- 口腔筋トレーニング(MFT)
- 小児矯正
- マウスピース矯正
- 食いしばり・かみ合わせ
8歳女の子 出っ歯や噛み合わせの悪さを口周りの筋肉を鍛えるトレーニングで改善した症例
ご相談内容
「歯科検診で歯並びについて指摘されたので来院した。歯がデコボコに生えていて出っ歯になっていることと、下の歯が見えないことが気になる」とご相談いただきました。
カウンセリング・診断結果
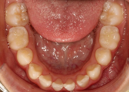
拝見したところ、上前歯が前方に突き出している出っ歯の状態でした。
また、噛み合わせた際に上前歯が下前歯に深く覆いかぶさっており、下前歯がほとんど見えません。
さらに、一部の歯がずれたりねじれたりしてデコボコに生えています。
患者様は鼻が詰まりやすいため口呼吸をする傾向があり、無意識で口を開けっぱなしにしてしまう癖がありました。口を常に開けていると顎の成長に悪影響が出たり、舌や口周りの筋肉バランスが崩れて歯並びや噛み合わせが悪くなったりするリスクがあります。
加えて、患者様は過去に歯ぎしりをする癖があったため、これも歯並びに影響していました。歯並びが悪いと噛み合わせが不安定になり、さらに歯ぎしりをしやすくなるという悪循環も起こります。
患者様の状態は、歯並びや悪習慣などの要因によって、食べる、話す、呼吸するなどの口腔機能が十分に発達していない、または正常な機能を獲得できていない、口腔機能発達不全と呼ばれるものです。
このまま放置すると、今よりも歯並びや噛み合わせが悪化するおそれがあるため、口腔機能を向上させる治療が必要と診断しました。
行ったご提案・治療内容
診断結果をお伝えし、口腔内の問題を改善するため、以下2つの治療方法を提案しました。
・MRC
取り外し式のマウスピース型トレーナーであるマイオブレースと、口周りの筋肉を鍛えるトレーニングを組み合わせた小児用の矯正治療です。
噛み合わせや歯並びが悪化する原因となる舌や口呼吸などの悪習慣を改善し、正しい歯並びに導きながら、呼吸方法の改善を促すことを目的としています。
・プレオルソ
小児を対象としたマウスピース型の矯正装置です。口周りの筋肉バランスを整え、歯並びが悪化する原因を取り除くことで間接的に歯並びを整えます。
患者様と保護者様には、食事時の姿勢に気を付ける、口を開けっぱなしにするなどの悪習慣の改善、体幹を鍛えるなどを含めた口腔周囲筋トレーニングが必要であることを説明し、MRCとプレオルソを併用する治療方法に同意いただきました。
まずは月に1回来院いただき、風船を膨らませるなどの方法で唇や舌など口腔機能のトレーニングを行います。また、毎日の食事では姿勢に気を付けるよう指導しました。
2年間治療を継続した結果、舌圧や口唇圧など口周りの機能が平均以上になり、歯並びや噛み合わせ、姿勢が改善したため、治療を終了しています。
この治療のリスクについて
・決められたスケジュールを守らない場合、十分な効果が得られない可能性があります
・マウスピースに対応していない症例の場合、治療が難しい可能性があります
・歯の移動に伴って、痛みや違和感を感じる場合があります
・正しいブラッシングやメンテナンスを行わない場合、虫歯や歯周病のリスクが高まります
- 年齢・性別 8歳女の子
- 診療種別 自由診療
- 治療期間の目安 2年
-
治療回数の目安
24回
(月1回の通院) - 治療費総額の目安 350,000円
※掲載された情報は治療の効果を保証するものではありません。
ご利用により万一何らかの損害が発生したとしても、当サイトは一切責任を負いかねますのでご了承ください。
画像をクリックすると拡大・詳細コメントを確認いただけます
-
鈴木歯科医院TEL:0475521781
-
鈴木歯科医院TEL:0475521781
-
鈴木歯科医院TEL:0475521781
-
鈴木歯科医院TEL:0475521781
-
鈴木歯科医院TEL:0475521781
-
鈴木歯科医院TEL:0475521781
-
鈴木歯科医院TEL:0475521781
-
鈴木歯科医院TEL:0475521781
-
鈴木歯科医院TEL:0475521781
-
鈴木歯科医院TEL:0475521781
-
鈴木歯科医院TEL:0475521781
-
鈴木歯科医院TEL:0475521781
-
鈴木歯科医院TEL:0475521781
-
鈴木歯科医院TEL:0475521781
-
鈴木歯科医院TEL:0475521781
-
鈴木歯科医院TEL:0475521781
-
鈴木歯科医院TEL:0475521781
-
鈴木歯科医院TEL:0475521781
-
鈴木歯科医院TEL:0475521781 -
鈴木歯科医院TEL:0475521781
-
鈴木歯科医院TEL:0475521781
-
鈴木歯科医院TEL:0475521781 -
鈴木歯科医院TEL:0475521781 -
鈴木歯科医院TEL:0475521781
画像をクリックすると拡大・詳細コメントを確認いただけます
問題を報告する
掲載内容に問題がありますか?
