- 矯正歯科
- 部分矯正
- マウスピース矯正
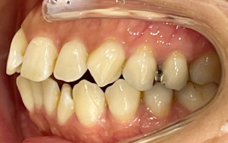
40代女性 重なり合ってデコボコに生えていた前歯を部分矯正が可能なマウスピース型矯正装置で改善した症例
ご相談内容
「上下の歯並びがガタガタしている。とくに、前歯の隙間やねじれが気になるので整えたい」とご相談いただきました。
カウンセリング・診断結果
拝見したところ、上下の歯が重なり合ってデコボコに生えており、とくに上下前歯部分は歯の重なりが目立っていました。
歯並びが悪いと見た目に悪影響が出るだけでなく、歯ブラシが十分に届かない部位に汚れが溜まりやすくなって虫歯や歯周病のリスクが上がったり、噛み合わせが悪化することで顎関節に負担がかかったりするおそれがあります。
以上のことから、矯正治療で歯並びを整える必要があると診断しました。
行ったご提案・治療内容
患者様は治療期間と費用を抑えることを希望されていたため、今回はマウスピース矯正「ELINESMILE(イーラインスマイル)」を提案しました。
イーラインスマイルは口腔スキャナーを用いたマウスピース矯正で、従来のマウスピース矯正と比べると、より精密にお口の状態を把握することができます。
硬い素材のマウスピースのほうが早く歯を動かすことができますが、硬すぎると痛みが出やすくなり、装着が困難になる場合があります。イーラインスマイルのマウスピースは硬さと柔らかさのバランスがとれた素材でできているため、痛みが出にくく、装着しやすいのが特徴です。
マウスピースの装着時間をしっかりと守らないと十分な治療効果が得られませんが、今回は歯の移動量が少ないため結果として早く歯を動かせること、部分的な矯正が可能なイーラインスマイルなら患者様の希望に沿った治療ができることをお伝えし、同意いただきました。
まずは歯型をとり、歯が適切な位置に移動するよう設計して、患者様専用のマウスピースを作製します。
後日、完成したマウスピースをお渡しし、計画通り歯を移動させるために1日に一定時間以上マウスピースを装着していただくことと、正しいお手入れの方法をお伝えしました。
その後は、ご自宅でスケジュールに沿ってマウスピースを装着していただき、定期的な通院でマウスピースの交換と経過観察を行って歯並びを慎重に整え、治療を終了しています。
この治療のリスクについて
・決められたスケジュールを守らない場合、十分な効果が得られない可能性があります
・マウスピースに対応していない症例の場合、治療が難しい可能性があります
・歯の移動に伴って、痛みや違和感を感じる場合があります
・正しいブラッシングやメンテナンスを行わない場合、虫歯や歯周病のリスクが高まります
- 年齢・性別 40代女性
- 診療種別 自由診療
- 治療期間の目安 1年1ヶ月
- 治療回数の目安 -
- 治療費総額の目安 443,750円
※掲載された情報は治療の効果を保証するものではありません。
ご利用により万一何らかの損害が発生したとしても、当サイトは一切責任を負いかねますのでご了承ください。
画像をクリックすると拡大・詳細コメントを確認いただけます
-
さいわいデンタルクリニックmoyuk SAPPORO院TEL:05018094594
-
さいわいデンタルクリニックmoyuk SAPPORO院TEL:05018094594 -
さいわいデンタルクリニックmoyuk SAPPORO院TEL:05018094594
-
さいわいデンタルクリニックmoyuk SAPPORO院TEL:05018094594
-
さいわいデンタルクリニックmoyuk SAPPORO院TEL:05018094594 -
さいわいデンタルクリニックmoyuk SAPPORO院TEL:05018094594
-
さいわいデンタルクリニックmoyuk SAPPORO院TEL:05018094594
-
さいわいデンタルクリニックmoyuk SAPPORO院TEL:05018094594 -
さいわいデンタルクリニックmoyuk SAPPORO院TEL:05018094594
-
さいわいデンタルクリニックmoyuk SAPPORO院TEL:05018094594
-
さいわいデンタルクリニックmoyuk SAPPORO院TEL:05018094594 -
さいわいデンタルクリニックmoyuk SAPPORO院TEL:05018094594
-
さいわいデンタルクリニックmoyuk SAPPORO院TEL:05018094594
-
さいわいデンタルクリニックmoyuk SAPPORO院TEL:05018094594 -
さいわいデンタルクリニックmoyuk SAPPORO院TEL:05018094594
問題を報告する
掲載内容に問題がありますか?
こちらのフォームではココシカ!利用規約に違反している可能性のある情報や、
その他の問題がある内容について直接報告することができます。
この機能は、詐欺、スパム、虚偽、不正確であると思われる情報を報告するためのものです。
報告すべき情報の例
- ・差別的または不快感を与えるもの: 性別、年齢、人種、宗教、身体的特徴などに基づく差別が見られるものはこちらに該当します。過度な出血など過激な表現など不適切な内容が含まれる場合も対象です。
- ・虚偽の情報: 何らかの根拠により虚偽が認められる情報が対象です。
- ・不正確な情報: 治療名やリスク、金額、医院情報などに不正確な内容が含まれるものです。多くの場合、これらの問題はココシカ!の掲載基準違反ではありませんが、情報の更新が求められる場合があります。
- ・広告行為: 本サービスの趣旨に反する投稿です。サービス広告、企業やアプリの宣伝、その他問題があると確認された投稿が該当します。
- ・その他: これらのカテゴリーに当てはまらない問題については、[その他] を選択し詳しい情報をご提供ください。
ココシカ!の情報、技術的な問題、医院ページのレビュー、掲載情報に関する問い合わせ、検索結果などに関する一般的な質問、これらの問題に関するお問い合わせは、サポートチームまでご連絡下さい。
| 診療科目 | ホワイトニング、矯正歯科 |
|---|---|
| 自由診療 | オフィスホワイトニング、ホームホワイトニング、クリーニング、マウスピース矯正 |
| 住所 | 〒060-0062 北海道札幌市中央区南2条西3丁目 moyuk SAPPORO 2F |
| アクセス | 「狸小路駅」から徒歩1分 |
| 診療時間 | 10:00〜19:00 |
| 休診日 | 月曜・祝日 |
| 代表者 | 谷口 正昭 |
※記載の内容は最新の情報と異なる場合がございます。正確な情報は歯科医院にご確認ください。
この歯科医院の他の症例
NEW CONTENT 新着コンテンツ
-
「第22回 一般社団法人 日本外傷歯学会・総会・学術大会」開幕、リハビリにフォーカスして歯の損失リスク軽減を目指す
2022.8.8 一般歯科
-
クラウド型歯科用レセコン「POWER5G」が口腔内シミュレーションサービス「DMFTシミュレーター」と提携
2022.6.28 予防歯科
-
豪発のブランド「ビーボックス」から歯固め発売、乳幼児でも持ちやすい設計に
2022.6.24 小児歯科
-
韓国発ライフスタイルケアブランド「ソルトレイン」日本初上陸、伊勢丹新宿でポップアップも
2022.6.22 その他
-
デントウェーブ運営の歯科衛生士向けコミュニティ「歯科衛生士のcoe」無料オンラインイベント開催
2022.3.2 その他
-
竹素材のオーガニック歯ブラシ、日本発サステナブランド「ミヨオーガニック」展開
2022.2.17 予防歯科
