- 根管治療
- クリーニング
- 詰め物・被せもの
- セラミック・ジルコニア
60代女性 変色した前歯に根管治療を施しセラミックの被せ物を装着した症例
ご相談内容
「前歯の色が気になる」とご相談いただきました。
カウンセリング・診断結果
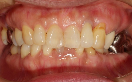
拝見したところ、左上の前歯に変色が見られました。この歯は神経が死んでしまった失活歯です。
失活歯とは歯の神経や血管が機能しなくなった歯のことで、神経が失われると歯の内部へ栄養が行き届かなくなるため、時間の経過とともに歯の色が徐々に黒っぽく変化してしまうことがあります。
また、失活歯の内部には細菌に感染した神経の組織が残っている場合があります。このまま放置すると、歯の根の先や周囲の骨へ細菌感染が広がる可能性が考えられました。
レントゲン検査なども行い総合的に確認した結果、まずは歯の内部をしっかりと清掃・消毒する根管治療が必要と診断しました。
行ったご提案・治療内容
治療の流れとしてまず根管治療を行い、歯の内部に残っている感染した組織を取り除いて消毒します。その後、変色している歯の見た目を整えるために白いセラミックの被せ物で歯を覆う方法を提案し、以下のメリットとデメリットをお伝えしたうえで治療に同意いただきました。
メリット:
根管治療で歯の内部の感染を取り除くことで、歯の根の周囲に細菌感染が広がるリスクを抑えられる
セラミックの被せ物を使用することで、周囲の歯の色に合わせた自然な見た目に仕上げることが可能
デメリット:
根の治療中に痛みや違和感が出る場合がある
セラミックの被せ物を装着するためには、歯の形を整えるために歯全体を一回り小さく削る必要がある
まずお口の中のクリーニングを行い、口腔内の細菌をできるだけ減らす処置を施しました。
その後、左上の前歯の根管治療を行いました。歯に小さな穴を開けて内部にアプローチし、感染した神経の組織を取り除いたうえで、根の中を丁寧に洗浄・消毒しています。
消毒を数回繰り返したあと、根の内部に薬剤を隙間なく詰めてしっかりと封鎖しました。
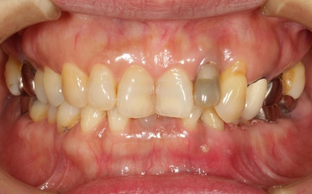
根管治療が終了したあとは、被せ物を装着するために歯の形を整え型取りを行っています。
後日、完成したセラミックの被せ物を装着し、形や噛み合わせに問題がないかを確認して治療を終了しました。
この治療のリスクについて
・まれに根管治療後も再治療、外科手術、抜歯などの処置が必要となる場合があります
・治療中まれに器具の破折、被せ物や詰め物など修復物の損傷、歯の破折が起こる場合があります
・治療中や治療後に不快症状が出たり、治療後に痛みや腫れなどが生じたりする可能性があります
・装着に際し、天然歯を削る必要があります
・噛み合わせや歯ぎしりが強い場合、セラミックが割れる可能性があります
・一部の治療を除き、自費診療(保険適用外)です
- 年齢・性別 60代女性
- 診療種別 自由診療
- 治療期間の目安 1年
- 治療回数の目安 -
- 治療費総額の目安 約170,000円
※掲載された情報は治療の効果を保証するものではありません。
ご利用により万一何らかの損害が発生したとしても、当サイトは一切責任を負いかねますのでご了承ください。
問題を報告する
掲載内容に問題がありますか?
こちらのフォームではココシカ!利用規約に違反している可能性のある情報や、
その他の問題がある内容について直接報告することができます。
この機能は、詐欺、スパム、虚偽、不正確であると思われる情報を報告するためのものです。
報告すべき情報の例
- ・差別的または不快感を与えるもの: 性別、年齢、人種、宗教、身体的特徴などに基づく差別が見られるものはこちらに該当します。過度な出血など過激な表現など不適切な内容が含まれる場合も対象です。
- ・虚偽の情報: 何らかの根拠により虚偽が認められる情報が対象です。
- ・不正確な情報: 治療名やリスク、金額、医院情報などに不正確な内容が含まれるものです。多くの場合、これらの問題はココシカ!の掲載基準違反ではありませんが、情報の更新が求められる場合があります。
- ・広告行為: 本サービスの趣旨に反する投稿です。サービス広告、企業やアプリの宣伝、その他問題があると確認された投稿が該当します。
- ・その他: これらのカテゴリーに当てはまらない問題については、[その他] を選択し詳しい情報をご提供ください。
ココシカ!の情報、技術的な問題、医院ページのレビュー、掲載情報に関する問い合わせ、検索結果などに関する一般的な質問、これらの問題に関するお問い合わせは、サポートチームまでご連絡下さい。
| 診療科目 | 一般歯科、ホワイトニング、インプラント、歯周病治療、根管治療 |
|---|---|
| 自由診療 | 虫歯治療、根管治療、ホームホワイトニング、オフィスホワイトニング |
| 住所 | 〒176-0005 東京都練馬区旭丘1-54-9 アイウッド1F |
| 診療時間 | 9:00~13:00 15:00~19:00 |
| 休診日 | 休診日は、水・日・祝・第一土曜です。 |
| 代表者 | 内海 大輔 |
※記載の内容は最新の情報と異なる場合がございます。正確な情報は歯科医院にご確認ください。
この歯科医院の他の症例
NEW CONTENT 新着コンテンツ
-
「第22回 一般社団法人 日本外傷歯学会・総会・学術大会」開幕、リハビリにフォーカスして歯の損失リスク軽減を目指す
2022.8.8 一般歯科
-
クラウド型歯科用レセコン「POWER5G」が口腔内シミュレーションサービス「DMFTシミュレーター」と提携
2022.6.28 予防歯科
-
豪発のブランド「ビーボックス」から歯固め発売、乳幼児でも持ちやすい設計に
2022.6.24 小児歯科
-
韓国発ライフスタイルケアブランド「ソルトレイン」日本初上陸、伊勢丹新宿でポップアップも
2022.6.22 その他
-
デントウェーブ運営の歯科衛生士向けコミュニティ「歯科衛生士のcoe」無料オンラインイベント開催
2022.3.2 その他
-
竹素材のオーガニック歯ブラシ、日本発サステナブランド「ミヨオーガニック」展開
2022.2.17 予防歯科
