- 矯正歯科
- ワイヤー矯正
- 抜歯
10代男性 ワイヤー装置と矯正用のバネを併用するスピード矯正でガタガタした歯並びを整えた症例
ご相談内容
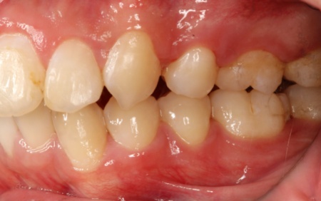
「前歯がガタガタしているのと八重歯が気になり、いままで人前で笑うことが苦手だった。あと歯磨きがしづらくて、口臭もある。成人式までにきれいな歯並びにしたい」とご相談いただきました。
カウンセリング・診断結果
拝見したところ、全体的に歯並びがガタガタと乱れていました。
特に上下の前歯は正常な位置から大きくずれて重なり合って生えており、歯ブラシが当てにくく汚れが溜まりやすいため、歯ぐきの炎症や口臭の原因になっています。
このまま放置すると見た目の問題だけでなく、歯ぐきの炎症が進行して歯の寿命にも影響を及ぼす可能性があるため、歯並びを整える治療が必要と診断しました。
行ったご提案・治療内容
診断結果をお伝えし、歯を正しい位置に動かすスペースを確保するために抜歯が必要なこと、抜歯後に歯の表面に小さな部品を取り付けてワイヤーを通すワイヤー装置とクローズドコイル(矯正用のバネ)を併用するスピード矯正で歯並びを整える方法を提案し、同意いただきました。
クローズドコイルは、バネの収縮力を利用して歯を動かすためワイヤー装置のみの矯正治療と比べて治療期間の短縮が期待できます。
一方で、歯を動かすスピードが早いために痛みを感じやすい点がデメリットです。
まず左右上・左下第1小臼歯と右下側切歯の計4本を抜歯します。
次に、上下の歯にワイヤー装置とクローズドコイルを順次装着し、抜歯によって確保したスペースを利用して歯を動かした結果、成人式までに歯並びを整えることができました。
現在は、歯並びの後戻りを予防するための保定装置を装着いただいています。
この治療のリスクについて
・ワイヤー矯正中、装置によってまれに頬の内側が傷つき、口内炎になる場合があります
・歯の移動に伴って、違和感や痛みを感じる場合があります
・冷たいものを飲んだときに歯がしみる「知覚過敏」の症状が出る場合があります
・正しいブラッシングやメンテナンスを行わない場合、虫歯や歯周病のリスクが高まります
・外科処置後に腫れ、出血が生じる場合があります
・外科処置後に痛みが長引く場合があります。必要に応じ痛み止めを併用します
- 年齢・性別 10代男性
- 診療種別 自由診療
- 治療期間の目安 2年半
- 治療回数の目安 約30回(月1回)
-
治療費総額の目安
935,000円
【内訳】
スピード矯正、保定装置
※掲載された情報は治療の効果を保証するものではありません。
ご利用により万一何らかの損害が発生したとしても、当サイトは一切責任を負いかねますのでご了承ください。
画像をクリックすると拡大・詳細コメントを確認いただけます
-
鈴木歯科医院TEL:0475521781
-
鈴木歯科医院TEL:0475521781
-
鈴木歯科医院TEL:0475521781
-
鈴木歯科医院TEL:0475521781
-
鈴木歯科医院TEL:0475521781
-
鈴木歯科医院TEL:0475521781
-
鈴木歯科医院TEL:0475521781
-
鈴木歯科医院TEL:0475521781
-
鈴木歯科医院TEL:0475521781
-
鈴木歯科医院TEL:0475521781
-
鈴木歯科医院TEL:0475521781
-
鈴木歯科医院TEL:0475521781
-
鈴木歯科医院TEL:0475521781
-
鈴木歯科医院TEL:0475521781
-
鈴木歯科医院TEL:0475521781
-
鈴木歯科医院TEL:0475521781
-
鈴木歯科医院TEL:0475521781 -
鈴木歯科医院TEL:0475521781
-
鈴木歯科医院TEL:0475521781
-
鈴木歯科医院TEL:0475521781 -
鈴木歯科医院TEL:0475521781
問題を報告する
掲載内容に問題がありますか?
こちらのフォームではココシカ!利用規約に違反している可能性のある情報や、
その他の問題がある内容について直接報告することができます。
この機能は、詐欺、スパム、虚偽、不正確であると思われる情報を報告するためのものです。
報告すべき情報の例
- ・差別的または不快感を与えるもの: 性別、年齢、人種、宗教、身体的特徴などに基づく差別が見られるものはこちらに該当します。過度な出血など過激な表現など不適切な内容が含まれる場合も対象です。
- ・虚偽の情報: 何らかの根拠により虚偽が認められる情報が対象です。
- ・不正確な情報: 治療名やリスク、金額、医院情報などに不正確な内容が含まれるものです。多くの場合、これらの問題はココシカ!の掲載基準違反ではありませんが、情報の更新が求められる場合があります。
- ・広告行為: 本サービスの趣旨に反する投稿です。サービス広告、企業やアプリの宣伝、その他問題があると確認された投稿が該当します。
- ・その他: これらのカテゴリーに当てはまらない問題については、[その他] を選択し詳しい情報をご提供ください。
ココシカ!の情報、技術的な問題、医院ページのレビュー、掲載情報に関する問い合わせ、検索結果などに関する一般的な質問、これらの問題に関するお問い合わせは、サポートチームまでご連絡下さい。
| 診療科目 | 一般歯科、予防歯科、小児歯科、審美歯科、矯正歯科、マタニティ歯科、ホワイトニング、インプラント、入れ歯治療、親知らずの治療 |
|---|---|
| 自由診療 | 矯正歯科(ワイヤー矯正・マウスピース矯正)、小児矯正(MFT・MRC矯正・拡大床・ワイヤー矯正)、セラミック治療、ホームホワイトニング、入れ歯治療、インプラント |
| 住所 | 〒283-0801 千葉県東金市八坂台3-1-7 |
| アクセス | JR東金線「東金駅」下車、タクシーでワンメーター |
| 診療時間 | 08:40〜13:00/14:30〜18:00 |
| 休診日 | 木曜 / 日曜 / 祝日 |
| 代表者 | 鈴木 章弘 |
※記載の内容は最新の情報と異なる場合がございます。正確な情報は歯科医院にご確認ください。
この歯科医院の他の症例
NEW CONTENT 新着コンテンツ
-
「第22回 一般社団法人 日本外傷歯学会・総会・学術大会」開幕、リハビリにフォーカスして歯の損失リスク軽減を目指す
2022.8.8 一般歯科
-
クラウド型歯科用レセコン「POWER5G」が口腔内シミュレーションサービス「DMFTシミュレーター」と提携
2022.6.28 予防歯科
-
豪発のブランド「ビーボックス」から歯固め発売、乳幼児でも持ちやすい設計に
2022.6.24 小児歯科
-
韓国発ライフスタイルケアブランド「ソルトレイン」日本初上陸、伊勢丹新宿でポップアップも
2022.6.22 その他
-
デントウェーブ運営の歯科衛生士向けコミュニティ「歯科衛生士のcoe」無料オンラインイベント開催
2022.3.2 その他
-
竹素材のオーガニック歯ブラシ、日本発サステナブランド「ミヨオーガニック」展開
2022.2.17 予防歯科
