- ホワイトニング
- その他の診療
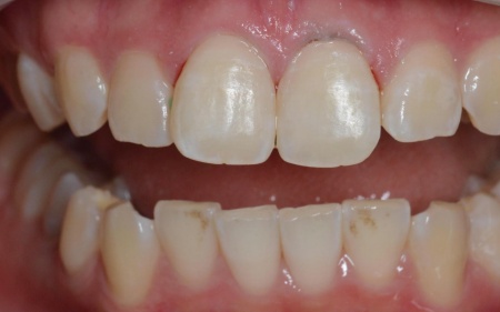
30代女性 上前歯2本のホワイトスポットをIcon治療で目立たなくした症例
ご相談内容
「前歯の白い部分が気になる」とご相談いただきました。
カウンセリング・診断結果
拝見したところ、上前歯2本の表面にホワイトスポットと呼ばれる白い斑点模様が見られました。
ホワイトスポットは、以下の2つが原因として考えられます。
・虫歯の初期段階である
・生まれつき歯の表面を覆っているエナメル質が十分に形成されなかった
仮に虫歯の初期段階だった場合でも、放置したことで進行するおそれはありませんが、患者様は見た目を気にされているため、ホワイトスポットを目立たなくする治療が必要だと診断しました。
行ったご提案・治療内容
ホワイトスポットの治療として、以下3つの方法を提案しました。
①歯の表面に、ホワイトスポット治療用の薬剤であるIconを染み込ませてエナメル質を強化し、ホワイトスポットを目立ちにくくする「Icon(アイコン)治療」
メリット:歯をほぼ削らずに治療ができるため、歯の健康を保ちながら審美性の改善が見込める。比較的短時間で治療ができて痛みも少ないため、患者様の身体的負担を軽減することが可能。エナメル質を補強して酸性になることを防ぐため、ホワイトスポットの再発を防止する効果も期待できる
デメリット:自由診療のため費用がかかる。エナメル質の深部にまでホワイトスポットが及んでいる場合は、完全な解消は難しい
②歯の表面を一層削り、変色しにくい白色の素材であるセラミックの薄いプレートを貼り付ける「ラミネートベニア」
メリット:歯をわずかに削るだけで、自然な白さを長く保つことができる
デメリット:強い力が加わると、貼り付けたセラミックが割れたり剥がれたりするリスクがある。自由診療のため費用がかかる
③ホワイトスポット部分を削り取り、歯科用プラスチックであるコンポジットレジンを盛り付けて修復する「ダイレクトボンディング」
メリット:治療費を抑えることができる
デメリット:健康な歯を多めに削る必要がある。コンポジットレジンは経年劣化しやすい素材のため、ほかの治療方法よりも良好な状態を維持する期間が短くなる
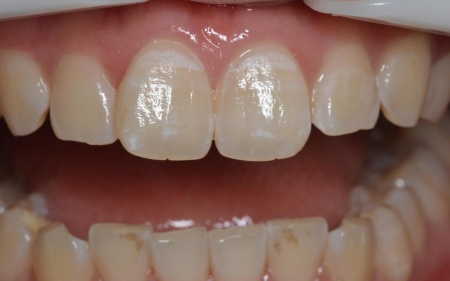
それぞれのメリットとデメリットを丁寧に説明したところ、患者様は歯をほぼ削らずにすむ①のIcon治療を選択されました。
まず、エナメル質の表面にIconを浸透しやすくするための前処理として、専用の歯面処理剤であるアイコンエッチを塗布し、洗浄したあとにしっかりと乾燥させます。
その後、Iconをホワイトスポットに塗ってから特殊な光を照射して硬化させ、表面が滑らかになるように研磨しました。
ホワイトスポットが目立ちにくい状態になったことを確認し、治療を終了しています。
この治療のリスクについて
・治療中、歯にしみるような痛みが出る場合があります
・得られる効果は歯の質により様々です。予定通りの白さに達しない場合もあります
・自費診療(保険適用外治療)です
- 年齢・性別 30代女性
- 診療種別 自由診療
- 治療期間の目安 -
- 治療回数の目安 1回
-
治療費総額の目安
49,500円
(Icon治療2本分)
※掲載された情報は治療の効果を保証するものではありません。
ご利用により万一何らかの損害が発生したとしても、当サイトは一切責任を負いかねますのでご了承ください。
問題を報告する
掲載内容に問題がありますか?
こちらのフォームではココシカ!利用規約に違反している可能性のある情報や、
その他の問題がある内容について直接報告することができます。
この機能は、詐欺、スパム、虚偽、不正確であると思われる情報を報告するためのものです。
報告すべき情報の例
- ・差別的または不快感を与えるもの: 性別、年齢、人種、宗教、身体的特徴などに基づく差別が見られるものはこちらに該当します。過度な出血など過激な表現など不適切な内容が含まれる場合も対象です。
- ・虚偽の情報: 何らかの根拠により虚偽が認められる情報が対象です。
- ・不正確な情報: 治療名やリスク、金額、医院情報などに不正確な内容が含まれるものです。多くの場合、これらの問題はココシカ!の掲載基準違反ではありませんが、情報の更新が求められる場合があります。
- ・広告行為: 本サービスの趣旨に反する投稿です。サービス広告、企業やアプリの宣伝、その他問題があると確認された投稿が該当します。
- ・その他: これらのカテゴリーに当てはまらない問題については、[その他] を選択し詳しい情報をご提供ください。
ココシカ!の情報、技術的な問題、医院ページのレビュー、掲載情報に関する問い合わせ、検索結果などに関する一般的な質問、これらの問題に関するお問い合わせは、サポートチームまでご連絡下さい。
| 診療科目 | 一般歯科、小児歯科、矯正歯科、マタニティ歯科、ホワイトニング |
|---|---|
| 自由診療 | マウスピース矯正(インビザラインGO)、こども予防矯正、歯周内科治療、入れ歯、セラミック治療、ホワイトスポット治療、オフィスホワイトニング、ホームホワイトニング、デュアルホワイトニング、唾液・顕微鏡検査 |
| 住所 | 〒226-0025 横浜市緑区十日市場町849-12 松ビル1F |
| アクセス | JR横浜線「十日市場駅」より徒歩7分 |
| 診療時間 | 【火・水・木・金】 09:30~13:30/15:00~19:30 【土・日】 09:30~13:00/14:00~16:00 |
| 休診日 | 月曜、祝日 |
| 代表者 | 正木 大介 |
※記載の内容は最新の情報と異なる場合がございます。正確な情報は歯科医院にご確認ください。
この歯科医院の他の症例
NEW CONTENT 新着コンテンツ
-
「第22回 一般社団法人 日本外傷歯学会・総会・学術大会」開幕、リハビリにフォーカスして歯の損失リスク軽減を目指す
2022.8.8 一般歯科
-
クラウド型歯科用レセコン「POWER5G」が口腔内シミュレーションサービス「DMFTシミュレーター」と提携
2022.6.28 予防歯科
-
豪発のブランド「ビーボックス」から歯固め発売、乳幼児でも持ちやすい設計に
2022.6.24 小児歯科
-
韓国発ライフスタイルケアブランド「ソルトレイン」日本初上陸、伊勢丹新宿でポップアップも
2022.6.22 その他
-
デントウェーブ運営の歯科衛生士向けコミュニティ「歯科衛生士のcoe」無料オンラインイベント開催
2022.3.2 その他
-
竹素材のオーガニック歯ブラシ、日本発サステナブランド「ミヨオーガニック」展開
2022.2.17 予防歯科
