- 骨再生
- 詰め物・被せもの
- セラミック・ジルコニア
- インプラント
- サイナスリフト
- ダイレクトボンディング
50代男性 バランスが崩れた噛み合わせをインプラント治療と被せ物治療で改善した症例
ご相談内容
「30代から歯科医院に通っていたが、歯が痛むときだけしか受診しなかったせいか、歯が折れて欠損部が増え、噛みにくくなってしまった。また、今までいくつかの歯科医院を受診したが解決が難しく、こちらを受診した」とご相談いただきました。
カウンセリング・診断結果
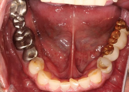
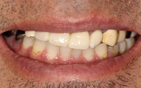
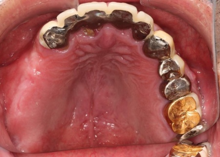
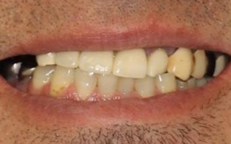
拝見したところ、右上奥歯4本が欠損しており、その影響で全体の噛み合わせのバランスが崩れていました。
加えて、噛んだときに上下の歯の中心がずれており、顔貌のゆがみにもつながっています。
欠損部が多い状態が長期間続いたことで噛み合わせが低く、新しい歯を入れるための高さも不足していました。
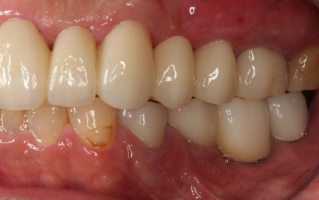
また、右上前歯も1本欠損しており、両隣の歯を土台として橋を渡すように連結した被せ物「ブリッジ」が装着されていましたが、土台となっている右上前歯2本(中切歯、犬歯)が割れており、温存が難しい状態です。
さらに、劣化してうまく適合していない被せ物、詰め物、既存のインプラントが複数見られ、これらも噛み合わせを乱す原因となっていました。
加えて全体的に歯周病も進行しており、骨が溶けている部分も確認できます。
このまま放置すると、食事がしにくい、残っている歯への負担が増えて歯の寿命が短くなるなどのリスクがあるため、早急に治療を開始する必要があると診断しました。
行ったご提案・治療内容
噛み合わせを回復させる方法として、以下の治療計画を提案しました。
①右上前歯のブリッジを外し、右上前歯2本を抜く
ブリッジの土台となっている歯は温存が難しく、抜歯する必要があることをお伝えしました。
②抜いた右上前歯と、すでに欠損している右上奥歯には、インプラント治療を行う
インプラント治療とは、顎の骨に人工の歯根を埋め込み、その上に人工歯を取りつける方法です。
外科手術が必要で治療期間も比較的長くなりますが、自分の歯のような見た目や噛み心地が期待できます。
また、歯を補う方法として「入れ歯」という選択肢もあります。
入れ歯は外科手術が不要なうえ、短期間で作製できるメリットがありますが、毎日の取り外しや清掃などの管理が必要な点、噛む際に違和感を覚えやすい点がデメリットです。
③合わなくなってしまった被せ物、詰め物、既存のインプラントを作り替える
時間がかかる治療ですが、噛み合わせのバランスを根本から整えるために欠かせない工程です。
患者様は「見た目の自然さと、しっかり噛めることを重視したい」とのことで、欠損部の治療にはインプラントを選択され、合わなくなった被せ物や詰め物などの作り替えにも同意いただきました。
まず、右上前歯2本を抜きます。
次に、右上奥歯と前歯にインプラント治療を行いました。
右上奥歯は、歯周病でインプラントを埋入するために必要な骨が不足していたため、上顎の奥にある上顎洞の底を押し上げて人工の骨を補う「サイナスリフト」という骨造成を併用しています。
右上前歯も同様に骨が少なかったため、こちらは骨の移植を行って骨量を確保したのち、インプラントを埋入しました。
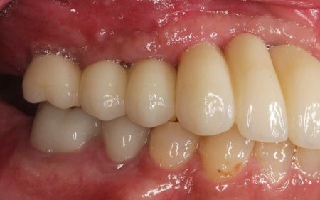
