- 矯正歯科
- ワイヤー矯正
- 抜歯
20代女性 ガタガタに生えていた前歯の歯並びをクローズドコイルとマルチブラケット装置を併用したスピード矯正で改善した症例
ご相談内容
「前歯がガタガタしていて出っ歯も気になる。人前で笑うことが苦手」とご相談いただきました。
カウンセリング・診断結果
拝見したところ、上下前歯は歯が適切な位置に並ぶためのスペースが足りずガタガタに生えている叢生(そうせい)の状態でした。
また、叢生の影響で左上前歯は外側に飛び出て生えているため、出っ歯のように見えていました。
このまま乱れた歯並びを放置すると、見た目の問題だけでなく、歯ブラシが当たりにくいことで磨き残しが生じて、虫歯や歯周病になるリスクが高まります。
以上のことから、歯並びを改善するための矯正治療が必要であると診断しました。
行ったご提案・治療内容
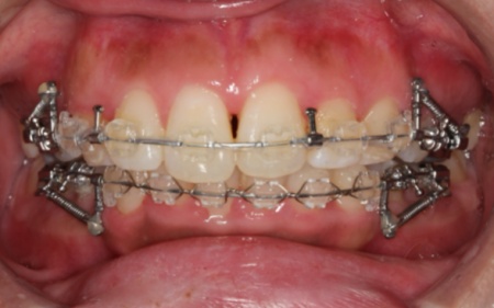
診断内容をお伝えした上で、歯を適切な位置に移動させるスペースを確保するために、上下左右の歯(第1小臼歯)の抜歯を行い、その後ワイヤー矯正と矯正治療用のバネ「クローズドコイル」を併用する「スピード矯正」を提案し、同意いただきました。
ワイヤー矯正では、歯の表面に接着した四角い装置(ブラケット)にワイヤーを通して歯を動かすマルチブラケット装置を使用します。
治療中の審美性を考慮して、前歯のブラケットは透明で目立ちにくいものを選択しました。
クローズドコイルは違和感や痛みがやや出やすいものの、バネの収縮力を利用して歯に対して一方向へ継続的に力をかけられるため、一般的な矯正治療と比べて治療期間の短縮や通院回数の減少が期待できます。
最初に上下左右の第1小臼歯を抜き、マルチブラケット装置とクローズドコイルを取り付け、歯並びを整えるレベリングを開始しました。
レベリングでは、ワイヤーの調整や交換を行いながら歯の傾きや回転を修正して向きを整え、それぞれの歯を適切な位置へ移動させます。
この段階でクローズドコイルを併用することで、より効率的に歯を動かすことができます。
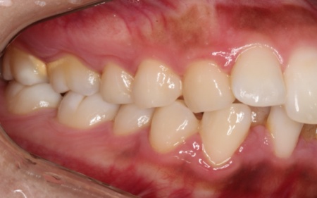
その後は装置調整のため月に1回来院いただき、約2年半で歯並びが整いました。
矯正治療後は、上下前歯の裏側に歯並びが元に戻らないようにするための保定装置を使用していただいています。
この治療のリスクについて
・持病をお持ちの方や、服用中のお薬の種類によっては、外科処置ができない場合があります
・外科処置後に腫れ、出血が生じる場合があります
・外科処置後に痛みが長引く場合があります。必要に応じ痛み止めを併用します
・治療中、装置によってまれに頬の内側が傷つき、口内炎になる場合があります
・歯の移動に伴って、違和感や痛みを感じる場合があります
・正しいブラッシングやメンテナンスを行わない場合、虫歯や歯周病のリスクが高まります
- 年齢・性別 20代女性
- 診療種別 自由診療
- 治療期間の目安 2年半
- 治療回数の目安 約30回(月1回通院)
-
治療費総額の目安
約935,000円
(保定装置含む)
※掲載された情報は治療の効果を保証するものではありません。
ご利用により万一何らかの損害が発生したとしても、当サイトは一切責任を負いかねますのでご了承ください。
画像をクリックすると拡大・詳細コメントを確認いただけます
-
鈴木歯科医院TEL:0475521781
-
鈴木歯科医院TEL:0475521781
-
鈴木歯科医院TEL:0475521781
-
鈴木歯科医院TEL:0475521781
-
鈴木歯科医院TEL:0475521781
-
鈴木歯科医院TEL:0475521781
-
鈴木歯科医院TEL:0475521781
-
鈴木歯科医院TEL:0475521781
-
鈴木歯科医院TEL:0475521781
-
鈴木歯科医院TEL:0475521781
-
鈴木歯科医院TEL:0475521781
-
鈴木歯科医院TEL:0475521781
-
鈴木歯科医院TEL:0475521781
-
鈴木歯科医院TEL:0475521781
-
鈴木歯科医院TEL:0475521781
問題を報告する
掲載内容に問題がありますか?