こちらのフォームではココシカ!利用規約に違反している可能性のある情報や、
その他の問題がある内容について直接報告することができます。
この機能は、詐欺、スパム、虚偽、不正確であると思われる情報を報告するためのものです。
報告すべき情報の例
- ・差別的または不快感を与えるもの: 性別、年齢、人種、宗教、身体的特徴などに基づく差別が見られるものはこちらに該当します。過度な出血など過激な表現など不適切な内容が含まれる場合も対象です。
- ・虚偽の情報: 何らかの根拠により虚偽が認められる情報が対象です。
- ・不正確な情報: 治療名やリスク、金額、医院情報などに不正確な内容が含まれるものです。多くの場合、これらの問題はココシカ!の掲載基準違反ではありませんが、情報の更新が求められる場合があります。
- ・広告行為: 本サービスの趣旨に反する投稿です。サービス広告、企業やアプリの宣伝、その他問題があると確認された投稿が該当します。
- ・その他: これらのカテゴリーに当てはまらない問題については、[その他] を選択し詳しい情報をご提供ください。
ココシカ!の情報、技術的な問題、医院ページのレビュー、掲載情報に関する問い合わせ、検索結果などに関する一般的な質問、これらの問題に関するお問い合わせは、サポートチームまでご連絡下さい。
| 診療科目 | 一般歯科、予防歯科、小児歯科、審美歯科、矯正歯科、マタニティ歯科、ホワイトニング、インプラント、入れ歯治療、親知らずの治療 |
|---|---|
| 自由診療 | 矯正歯科(ワイヤー矯正・マウスピース矯正)、小児矯正(MFT・MRC矯正・拡大床・ワイヤー矯正)、セラミック治療、ホームホワイトニング、入れ歯治療、インプラント |
| 住所 | 〒283-0801 千葉県東金市八坂台3-1-7 |
| アクセス | JR東金線「東金駅」下車、タクシーでワンメーター |
| 診療時間 | 08:40〜13:00/14:30〜18:00 |
| 休診日 | 木曜 / 日曜 / 祝日 |
| 代表者 | 鈴木 章弘 |
※記載の内容は最新の情報と異なる場合がございます。正確な情報は歯科医院にご確認ください。
この歯科医院の他の症例
NEW CONTENT 新着コンテンツ
-
「第22回 一般社団法人 日本外傷歯学会・総会・学術大会」開幕、リハビリにフォーカスして歯の損失リスク軽減を目指す
2022.8.8 一般歯科
-
クラウド型歯科用レセコン「POWER5G」が口腔内シミュレーションサービス「DMFTシミュレーター」と提携
2022.6.28 予防歯科
-
豪発のブランド「ビーボックス」から歯固め発売、乳幼児でも持ちやすい設計に
2022.6.24 小児歯科
-
韓国発ライフスタイルケアブランド「ソルトレイン」日本初上陸、伊勢丹新宿でポップアップも
2022.6.22 その他
-
デントウェーブ運営の歯科衛生士向けコミュニティ「歯科衛生士のcoe」無料オンラインイベント開催
2022.3.2 その他
-
竹素材のオーガニック歯ブラシ、日本発サステナブランド「ミヨオーガニック」展開
2022.2.17 予防歯科
