- 骨再生
- 歯周病
- 詰め物・被せもの
- セラミック・ジルコニア
- インプラント
- 抜歯
- その他の診療
- レーザー治療
30代女性 歯根が折れた歯を抜き顎の骨を再生させる治療を行ってからインプラントで欠損部位を補った症例


ご相談内容
「右下奥歯の歯茎が腫れて、痛みが出ている」とご相談いただきました。
他院では、痛みが出ている右下奥歯(第1大臼歯)はいずれ抜く必要があると診断されていたものの、インプラント治療を行っていないクリニックだったため、当院に転院された患者様です。
カウンセリング・診断結果
レントゲン撮影をして詳しく確認したところ、右下奥歯の歯根が折れていました。
この状態を放置すると、細菌感染による炎症が進行して歯を支える骨が溶け、隣の歯にも悪影響を与えるおそれがあります。
また、歯周病の検査で歯周ポケットの深さを測定したところ、8mmと深く、重度歯周病の状態です。
以上のことから、歯根が折れて重度歯周病を発症している歯を抜き、抜歯後に歯を補う治療が必要だと診断しました。
行ったご提案・治療内容
患者様には右下奥歯を抜く必要があることをお伝えし、同意いただきました。
抜歯後の欠損部分を補う方法として、以下の3つを提案しています。
①両隣の歯を土台にして、橋を渡すように被せ物をするブリッジ
メリット:固定式のため、取り外して管理をする手間がない
デメリット:土台となる両隣の歯を削る必要がある
②人工歯根を顎の骨に埋め込み、その上から歯を取り付けるインプラント
メリット:抜歯部位のみを治療できる。自然な噛み心地が期待できる
デメリット:外科処置が必要なため治療期間が長い。自費診療なので比較的費用がかかる
③部分入れ歯
メリット:保険診療なので費用が抑えられる。治療期間も比較的短い
デメリット:取り外し式なので、洗浄などの管理が必要になる。噛み心地は自分の歯に比べると劣る
それぞれのメリットとデメリットを丁寧に説明したところ、患者様はブリッジとインプラントで悩まれていましたが、ブリッジは健康な歯を削らなければならないことがネックとなり、最終的に②のインプラント治療を選択されました。
治療に先立ち、歯周病の影響で歯の周囲の骨が溶けていることが予測されたので、術前にCT撮影を行います。
予想どおり、歯の周囲の骨が溶ける重度の骨吸収が認められました。そこで、抜歯と同時に骨補填剤を使用して顎の骨の再生を促す「GBR法」を用いて、インプラント治療に必要な骨量を確保するための「骨造成」を実施したうえで、インプラントを埋入する計画を患者様に提案しました。
骨補填剤とは、骨の欠損部を再建するために使用する歯科材料のことです。
患者様は、骨を再生させるための時間を含めると治療期間が長くなることに驚かれましたが、治療方法を十分ご理解いただき、同意いただいています。
まず、右下奥歯1本を抜くと同時にGBR法を実施しました。
抜歯後は、エルビウムヤグレーザー(モリタ社製)を使用して、取り残しがないよう丁寧に感染組織を除去します。続いて、骨補填剤の充填と、骨の再生を促すスペースの確保を行い、外部からの刺激や異物の混入を遮断する遮断膜を用いて縫合し、GBR法を終了しました。
術後の経過は良好で、骨の再生を確認できたため、GBR法の実施から約6ヶ月後にインプラントを埋入する手術を行いました。インプラントは、ストローマン社製のBLX4.0×8mmを使用しています。
インプラントの埋入手術から約2ヶ月後、インプラントの上に装着する被せ物を作製するために、口腔内スキャナー(3shape TRIOS4)を用いて口腔内の3Dデータを取得する光学印象を行いました。
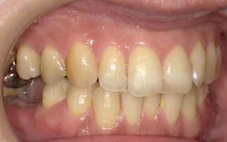
後日、完成した被せ物を装着し、治療を終了しています。
被せ物は、高い強度と耐久性を持ち、審美性にも優れているジルコニアクラウンを採用しました。
現在は、定期的なメンテナンスで通院いただいており、口腔内を健康に保つプラークコントロールも良好です。
この治療のリスクについて
・外科処置後に腫れ、出血が続く場合があります
・持病をお持ちの方や、服用中のお薬の種類によっては、外科処置ができない場合があります
・メンテナンスを怠ったり、喫煙したりすると、お口の中に大きな悪影響を及ぼし、インプラント周囲炎などにかかる可能性があります
・糖尿病、肝硬変、心臓病などの持病をお持ちの場合、インプラント治療ができない可能性があります
・自費診療(保険適用外治療)です
・硬い素材の場合、他の天然歯を傷つけることがあります
- 年齢・性別 30代女性