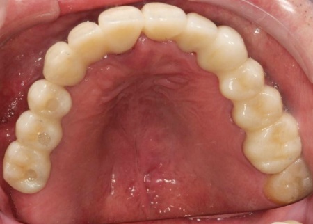
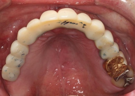
インプラントが骨にしっかりとなじんだことを確認したら、白くて強度の高い人工歯「ジルコニアクラウン」を装着しました。
また、インプラント治療と並行して、合わなくなっていた被せ物・詰め物・既存のインプラントを作り替えます。
左上奥歯は、装着されていた金属の古い詰め物を外し、白い樹脂を直接詰める「ダイレクトボンディング」で修復しました。
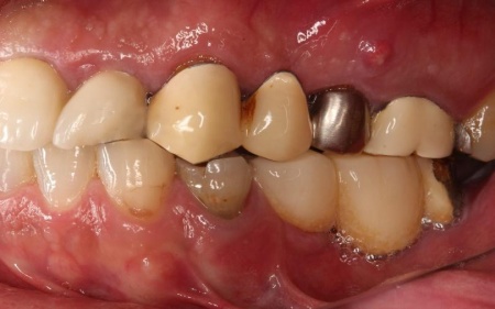
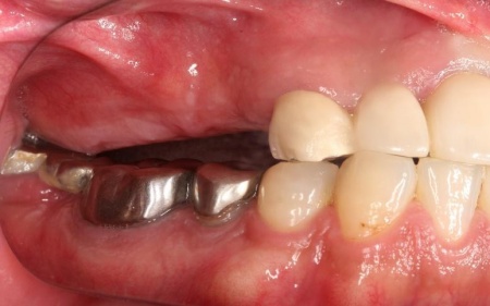
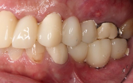
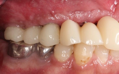
他院で治療を行った左下奥歯3本のインプラントは、土台をそのまま活かして人工歯だけ作り直し、噛み合わせを調整します。
左下奥歯1本、右下奥歯2本に装着されていた古い被せ物はすべて外し、ジルコニアクラウンと交換しました。
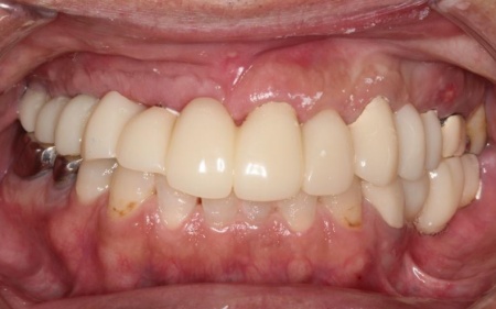
最後に、見た目や噛み合わせに問題がないかを確認し、治療を終了しています。
この治療のリスクについて
・外科手術のため、術後に痛みや腫れ、違和感を伴います
・メンテナンスを怠ったり、喫煙したりすると、お口の中に大きな悪影響を及ぼし、インプラント周囲炎等にかかる可能性があります
・糖尿病、肝硬変、心臓病などの持病をお持ちの場合、インプラント治療ができない可能性があります
・高血圧、貧血・不整脈などの持病をお持ちの場合、インプラント治療後に治癒不全を招く可能性があります
・噛み合わせや歯ぎしりが強い場合、セラミックが割れる可能性があります
- 年齢・性別 50代男性
- 診療種別 自由診療
- 治療期間の目安 3年
- 治療回数の目安 約45〜50回
-
治療費総額の目安
約4,479,545円
【内訳】
サイナスリフト、骨移植、インプラント6本、他院インプラント人工歯作り替え、ジルコニアクラウン(インプラント人工歯6本、被せ物3本)、ダイレクトボンディング
※掲載された情報は治療の効果を保証するものではありません。
ご利用により万一何らかの損害が発生したとしても、当サイトは一切責任を負いかねますのでご了承ください。
画像をクリックすると拡大・詳細コメントを確認いただけます
-
鈴木歯科医院TEL:0475521781
-
鈴木歯科医院TEL:0475521781
-
鈴木歯科医院TEL:0475521781
-
鈴木歯科医院TEL:0475521781
-
鈴木歯科医院TEL:0475521781
-
鈴木歯科医院TEL:0475521781
-
鈴木歯科医院TEL:0475521781
-
鈴木歯科医院TEL:0475521781
-
鈴木歯科医院TEL:0475521781
-
鈴木歯科医院TEL:0475521781
-
鈴木歯科医院TEL:0475521781
-
鈴木歯科医院TEL:0475521781
-
鈴木歯科医院TEL:0475521781
-
鈴木歯科医院TEL:0475521781
-
鈴木歯科医院TEL:0475521781
-
鈴木歯科医院TEL:0475521781
-
鈴木歯科医院TEL:0475521781
-
鈴木歯科医院TEL:0475521781
-
鈴木歯科医院TEL:0475521781
-
鈴木歯科医院TEL:0475521781
-
鈴木歯科医院TEL:0475521781
問題を報告する
掲載内容に問題がありますか?
