- 虫歯
- 歯石除去
- 銀歯
- 歯周病
- クリーニング
- 詰め物・被せもの
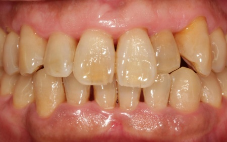
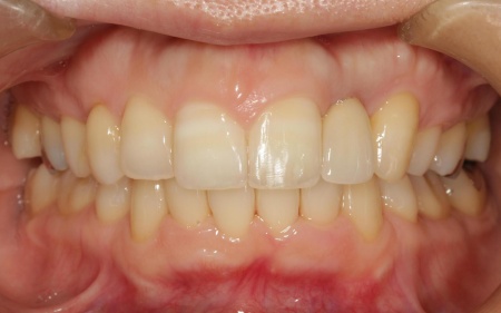
50代男性 歯周病治療のあとに虫歯を除去し銀歯とコンポジットレジンで修復した症例
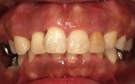
ご相談内容
「左上の奥歯がしみる。歯茎から血が出るので診てほしい」とご相談いただきました。
カウンセリング・診断結果
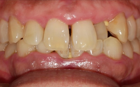
拝見したところ、全体的に歯茎が腫れており一部には出血も見られました。
また歯磨きが不十分で、歯垢(細菌の塊)も付着しています。
歯垢は歯ブラシなどでこすり取ることで除去できますが、磨き残しがあるまま放置すると固まって歯石になったり、歯周炎や虫歯の原因になったりします。
今回の歯茎からの出血は、歯周炎によるものと診断しました。
さらにしみる症状が出ていた左上奥歯だけでなく、左右の奥歯も含め、虫歯が合計4本あります。
このまま放置すると虫歯や歯周炎がさらに進行し、最終的には歯を失うおそれがあることから、歯周炎と虫歯の治療が必要と診断しました。
行ったご提案・治療内容
お口の状態を改善するため、まず歯茎の炎症と歯周炎の進行を抑える歯周病治療を行い、その後に虫歯の治療を進める方針を提案し、同意いただきました。
併せてどちらの治療も保険診療内で対応できることもお伝えしています。
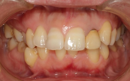
歯周病治療では、歯と歯茎の間にある歯周ポケットの奥深くに入り込んだ歯垢や歯石を除去します。
歯周ポケット内が清潔になることで炎症が改善し歯茎が引き締まるため、歯周ポケットが浅くなり細菌もたまりにくくなります。
治療の際は超音波振動と水の力で取り除く超音波スケーラーや、水や機械の振動がない手用スケーラーを併用しました。
また、今後患者様ご自身で正しく歯磨きができるよう歯ブラシや清掃補助器具の使い方についてもお伝えしました。
歯茎の炎症が改善したことを確認してから、虫歯に感染した部分を取り除きました。
失った歯質を補うため左上奥歯には銀歯を装着し、それ以外の3本には歯科用の白いプラスチック(コンポジットレジン)を詰めています。
銀歯は噛む力に強く奥歯に適した素材ですが、金属色が目立ちやすく審美性は劣ります。
一方、コンポジットレジンは歯に近い色のため自然に仕上がりますが、強度が低いため大きな欠損の補修には適していません。
最後に、噛み合わせの状態や詰め物と歯の間に隙間がないかをしっかり確認し、治療を終了しました。
この治療のリスクについて
・治療中に痛みを伴う場合があります
・治療後に正しい歯磨きやメンテナンスを怠ると、虫歯が再発する場合があります
・治療後は神経が過敏になっているため、痛みが生じる場合があります
・病状、症状、患者様のお口の環境によって、複数回にわたる施術が必要となる場合があります
・治療が終わった後も、十分なセルフケアが必要です
・正しいブラッシングやメンテナンスを行わない場合、歯石の付着や虫歯が生じる可能性があります
- 年齢・性別 50代男性
- 診療種別 保険診療
- 治療期間の目安 10ヶ月
- 治療回数の目安 -
-
治療費総額の目安
約30,000円
(虫歯治療、歯周病治療)
※掲載された情報は治療の効果を保証するものではありません。
ご利用により万一何らかの損害が発生したとしても、当サイトは一切責任を負いかねますのでご了承ください。
問題を報告する
掲載内容に問題がありますか?
こちらのフォームではココシカ!利用規約に違反している可能性のある情報や、
その他の問題がある内容について直接報告することができます。
この機能は、詐欺、スパム、虚偽、不正確であると思われる情報を報告するためのものです。
報告すべき情報の例
- ・差別的または不快感を与えるもの: 性別、年齢、人種、宗教、身体的特徴などに基づく差別が見られるものはこちらに該当します。過度な出血など過激な表現など不適切な内容が含まれる場合も対象です。
- ・虚偽の情報: 何らかの根拠により虚偽が認められる情報が対象です。
- ・不正確な情報: 治療名やリスク、金額、医院情報などに不正確な内容が含まれるものです。多くの場合、これらの問題はココシカ!の掲載基準違反ではありませんが、情報の更新が求められる場合があります。
- ・広告行為: 本サービスの趣旨に反する投稿です。サービス広告、企業やアプリの宣伝、その他問題があると確認された投稿が該当します。
- ・その他: これらのカテゴリーに当てはまらない問題については、[その他] を選択し詳しい情報をご提供ください。
ココシカ!の情報、技術的な問題、医院ページのレビュー、掲載情報に関する問い合わせ、検索結果などに関する一般的な質問、これらの問題に関するお問い合わせは、サポートチームまでご連絡下さい。
| 診療科目 | 一般歯科、ホワイトニング、インプラント、歯周病治療、根管治療 |
|---|---|
| 自由診療 | 虫歯治療、根管治療、ホームホワイトニング、オフィスホワイトニング |
| 住所 | 〒176-0005 東京都練馬区旭丘1-54-9 アイウッド1F |
| 診療時間 | 9:00~13:00 15:00~19:00 |
| 休診日 | 休診日は、水・日・祝・第一土曜です。 |
| 代表者 | 内海 大輔 |
※記載の内容は最新の情報と異なる場合がございます。正確な情報は歯科医院にご確認ください。
この歯科医院の他の症例
NEW CONTENT 新着コンテンツ
-
「第22回 一般社団法人 日本外傷歯学会・総会・学術大会」開幕、リハビリにフォーカスして歯の損失リスク軽減を目指す
2022.8.8 一般歯科
-
クラウド型歯科用レセコン「POWER5G」が口腔内シミュレーションサービス「DMFTシミュレーター」と提携
2022.6.28 予防歯科
-
豪発のブランド「ビーボックス」から歯固め発売、乳幼児でも持ちやすい設計に
2022.6.24 小児歯科
-
韓国発ライフスタイルケアブランド「ソルトレイン」日本初上陸、伊勢丹新宿でポップアップも
2022.6.22 その他
-
デントウェーブ運営の歯科衛生士向けコミュニティ「歯科衛生士のcoe」無料オンラインイベント開催
2022.3.2 その他
-
竹素材のオーガニック歯ブラシ、日本発サステナブランド「ミヨオーガニック」展開
2022.2.17 予防歯科