- 診療種別 自由診療
- 治療期間の目安 約9ヶ月
- 治療回数の目安 -
- 治療費総額の目安 約480,000円
※掲載された情報は治療の効果を保証するものではありません。
ご利用により万一何らかの損害が発生したとしても、当サイトは一切責任を負いかねますのでご了承ください。
画像をクリックすると拡大・詳細コメントを確認いただけます
-
菊地歯科医院TEL:0337341055
-
菊地歯科医院TEL:0337341055
-
菊地歯科医院TEL:0337341055
-
菊地歯科医院TEL:0337341055
-
菊地歯科医院TEL:0337341055
-
菊地歯科医院TEL:0337341055
-
菊地歯科医院TEL:0337341055
-
菊地歯科医院TEL:0337341055
-
菊地歯科医院TEL:0337341055
-
菊地歯科医院TEL:0337341055
-
菊地歯科医院TEL:0337341055
-
菊地歯科医院TEL:0337341055
-
菊地歯科医院TEL:0337341055
-
菊地歯科医院TEL:0337341055
-
菊地歯科医院TEL:0337341055
-
菊地歯科医院TEL:0337341055
-
菊地歯科医院TEL:0337341055
-
菊地歯科医院TEL:0337341055
-
菊地歯科医院TEL:0337341055
-
菊地歯科医院TEL:0337341055
-
菊地歯科医院TEL:0337341055



















問題を報告する
掲載内容に問題がありますか?
こちらのフォームではココシカ!利用規約に違反している可能性のある情報や、
その他の問題がある内容について直接報告することができます。
この機能は、詐欺、スパム、虚偽、不正確であると思われる情報を報告するためのものです。
報告すべき情報の例
- ・差別的または不快感を与えるもの: 性別、年齢、人種、宗教、身体的特徴などに基づく差別が見られるものはこちらに該当します。過度な出血など過激な表現など不適切な内容が含まれる場合も対象です。
- ・虚偽の情報: 何らかの根拠により虚偽が認められる情報が対象です。
- ・不正確な情報: 治療名やリスク、金額、医院情報などに不正確な内容が含まれるものです。多くの場合、これらの問題はココシカ!の掲載基準違反ではありませんが、情報の更新が求められる場合があります。
- ・広告行為: 本サービスの趣旨に反する投稿です。サービス広告、企業やアプリの宣伝、その他問題があると確認された投稿が該当します。
- ・その他: これらのカテゴリーに当てはまらない問題については、[その他] を選択し詳しい情報をご提供ください。
ココシカ!の情報、技術的な問題、医院ページのレビュー、掲載情報に関する問い合わせ、検索結果などに関する一般的な質問、これらの問題に関するお問い合わせは、サポートチームまでご連絡下さい。
診療科目 | 一般歯科、小児歯科、矯正歯科、小児矯正、ホワイトニング、インプラント、詰め物・被せ物 |
---|---|
自由診療 | 虫歯治療、根管治療、ワイヤー矯正、マウスピース矯正、ホームホワイトニング、セラミック・ジルコニア、ブリッジ |
住所 | 〒144-0051 東京都大田区西蒲田7-69-1 東急プラザ蒲田 7F |
アクセス | 蒲田駅 徒歩1分 |
診療時間 | 10:00~13:30 15:00~20:00 |
休診日 | 日曜 祝日 |
代表者 | 菊地 健太郎 |
※記載の内容は最新の情報と異なる場合がございます。正確な情報は歯科医院にご確認ください。
この歯科医院の他の症例
NEW CONTENT 新着コンテンツ
-
「第22回 一般社団法人 日本外傷歯学会・総会・学術大会」開幕、リハビリにフォーカスして歯の損失リスク軽減を目指す
2022.8.8 一般歯科
-
クラウド型歯科用レセコン「POWER5G」が口腔内シミュレーションサービス「DMFTシミュレーター」と提携
2022.6.28 予防歯科
-
豪発のブランド「ビーボックス」から歯固め発売、乳幼児でも持ちやすい設計に
2022.6.24 小児歯科
-
韓国発ライフスタイルケアブランド「ソルトレイン」日本初上陸、伊勢丹新宿でポップアップも
2022.6.22 その他
-
デントウェーブ運営の歯科衛生士向けコミュニティ「歯科衛生士のcoe」無料オンラインイベント開催
2022.3.2 その他
-
竹素材のオーガニック歯ブラシ、日本発サステナブランド「ミヨオーガニック」展開
2022.2.17 予防歯科