こちらのフォームではココシカ!利用規約に違反している可能性のある情報や、
その他の問題がある内容について直接報告することができます。
この機能は、詐欺、スパム、虚偽、不正確であると思われる情報を報告するためのものです。
報告すべき情報の例
- ・差別的または不快感を与えるもの: 性別、年齢、人種、宗教、身体的特徴などに基づく差別が見られるものはこちらに該当します。過度な出血など過激な表現など不適切な内容が含まれる場合も対象です。
- ・虚偽の情報: 何らかの根拠により虚偽が認められる情報が対象です。
- ・不正確な情報: 治療名やリスク、金額、医院情報などに不正確な内容が含まれるものです。多くの場合、これらの問題はココシカ!の掲載基準違反ではありませんが、情報の更新が求められる場合があります。
- ・広告行為: 本サービスの趣旨に反する投稿です。サービス広告、企業やアプリの宣伝、その他問題があると確認された投稿が該当します。
- ・その他: これらのカテゴリーに当てはまらない問題については、[その他] を選択し詳しい情報をご提供ください。
ココシカ!の情報、技術的な問題、医院ページのレビュー、掲載情報に関する問い合わせ、検索結果などに関する一般的な質問、これらの問題に関するお問い合わせは、サポートチームまでご連絡下さい。
| 診療科目 | 一般歯科、予防歯科、小児歯科、審美歯科、矯正歯科、マタニティ歯科、ホワイトニング、インプラント、入れ歯治療、親知らずの治療 |
|---|---|
| 自由診療 | 矯正歯科(ワイヤー矯正・マウスピース矯正)、小児矯正(MFT・MRC矯正・拡大床・ワイヤー矯正)、セラミック治療、ホームホワイトニング、入れ歯治療、インプラント |
| 住所 | 〒283-0801 千葉県東金市八坂台3-1-7 |
| アクセス | JR東金線「東金駅」下車、タクシーでワンメーター |
| 診療時間 | 08:40〜13:00/14:30〜18:00 |
| 休診日 | 木曜 / 日曜 / 祝日 |
| 代表者 | 鈴木 章弘 |
※記載の内容は最新の情報と異なる場合がございます。正確な情報は歯科医院にご確認ください。
この歯科医院の他の症例
NEW CONTENT 新着コンテンツ
-
「第22回 一般社団法人 日本外傷歯学会・総会・学術大会」開幕、リハビリにフォーカスして歯の損失リスク軽減を目指す
2022.8.8 一般歯科
-
クラウド型歯科用レセコン「POWER5G」が口腔内シミュレーションサービス「DMFTシミュレーター」と提携
2022.6.28 予防歯科
-
豪発のブランド「ビーボックス」から歯固め発売、乳幼児でも持ちやすい設計に
2022.6.24 小児歯科
-
韓国発ライフスタイルケアブランド「ソルトレイン」日本初上陸、伊勢丹新宿でポップアップも
2022.6.22 その他
-
デントウェーブ運営の歯科衛生士向けコミュニティ「歯科衛生士のcoe」無料オンラインイベント開催
2022.3.2 その他
-
竹素材のオーガニック歯ブラシ、日本発サステナブランド「ミヨオーガニック」展開
2022.2.17 予防歯科
