- セラミック・ジルコニア
60代男性「前歯にひびが入っている」あごの動きを確認する「咬合診断」を行い、摩擦に強く耐久性がある「ジルコニアクラウン」で歯を保護する噛み合わせに改善した症例
ご相談内容
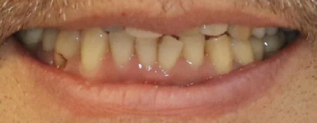
2018年より通院されている患者様から「前歯にひびが入っている」とご相談いただきました。
カウンセリング・診断結果
拝見したところ、左上前歯(側切歯/2番)の被せ物には、噛み合わせや歯ぎしりなどが原因で起こるひび割れ「クラック」が見られました。
奥歯で噛み合わせた時、上の前歯が下の前歯と噛み合っていない部分や、歯の先端同士で噛み合う「切端咬合」が認められました。
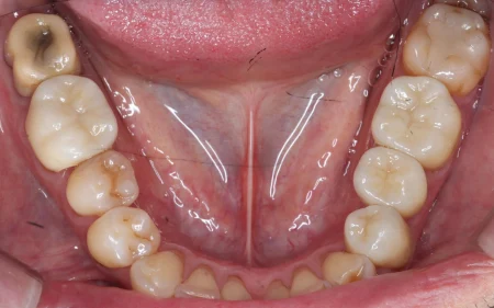
患者様の歯型模型で噛み合わせやあごの動きを確認する「咬合診断」を行った結果、左下の奥歯(第2大臼歯/7番)が下あごを横へ動かす際に誘導する「ガイド」の役割をしていました。
治療後の前歯のひび割れを防ぐためにも、前歯や奥歯の噛み合わせを変える必要があると診断しました。
行ったご提案・治療内容
上下左右前歯(犬歯/3番)でガイドを行う正常な噛み合わせにするために、上左右犬歯は摩擦に強く耐久性がある「ジルコニアクラウン」を装着して噛み合わせを変える治療をご提案しました。
併せて、上前歯4本(中切歯/1番、側切歯)もクラックや噛み合わせの改善のため、同じジルコニアクラウンでの治療をご提案しました。
犬歯でのガイドにすることによって、クラックが入らないように歯を保護できることをご説明し、治療への同意をいただきました。
まず、ジルコニアクラウンを装着する予定の歯を削る「支台形成」を行い、仮歯「テンポラリークラウン(TEC)」を装着しました。
支台形成後は歯型模型を作製し、噛み合わせ・形態・色調を確認するための仮歯「プロビジョナルレストレーション」を装着しました。
何度か調整を重ね、完成したプロビジョナルレストレーションをデジタルスキャンで反映して、ジルコニアクラウンを製作しました。
その後、削った歯の面に細かなパウダーを噴き付けて汚れを落とす「エアーフロー」で清掃し、歯科用セメントにてジルコニアクラウンを装着しました。
この治療のリスクについて
・装着に際し、天然歯を削る必要があります
・硬い素材の場合、他の天然歯を傷つけることがあります
・噛み合わせや歯ぎしりが強い場合、セラミックが割れる可能性があります
・一部の治療を除き、自費診療(保険適用外治療)です
- 年齢・性別 60代男性
- 診療種別 自由診療
- 治療期間の目安 4ヶ月
- 治療回数の目安 -
- 治療費総額の目安 1,292,700円
※掲載された情報は治療の効果を保証するものではありません。
ご利用により万一何らかの損害が発生したとしても、当サイトは一切責任を負いかねますのでご了承ください。
画像をクリックすると拡大・詳細コメントを確認いただけます
-
医療法人社団康歯会 前田歯科医院TEL:0427268021 -
医療法人社団康歯会 前田歯科医院TEL:0427268021 -
医療法人社団康歯会 前田歯科医院TEL:0427268021 -
医療法人社団康歯会 前田歯科医院TEL:0427268021
-
医療法人社団康歯会 前田歯科医院TEL:0427268021
-
医療法人社団康歯会 前田歯科医院TEL:0427268021
-
医療法人社団康歯会 前田歯科医院TEL:0427268021
-
医療法人社団康歯会 前田歯科医院TEL:0427268021
-
医療法人社団康歯会 前田歯科医院TEL:0427268021
-
医療法人社団康歯会 前田歯科医院TEL:0427268021
-
医療法人社団康歯会 前田歯科医院TEL:0427268021 -
医療法人社団康歯会 前田歯科医院TEL:0427268021
画像をクリックすると拡大・詳細コメントを確認いただけます
-
医療法人社団康歯会 前田歯科医院TEL:0427268021 -
医療法人社団康歯会 前田歯科医院TEL:0427268021
-
医療法人社団康歯会 前田歯科医院TEL:0427268021 -
医療法人社団康歯会 前田歯科医院TEL:0427268021
-
医療法人社団康歯会 前田歯科医院TEL:0427268021
-
医療法人社団康歯会 前田歯科医院TEL:0427268021
-
医療法人社団康歯会 前田歯科医院TEL:0427268021 -
医療法人社団康歯会 前田歯科医院TEL:0427268021
-
医療法人社団康歯会 前田歯科医院TEL:0427268021
問題を報告する
掲載内容に問題がありますか?