こちらのフォームではココシカ!利用規約に違反している可能性のある情報や、
その他の問題がある内容について直接報告することができます。
この機能は、詐欺、スパム、虚偽、不正確であると思われる情報を報告するためのものです。
報告すべき情報の例
- ・差別的または不快感を与えるもの: 性別、年齢、人種、宗教、身体的特徴などに基づく差別が見られるものはこちらに該当します。過度な出血など過激な表現など不適切な内容が含まれる場合も対象です。
- ・虚偽の情報: 何らかの根拠により虚偽が認められる情報が対象です。
- ・不正確な情報: 治療名やリスク、金額、医院情報などに不正確な内容が含まれるものです。多くの場合、これらの問題はココシカ!の掲載基準違反ではありませんが、情報の更新が求められる場合があります。
- ・広告行為: 本サービスの趣旨に反する投稿です。サービス広告、企業やアプリの宣伝、その他問題があると確認された投稿が該当します。
- ・その他: これらのカテゴリーに当てはまらない問題については、[その他] を選択し詳しい情報をご提供ください。
ココシカ!の情報、技術的な問題、医院ページのレビュー、掲載情報に関する問い合わせ、検索結果などに関する一般的な質問、これらの問題に関するお問い合わせは、サポートチームまでご連絡下さい。
| 診療科目 | 一般歯科、予防歯科、小児歯科、審美歯科、矯正歯科、マタニティ歯科、ホワイトニング、インプラント、入れ歯治療、親知らずの治療 |
|---|---|
| 自由診療 | 矯正歯科(ワイヤー矯正・マウスピース矯正)、小児矯正(MFT・MRC矯正・拡大床・ワイヤー矯正)、セラミック治療、ホームホワイトニング、入れ歯治療、インプラント |
| 住所 | 〒283-0801 千葉県東金市八坂台3-1-7 |
| アクセス | JR東金線「東金駅」下車、タクシーでワンメーター |
| 診療時間 | 08:40〜13:00/14:30〜18:00 |
| 休診日 | 木曜 / 日曜 / 祝日 |
| 代表者 | 鈴木 章弘 |
※記載の内容は最新の情報と異なる場合がございます。正確な情報は歯科医院にご確認ください。
この歯科医院の他の症例
NEW CONTENT 新着コンテンツ
-
「第22回 一般社団法人 日本外傷歯学会・総会・学術大会」開幕、リハビリにフォーカスして歯の損失リスク軽減を目指す
2022.8.8 一般歯科
-
クラウド型歯科用レセコン「POWER5G」が口腔内シミュレーションサービス「DMFTシミュレーター」と提携
2022.6.28 予防歯科
-
豪発のブランド「ビーボックス」から歯固め発売、乳幼児でも持ちやすい設計に
2022.6.24 小児歯科
-
韓国発ライフスタイルケアブランド「ソルトレイン」日本初上陸、伊勢丹新宿でポップアップも
2022.6.22 その他
-
デントウェーブ運営の歯科衛生士向けコミュニティ「歯科衛生士のcoe」無料オンラインイベント開催
2022.3.2 その他
-
竹素材のオーガニック歯ブラシ、日本発サステナブランド「ミヨオーガニック」展開
2022.2.17 予防歯科
