- 矯正歯科
- ワイヤー矯正
- 詰め物・被せもの
- セラミック・ジルコニア
- 抜歯
- ダイレクトボンディング
40代女性 乱れた歯並びと不安定な噛み合わせを矯正治療と被せ物で改善した症例
ご相談内容
「20代のころから、痛いときだけ歯科医院に通っていた。歯が折れたり抜けたりしたため、複数の歯をつなげた被せ物を装着しているが、噛みにくくなってしまった。また、最近は食いしばりもあり奥歯が痛む。複数の歯科医院で矯正治療を断られたので、解決策が見つからずに困っている」とご相談いただきました。
カウンセリング・診断結果
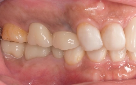
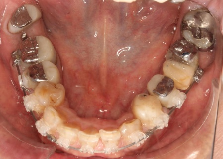
拝見したところ、もともと左上の歯と左下前歯が欠損しているうえ、奥歯の欠損も進んでいたため、噛み合わせが低くなっていました。
奥歯が噛み合わない状態になったことで、上前歯が前方に押し出され、出っ歯のようになっています。
また、下の歯は歯根だけが残る「残根」もあり、全体的に噛み合わせが不安定です。
さらに食いしばりの習慣があることから、残っている歯や顎関節に過度な負荷がかかっていると考えられます。
このまま放置すると、食いしばりによる歯の破折や欠損の増加、顎関節への負担増大、前歯の突出の進行などのリスクがあるため、早急に治療を開始する必要があると診断しました。
行ったご提案・治療内容
最初に前歯の位置と噛み合わせの高さを整えるための矯正治療を行い、その後、被せ物による治療で噛み合わせと審美性を回復する方法を提案しました。
メリット
・先に矯正治療を行うことで歯の位置関係が整うため、最終的な被せ物が長持ちしやすくなる
・機能だけでなく、審美性の改善も期待できる
デメリット
・矯正治療と被せ物による治療を組み合わせるため、治療期間が長くなり、治療費も高額になりやすい
・矯正装置を装着することで、違和感があったり日常的なケアが必要になったりする
メリットとデメリットをしっかりとお伝えした結果、治療に同意いただきました。
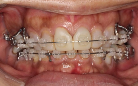
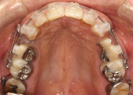
まずは、口腔内全体の矯正治療から開始します。
上顎は左上の歯が欠損していたため、左右のバランスを整える目的で、右上の歯(第1小臼歯)を抜きました。
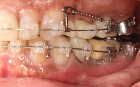
その後、ワイヤー矯正とクローズドコイル(バネの装置)を使ったスピード矯正を行い、前歯を後方に移動させます。
下顎は残根も利用しながら、矯正用の小さなネジ「テンポラリーインプラント(インプラントアンカー)」を顎の骨に埋め込んで固定源とする方法も併用し、歯を移動させました。
矯正期間中は定期的に装置の調整を行い、歯の動きや噛み合わせの変化を確認しながら治療を進めています。
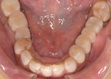
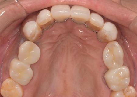
矯正期間終了後は、被せ物による治療に移行します。
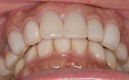
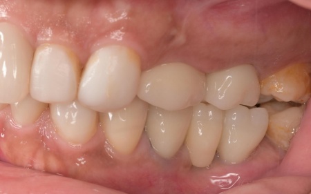
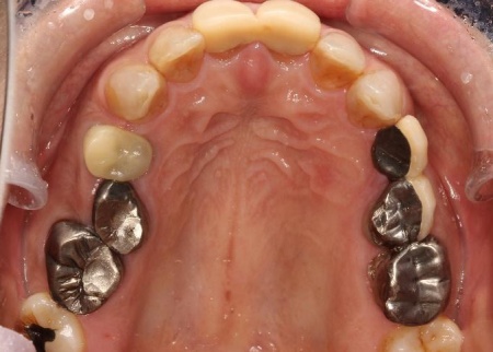
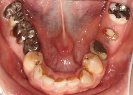
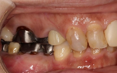
上顎の前歯2本ずつと奥歯4本(左右中切歯・第2小臼歯・第1大臼歯)、下顎の奥歯7本(左第1小臼歯・左右第2小臼歯・第1大臼歯・第2大臼歯)には、見た目が自然なセラミックの被せ物「ジルコニアクラウン」を装着しました。
ジルコニアは、金属を使わないため金属アレルギーの心配が少ない点、人工ダイヤモンドと呼ばれるほどの強度をもち噛む力の強い奥歯にも適している点がメリットです。
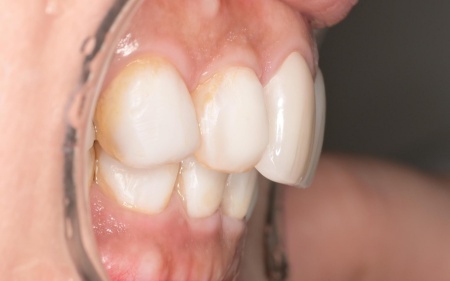
加えて、上前歯4本(左右側切歯・犬歯)と下前歯5本(左右中切歯・側切歯・右下犬歯)は、ダイレクトクラウンによる修復を行いました。
ダイレクトクラウンとは、レジン(樹脂)を用いて直接歯の形を作り上げていく治療方法です。
歯を削る量が少ない、色や形を細かく調整しながら仕上げられる、治療後は必要に応じて微調整がしやすいなどのメリットがあります。
最後に、見た目や噛み合わせに問題がないかを確認し、治療を終了しました。
この治療のリスクについて
・外科処置後に痛みが長引く場合があります。必要に応じ痛み止めを併用します
・治療中、装置によってまれに頬の内側が傷つき、口内炎になる場合があります
・歯の移動に伴って、違和感や痛みを感じる場合があります
・正しいブラッシングやメンテナンスを行わない場合、虫歯や歯周病のリスクが高まります
・装着に際し、天然歯を削る場合があります
・強い力や衝撃が加わった場合、割れたり欠けたりする可能性があります
