- 矯正歯科
- 部分矯正
- マウスピース矯正
40代女性 マウスピース矯正を使用し前歯の叢生を短期間で整えた症例
ご相談内容
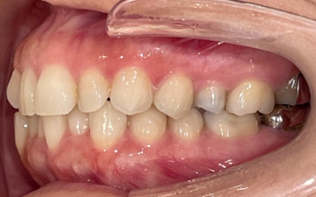
「歯並びが悪く、特に八重歯と前歯のガタガタが気になって、人前で笑うことに抵抗がある」とご相談いただきました。
カウンセリング・診断結果
拝見したところ、上下の歯並びには歯がずれたりねじれたりして生えている「叢生(そうせい)」が認められました。
特に上下前歯は重なりが目立ち、お口を開けた際の見た目にも影響を与えていました。
また、デコボコした歯並びは見た目が気になるだけでなく、磨き残しが発生しやすくなるため虫歯や歯ぐきの炎症リスクも高まります。
患者様のご希望に沿い、費用と治療期間を抑えながら歯並びを改善する治療方法を検討しました。
行ったご提案・治療内容
患者様には取り外し式のマウスピース矯正装置「ELINE SMILE」であれば治療期間と費用を抑えることができることをお伝えし、同意いただきました。
ELINE SMILEは、今回のように歯の移動量が少なく、部分的に歯並びを整える症例に適した装置です。
また、マウスピースは食事や歯磨きの際は取り外せるため、虫歯のリスクも軽減できるというメリットがあります。
一方で、装着するスケジュールを患者様ご自身で管理する必要があることや、取り外しが可能なため紛失の恐れがあることについてもご説明しました。
治療の手順は次の通りです。
①歯並びのデータを基に患者様専用のマウスピースを作製し、1日に約20時間装着していただきました。
②マウスピースの定期的な交換によって徐々に上下前歯を動かし、歯並びを整えて治療を終了しています。
この治療のリスクについて
・決められたスケジュールを守らない場合、十分な効果が得られない可能性があります
・マウスピースに対応していない症例の場合、治療が難しい可能性があります
・歯の移動に伴って、痛みや違和感を感じる場合があります
・正しいブラッシングやメンテナンスを行わない場合、虫歯や歯周病のリスクが高まります
- 年齢・性別 40代女性
- 診療種別 自由診療
- 治療期間の目安 1年1ヶ月
- 治療回数の目安 -
- 治療費総額の目安 317,750円
※掲載された情報は治療の効果を保証するものではありません。
ご利用により万一何らかの損害が発生したとしても、当サイトは一切責任を負いかねますのでご了承ください。
画像をクリックすると拡大・詳細コメントを確認いただけます
-
さいわいデンタルクリニックmoyuk SAPPORO院TEL:05018094594
-
さいわいデンタルクリニックmoyuk SAPPORO院TEL:05018094594 -
さいわいデンタルクリニックmoyuk SAPPORO院TEL:05018094594
-
さいわいデンタルクリニックmoyuk SAPPORO院TEL:05018094594
-
さいわいデンタルクリニックmoyuk SAPPORO院TEL:05018094594 -
さいわいデンタルクリニックmoyuk SAPPORO院TEL:05018094594
-
さいわいデンタルクリニックmoyuk SAPPORO院TEL:05018094594
-
さいわいデンタルクリニックmoyuk SAPPORO院TEL:05018094594 -
さいわいデンタルクリニックmoyuk SAPPORO院TEL:05018094594
-
さいわいデンタルクリニックmoyuk SAPPORO院TEL:05018094594
-
さいわいデンタルクリニックmoyuk SAPPORO院TEL:05018094594 -
さいわいデンタルクリニックmoyuk SAPPORO院TEL:05018094594
-
さいわいデンタルクリニックmoyuk SAPPORO院TEL:05018094594 -
さいわいデンタルクリニックmoyuk SAPPORO院TEL:05018094594 -
さいわいデンタルクリニックmoyuk SAPPORO院TEL:05018094594
問題を報告する
掲載内容に問題がありますか?
こちらのフォームではココシカ!利用規約に違反している可能性のある情報や、
その他の問題がある内容について直接報告することができます。
この機能は、詐欺、スパム、虚偽、不正確であると思われる情報を報告するためのものです。
報告すべき情報の例
- ・差別的または不快感を与えるもの: 性別、年齢、人種、宗教、身体的特徴などに基づく差別が見られるものはこちらに該当します。過度な出血など過激な表現など不適切な内容が含まれる場合も対象です。
- ・虚偽の情報: 何らかの根拠により虚偽が認められる情報が対象です。
- ・不正確な情報: 治療名やリスク、金額、医院情報などに不正確な内容が含まれるものです。多くの場合、これらの問題はココシカ!の掲載基準違反ではありませんが、情報の更新が求められる場合があります。
- ・広告行為: 本サービスの趣旨に反する投稿です。サービス広告、企業やアプリの宣伝、その他問題があると確認された投稿が該当します。
- ・その他: これらのカテゴリーに当てはまらない問題については、[その他] を選択し詳しい情報をご提供ください。
ココシカ!の情報、技術的な問題、医院ページのレビュー、掲載情報に関する問い合わせ、検索結果などに関する一般的な質問、これらの問題に関するお問い合わせは、サポートチームまでご連絡下さい。
| 診療科目 | ホワイトニング、矯正歯科 |
|---|---|
| 自由診療 | オフィスホワイトニング、ホームホワイトニング、クリーニング、マウスピース矯正 |
| 住所 | 〒060-0062 北海道札幌市中央区南2条西3丁目 moyuk SAPPORO 2F |
| アクセス | 「狸小路駅」から徒歩1分 |
| 診療時間 | 10:00〜19:00 |
| 休診日 | 月曜・祝日 |
| 代表者 | 谷口 正昭 |
※記載の内容は最新の情報と異なる場合がございます。正確な情報は歯科医院にご確認ください。
この歯科医院の他の症例
NEW CONTENT 新着コンテンツ
-
「第22回 一般社団法人 日本外傷歯学会・総会・学術大会」開幕、リハビリにフォーカスして歯の損失リスク軽減を目指す
2022.8.8 一般歯科
-
クラウド型歯科用レセコン「POWER5G」が口腔内シミュレーションサービス「DMFTシミュレーター」と提携
2022.6.28 予防歯科
-
豪発のブランド「ビーボックス」から歯固め発売、乳幼児でも持ちやすい設計に
2022.6.24 小児歯科
-
韓国発ライフスタイルケアブランド「ソルトレイン」日本初上陸、伊勢丹新宿でポップアップも
2022.6.22 その他
-
デントウェーブ運営の歯科衛生士向けコミュニティ「歯科衛生士のcoe」無料オンラインイベント開催
2022.3.2 その他
-
竹素材のオーガニック歯ブラシ、日本発サステナブランド「ミヨオーガニック」展開
2022.2.17 予防歯科
