- 矯正歯科
- 部分矯正
- マウスピース矯正
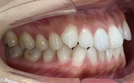
20代女性 前歯のねじれと噛み合わせをマウスピース型装置のインビザラインGOで改善した症例
ご相談内容
「前歯のねじれが気になる。見た目と噛み合わせのバランスを改善したい」とご相談いただきました。
カウンセリング・診断結果
拝見したところ、上中央の前歯2本はハの字のようにねじれる翼状捻転(よくじょうねんてん)でした。
また下前歯にもねじれや傾きが見られ、見た目が気になるだけでなく噛み合わせのバランスも良くない状態です。
このまま放置すると、歯並びが乱れている部分に歯ブラシが当たりにくいことで磨き残しが多くなり、虫歯や歯周病のリスクが高まります。
さらに、噛み合わせの歪みは歯やあご関節に負担をかけ、将来的に炎症や痛みが出るおそれもあります。
以上のことから、歯並びと噛み合わせを改善する必要があると診断しました。
行ったご提案・治療内容
患者様は「短期間で治療したい」と希望されているため、前歯を中心とした部分矯正に適したマウスピース型装置「インビザラインGO」による矯正治療を提案し、同意いただきました。
また、併せてインビザラインGOのメリット・デメリットをお伝えしています。
インビザラインGOのメリット
・すべての歯を動かす矯正治療と比べて治療期間が短く、費用も抑えることが可能
・食事と歯磨きの際に取り外しが可能で、虫歯や歯周病のリスクを軽減できる
インビザラインGOのデメリット
・治療をスムーズに進めるためには、装着スケジュールをしっかり守るといった自己管理が必要
・取り外しができるために紛失しやすい
まず、歯並びのデータをもとに患者様専用のマウスピースを作製します。
その後、完成したマウスピースをお渡しし、マウスピースは1日に一定時間装着すること、定期的に新しいマウスピースに交換することをお伝えしました。
マウスピースの装着時間や交換時期をしっかり守っていただいた結果、歯並びと噛み合わせが改善したことを確認して、治療を終了しました。
この治療のリスクについて
・決められたスケジュールを守らない場合、十分な効果が得られない可能性があります
・マウスピースに対応していない症例の場合、治療が難しい可能性があります
・歯の移動に伴って、痛みや違和感を感じる場合があります
・正しいブラッシングやメンテナンスを行わない場合、虫歯や歯周病のリスクが高まります
- 年齢・性別 20代女性
- 診療種別 自由診療
- 治療期間の目安 10ヶ月
- 治療回数の目安 -
- 治療費総額の目安 540,900円
※掲載された情報は治療の効果を保証するものではありません。
ご利用により万一何らかの損害が発生したとしても、当サイトは一切責任を負いかねますのでご了承ください。
画像をクリックすると拡大・詳細コメントを確認いただけます
-
さいわいデンタルクリニックmoyuk SAPPORO院TEL:05018094594
-
さいわいデンタルクリニックmoyuk SAPPORO院TEL:05018094594 -
さいわいデンタルクリニックmoyuk SAPPORO院TEL:05018094594
-
さいわいデンタルクリニックmoyuk SAPPORO院TEL:05018094594
-
さいわいデンタルクリニックmoyuk SAPPORO院TEL:05018094594 -
さいわいデンタルクリニックmoyuk SAPPORO院TEL:05018094594
-
さいわいデンタルクリニックmoyuk SAPPORO院TEL:05018094594
-
さいわいデンタルクリニックmoyuk SAPPORO院TEL:05018094594 -
さいわいデンタルクリニックmoyuk SAPPORO院TEL:05018094594
-
さいわいデンタルクリニックmoyuk SAPPORO院TEL:05018094594
-
さいわいデンタルクリニックmoyuk SAPPORO院TEL:05018094594 -
さいわいデンタルクリニックmoyuk SAPPORO院TEL:05018094594
問題を報告する
掲載内容に問題がありますか?
こちらのフォームではココシカ!利用規約に違反している可能性のある情報や、
その他の問題がある内容について直接報告することができます。
この機能は、詐欺、スパム、虚偽、不正確であると思われる情報を報告するためのものです。
報告すべき情報の例
- ・差別的または不快感を与えるもの: 性別、年齢、人種、宗教、身体的特徴などに基づく差別が見られるものはこちらに該当します。過度な出血など過激な表現など不適切な内容が含まれる場合も対象です。
- ・虚偽の情報: 何らかの根拠により虚偽が認められる情報が対象です。
- ・不正確な情報: 治療名やリスク、金額、医院情報などに不正確な内容が含まれるものです。多くの場合、これらの問題はココシカ!の掲載基準違反ではありませんが、情報の更新が求められる場合があります。
- ・広告行為: 本サービスの趣旨に反する投稿です。サービス広告、企業やアプリの宣伝、その他問題があると確認された投稿が該当します。
- ・その他: これらのカテゴリーに当てはまらない問題については、[その他] を選択し詳しい情報をご提供ください。
ココシカ!の情報、技術的な問題、医院ページのレビュー、掲載情報に関する問い合わせ、検索結果などに関する一般的な質問、これらの問題に関するお問い合わせは、サポートチームまでご連絡下さい。
| 診療科目 | ホワイトニング、矯正歯科 |
|---|---|
| 自由診療 | オフィスホワイトニング、ホームホワイトニング、クリーニング、マウスピース矯正 |
| 住所 | 〒060-0062 北海道札幌市中央区南2条西3丁目 moyuk SAPPORO 2F |
| アクセス | 「狸小路駅」から徒歩1分 |
| 診療時間 | 10:00〜19:00 |
| 休診日 | 月曜・祝日 |
| 代表者 | 谷口 正昭 |
※記載の内容は最新の情報と異なる場合がございます。正確な情報は歯科医院にご確認ください。
この歯科医院の他の症例
NEW CONTENT 新着コンテンツ
-
「第22回 一般社団法人 日本外傷歯学会・総会・学術大会」開幕、リハビリにフォーカスして歯の損失リスク軽減を目指す
2022.8.8 一般歯科
-
クラウド型歯科用レセコン「POWER5G」が口腔内シミュレーションサービス「DMFTシミュレーター」と提携
2022.6.28 予防歯科
-
豪発のブランド「ビーボックス」から歯固め発売、乳幼児でも持ちやすい設計に
2022.6.24 小児歯科
-
韓国発ライフスタイルケアブランド「ソルトレイン」日本初上陸、伊勢丹新宿でポップアップも
2022.6.22 その他
-
デントウェーブ運営の歯科衛生士向けコミュニティ「歯科衛生士のcoe」無料オンラインイベント開催
2022.3.2 その他
-
竹素材のオーガニック歯ブラシ、日本発サステナブランド「ミヨオーガニック」展開
2022.2.17 予防歯科