こちらのフォームではココシカ!利用規約に違反している可能性のある情報や、
その他の問題がある内容について直接報告することができます。
この機能は、詐欺、スパム、虚偽、不正確であると思われる情報を報告するためのものです。
報告すべき情報の例
- ・差別的または不快感を与えるもの: 性別、年齢、人種、宗教、身体的特徴などに基づく差別が見られるものはこちらに該当します。過度な出血など過激な表現など不適切な内容が含まれる場合も対象です。
- ・虚偽の情報: 何らかの根拠により虚偽が認められる情報が対象です。
- ・不正確な情報: 治療名やリスク、金額、医院情報などに不正確な内容が含まれるものです。多くの場合、これらの問題はココシカ!の掲載基準違反ではありませんが、情報の更新が求められる場合があります。
- ・広告行為: 本サービスの趣旨に反する投稿です。サービス広告、企業やアプリの宣伝、その他問題があると確認された投稿が該当します。
- ・その他: これらのカテゴリーに当てはまらない問題については、[その他] を選択し詳しい情報をご提供ください。
ココシカ!の情報、技術的な問題、医院ページのレビュー、掲載情報に関する問い合わせ、検索結果などに関する一般的な質問、これらの問題に関するお問い合わせは、サポートチームまでご連絡下さい。
| 診療科目 | 一般歯科、口腔外科、歯周病治療と予防、根管治療、ブリッジ・入れ歯・インプラント、ホワイトニング |
|---|---|
| 自由診療 | 専門医による根管治療、入れ歯、インプラント、ブリッジ、オフィスホワイトニング、ホームホワイトニング |
| 住所 | 〒194-0013 東京都町田市原町田6-26-11 岡本ビル2F |
| アクセス | ・JR横浜線「町田駅」から徒歩4分 ・小田急線「町田駅」から徒歩4分 |
| 診療時間 | 09:30〜12:30/14:00〜17:00 |
| 休診日 | 月曜・日曜・祝日 |
| 代表者 | 前田一義 |
※記載の内容は最新の情報と異なる場合がございます。正確な情報は歯科医院にご確認ください。
この歯科医院の他の症例
NEW CONTENT 新着コンテンツ
-
「第22回 一般社団法人 日本外傷歯学会・総会・学術大会」開幕、リハビリにフォーカスして歯の損失リスク軽減を目指す
2022.8.8 一般歯科
-
クラウド型歯科用レセコン「POWER5G」が口腔内シミュレーションサービス「DMFTシミュレーター」と提携
2022.6.28 予防歯科
-
豪発のブランド「ビーボックス」から歯固め発売、乳幼児でも持ちやすい設計に
2022.6.24 小児歯科
-
韓国発ライフスタイルケアブランド「ソルトレイン」日本初上陸、伊勢丹新宿でポップアップも
2022.6.22 その他
-
デントウェーブ運営の歯科衛生士向けコミュニティ「歯科衛生士のcoe」無料オンラインイベント開催
2022.3.2 その他
-
竹素材のオーガニック歯ブラシ、日本発サステナブランド「ミヨオーガニック」展開
2022.2.17 予防歯科
