトレイン」日本初上陸、伊勢丹新宿でポップアップも
2022.6.22 その他
-
デントウェーブ運営の歯科衛生士向けコミュニティ「歯科衛生士のcoe」無料オンラインイベント開催
2022.3.2 その他
-
竹素材のオーガニック歯ブラシ、日本発サステナブランド「ミヨオーガニック」展開
2022.2.17 予防歯科