- 年齢・性別 40代女性
- 診療種別 自由診療
- 治療期間の目安 4年
- 治療回数の目安 45~50回
-
治療費総額の目安
約2,370,000円
(矯正治療、ジルコニアクラウン、ダイレクトクラウン)
※掲載された情報は治療の効果を保証するものではありません。
ご利用により万一何らかの損害が発生したとしても、当サイトは一切責任を負いかねますのでご了承ください。
画像をクリックすると拡大・詳細コメントを確認いただけます
-
鈴木歯科医院TEL:0475521781
-
鈴木歯科医院TEL:0475521781
-
鈴木歯科医院TEL:0475521781
-
鈴木歯科医院TEL:0475521781
-
鈴木歯科医院TEL:0475521781
-
鈴木歯科医院TEL:0475521781
-
鈴木歯科医院TEL:0475521781
-
鈴木歯科医院TEL:0475521781
-
鈴木歯科医院TEL:0475521781
-
鈴木歯科医院TEL:0475521781
-
鈴木歯科医院TEL:0475521781
-
鈴木歯科医院TEL:0475521781
-
鈴木歯科医院TEL:0475521781
-
鈴木歯科医院TEL:0475521781
-
鈴木歯科医院TEL:0475521781
-
鈴木歯科医院TEL:0475521781
-
鈴木歯科医院TEL:0475521781 -
鈴木歯科医院TEL:0475521781
-
鈴木歯科医院TEL:0475521781
-
鈴木歯科医院TEL:0475521781 -
鈴木歯科医院TEL:0475521781
-
鈴木歯科医院TEL:0475521781 -
鈴木歯科医院TEL:0475521781 -
鈴木歯科医院TEL:0475521781
-
鈴木歯科医院TEL:0475521781 -
鈴木歯科医院TEL:0475521781 -
鈴木歯科医院TEL:0475521781
画像をクリックすると拡大・詳細コメントを確認いただけます
問題を報告する
掲載内容に問題がありますか?
こちらのフォームではココシカ!利用規約に違反している可能性のある情報や、
その他の問題がある内容について直接報告することができます。
この機能は、詐欺、スパム、虚偽、不正確であると思われる情報を報告するためのものです。
報告すべき情報の例
- ・差別的または不快感を与えるもの: 性別、年齢、人種、宗教、身体的特徴などに基づく差別が見られるものはこちらに該当します。過度な出血など過激な表現など不適切な内容が含まれる場合も対象です。
- ・虚偽の情報: 何らかの根拠により虚偽が認められる情報が対象です。
- ・不正確な情報: 治療名やリスク、金額、医院情報などに不正確な内容が含まれるものです。多くの場合、これらの問題はココシカ!の掲載基準違反ではありませんが、情報の更新が求められる場合があります。
- ・広告行為: 本サービスの趣旨に反する投稿です。サービス広告、企業やアプリの宣伝、その他問題があると確認された投稿が該当します。
- ・その他: これらのカテゴリーに当てはまらない問題については、[その他] を選択し詳しい情報をご提供ください。
ココシカ!の情報、技術的な問題、医院ページのレビュー、掲載情報に関する問い合わせ、検索結果などに関する一般的な質問、これらの問題に関するお問い合わせは、サポートチームまでご連絡下さい。
| 診療科目 | 一般歯科、予防歯科、小児歯科、審美歯科、矯正歯科、マタニティ歯科、ホワイトニング、インプラント、入れ歯治療、親知らずの治療 |
|---|---|
| 自由診療 | 矯正歯科(ワイヤー矯正・マウスピース矯正)、小児矯正(MFT・MRC矯正・拡大床・ワイヤー矯正)、セラミック治療、ホームホワイトニング、入れ歯治療、インプラント |
| 住所 | 〒283-0801 千葉県東金市八坂台3-1-7 |
| アクセス | JR東金線「東金駅」下車、タクシーでワンメーター |
| 診療時間 | 08:40〜13:00/14:30〜18:00 |
| 休診日 | 木曜 / 日曜 / 祝日 |
| 代表者 | 鈴木 章弘 |
※記載の内容は最新の情報と異なる場合がございます。正確な情報は歯科医院にご確認ください。
この歯科医院の他の症例
NEW CONTENT 新着コンテンツ
-
「第22回 一般社団法人 日本外傷歯学会・総会・学術大会」開幕、リハビリにフォーカスして歯の損失リスク軽減を目指す
2022.8.8 一般歯科
-
クラウド型歯科用レセコン「POWER5G」が口腔内シミュレーションサービス「DMFTシミュレーター」と提携
2022.6.28 予防歯科
-
豪発のブランド「ビーボックス」から歯固め発売、乳幼児でも持ちやすい設計に
2022.6.24 小児歯科
-
韓国発ライフスタイルケアブランド「ソルトレイン」日本初上陸、伊勢丹新宿でポップアップも
2022.6.22 その他
-
デントウェーブ運営の歯科衛生士向けコミュニティ「歯科衛生士のcoe」無料オンラインイベント開催
2022.3.2 その他
-
竹素材のオーガニック歯ブラシ、日本発サステナブランド「ミヨオーガニック」展開
2022.2.17 予防歯科
