- ホワイトニング
- その他の診療
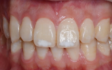
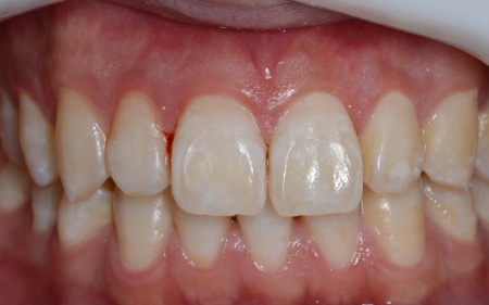
30代男性 前歯の白い斑点にIcon治療を施した症例
ご相談内容
「前歯の白い部分が気になる」とご相談いただきました。
カウンセリング・診断結果
拝見したところ、上の前歯2本に白い斑点が確認できました。
これはホワイトスポットと呼ばれ、歯の表面を覆うエナメル質が部分的に脱灰(ミネラルが溶け出した状態)を起こしたり、歯が作られる過程で形成不全が生じたりすることで現れる白濁です。
ホワイトスポットは見た目に影響するだけでなく、このまま放置するとエナメル質が弱くなり、虫歯へ進行する可能性もあります。
現時点では明らかな虫歯の進行は認められませんでしたが、白濁部分は周囲の歯と比べて透明感が乏しく、審美的に影響が出ています。
患者様も前歯の見た目を気にされていたことから、見た目の改善と虫歯のリスクを抑えるために治療が必要と診断しました。
行ったご提案・治療内容
ホワイトスポットを改善する治療として、以下3つの選択肢を提案しました。
①コンポジットレジンによるダイレクトボンディング
歯科用の樹脂を直接盛り付けて形や色を整える方法。
即日で治療が完了するものの、白濁部分を一部削る必要があり経年的に変色する可能性がある。
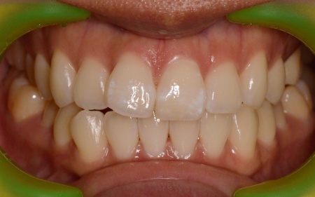
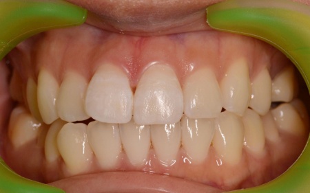
②Icon(アイコン)治療
専用の樹脂をエナメル質内部に浸透させることで、白濁を目立ちにくくする方法。
歯をほとんど削らずに済み痛みがほとんどないものの、白濁の深さや範囲によっては十分な改善が得られない場合がある。
③ラミネートベニア
歯の表面を薄く削り、つけ爪のようにセラミック製のシェルを貼り付ける治療。
高い審美性が期待できますが歯を削る必要があること、強い力がかかると割れたり外れたりすることがある。
それぞれのメリット・デメリットをお伝えしたところ、患者様は「できるだけ歯を削りたくない」との理由から、②Icon治療を選択されました。
併せて、治療内容と考えられるリスクについても十分に説明を行っています。
まず治療部位である上前歯の表面を丁寧にクリーニングし、汚れや付着物を取り除きます。
次にIcon治療専用の酸性薬剤を塗布し、白濁部分のエナメル質表面を慎重に処置しました。
これにより、のちに使用する樹脂が内部まで行き渡りやすい状態に整えています。
その後、Icon専用の低粘度レジン(樹脂)を白濁部に浸透させ、専用の光を当てて硬化させました。
この樹脂がエナメル質の内部に入り込むことで、光の反射が周囲の歯に近づき白濁が目立ちにくくなる効果が期待できます。
最後に痛みや違和感がないこと、見た目が自然であるかをしっかりと確認したうえで、治療を終了しました。
この治療のリスクについて
・治療中、歯にしみるような痛みが出る場合があります
・得られる効果は歯の質により様々です。予定通りの白さに達しない場合もあります
・自費診療(保険適用外治療)です
- 年齢・性別 30代男性
- 診療種別 自由診療
- 治療期間の目安 -
- 治療回数の目安 1回
-
治療費総額の目安
38,500円
(Icon治療2本分)
※掲載された情報は治療の効果を保証するものではありません。
ご利用により万一何らかの損害が発生したとしても、当サイトは一切責任を負いかねますのでご了承ください。
問題を報告する
掲載内容に問題がありますか?
こちらのフォームではココシカ!利用規約に違反している可能性のある情報や、
その他の問題がある内容について直接報告することができます。
この機能は、詐欺、スパム、虚偽、不正確であると思われる情報を報告するためのものです。
報告すべき情報の例
- ・差別的または不快感を与えるもの: 性別、年齢、人種、宗教、身体的特徴などに基づく差別が見られるものはこちらに該当します。過度な出血など過激な表現など不適切な内容が含まれる場合も対象です。
- ・虚偽の情報: 何らかの根拠により虚偽が認められる情報が対象です。
- ・不正確な情報: 治療名やリスク、金額、医院情報などに不正確な内容が含まれるものです。多くの場合、これらの問題はココシカ!の掲載基準違反ではありませんが、情報の更新が求められる場合があります。
- ・広告行為: 本サービスの趣旨に反する投稿です。サービス広告、企業やアプリの宣伝、その他問題があると確認された投稿が該当します。
- ・その他: これらのカテゴリーに当てはまらない問題については、[その他] を選択し詳しい情報をご提供ください。
ココシカ!の情報、技術的な問題、医院ページのレビュー、掲載情報に関する問い合わせ、検索結果などに関する一般的な質問、これらの問題に関するお問い合わせは、サポートチームまでご連絡下さい。
| 診療科目 | 一般歯科、小児歯科、矯正歯科、マタニティ歯科、ホワイトニング |
|---|---|
| 自由診療 | マウスピース矯正(インビザラインGO)、こども予防矯正、歯周内科治療、入れ歯、セラミック治療、ホワイトスポット治療、オフィスホワイトニング、ホームホワイトニング、デュアルホワイトニング、唾液・顕微鏡検査 |
| 住所 | 〒226-0025 横浜市緑区十日市場町849-12 松ビル1F |
| アクセス | JR横浜線「十日市場駅」より徒歩7分 |
| 診療時間 | 【火・水・木・金】 09:30~13:30/15:00~19:30 【土・日】 09:30~13:00/14:00~16:00 |
| 休診日 | 月曜、祝日 |
| 代表者 | 正木 大介 |
※記載の内容は最新の情報と異なる場合がございます。正確な情報は歯科医院にご確認ください。
この歯科医院の他の症例
NEW CONTENT 新着コンテンツ
-
「第22回 一般社団法人 日本外傷歯学会・総会・学術大会」開幕、リハビリにフォーカスして歯の損失リスク軽減を目指す
2022.8.8 一般歯科
-
クラウド型歯科用レセコン「POWER5G」が口腔内シミュレーションサービス「DMFTシミュレーター」と提携
2022.6.28 予防歯科
-
豪発のブランド「ビーボックス」から歯固め発売、乳幼児でも持ちやすい設計に
2022.6.24 小児歯科
-
韓国発ライフスタイルケアブランド「ソルトレイン」日本初上陸、伊勢丹新宿でポップアップも
2022.6.22 その他
-
デントウェーブ運営の歯科衛生士向けコミュニティ「歯科衛生士のcoe」無料オンラインイベント開催
2022.3.2 その他
-
竹素材のオーガニック歯ブラシ、日本発サステナブランド「ミヨオーガニック」展開
2022.2.17 予防歯科
