- 虫歯
- コンポジットレジン
- 詰め物・被せもの
20代男性 左下奥歯の虫歯を除去し保険診療のコンポジットレジンで修復した症例
ご相談内容
「左下奥歯が黒い気がする。痛みはないが、気になるので診てほしい」とご相談いただきました。
カウンセリング・診断結果
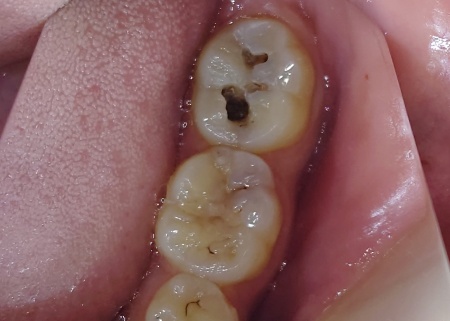
拝見したところ、左下奥歯の表面に黒い変色が見られたため、詳しく検査を行った結果、虫歯であることがわかりました。
痛みはないとのことでしたが、虫歯は必ずしも痛みを伴うとは限らず、症状がない段階でも歯の内部で進行していることがあります。
このまま放置すると、虫歯が進行して歯の神経にまで達し、強い痛みが出たり歯の神経を除去しなければならなくなったりするリスクがあります。
以上のことから、早期の治療が必要だと診断しました。
行ったご提案・治療内容
診断結果をお伝えしたうえで、虫歯を除去したあとに歯科用の白いプラスチックの詰め物「コンポジットレジン」で修復する治療を提案し、同意いただきました。
コンポジットレジンは、歯を削った部分に直接材料を詰めて固める治療方法です。
メリット
・保険診療内の治療なので、費用を抑えられる
・歯の色に近く、自然な見た目に仕上がる
デメリット
・歯の状態によっては、色調が完全に一致しない場合がある
・経年劣化で、変色や摩耗のリスクがある
まず、虫歯部分を丁寧に除去します。
その際、黒く変色している部分を慎重に確認しながら進めましたが、一部は表面が滑らかで硬い状態であったため、細菌感染が及んでいないと判断し、削らずに残しました。
削らずに残した部分はやや黒ずんでいるため、コンポジットレジンの色合いと差が生じるおそれがあります。この点については、患者様に了承いただきました。
続いて、削った部分にコンポジットレジンを詰め、周囲の歯となじむように形や噛み合わせを整えます。
最後に、見た目や噛み合わせに問題がないことを確認し、治療を終了しました。
この治療のリスクについて
・治療中に痛みを伴う場合があります
・治療後に正しい歯磨きやメンテナンスを怠ると、虫歯が再発する場合があります
・治療後は神経が過敏になっているため、痛みが生じる場合があります
- 年齢・性別 20代男性
- 診療種別 保険治療
- 治療期間の目安 -
- 治療回数の目安 1回
- 治療費総額の目安 保険治療内
※掲載された情報は治療の効果を保証するものではありません。
ご利用により万一何らかの損害が発生したとしても、当サイトは一切責任を負いかねますのでご了承ください。
画像をクリックすると拡大・詳細コメントを確認いただけます
-
エスペレ歯科・ホープデンタルクリニックTEL:0484624183
-
エスペレ歯科・ホープデンタルクリニックTEL:0484624183
-
エスペレ歯科・ホープデンタルクリニックTEL:0484624183
画像をクリックすると拡大・詳細コメントを確認いただけます
問題を報告する
掲載内容に問題がありますか?
こちらのフォームではココシカ!利用規約に違反している可能性のある情報や、
その他の問題がある内容について直接報告することができます。
この機能は、詐欺、スパム、虚偽、不正確であると思われる情報を報告するためのものです。
報告すべき情報の例
- ・差別的または不快感を与えるもの: 性別、年齢、人種、宗教、身体的特徴などに基づく差別が見られるものはこちらに該当します。過度な出血など過激な表現など不適切な内容が含まれる場合も対象です。
- ・虚偽の情報: 何らかの根拠により虚偽が認められる情報が対象です。
- ・不正確な情報: 治療名やリスク、金額、医院情報などに不正確な内容が含まれるものです。多くの場合、これらの問題はココシカ!の掲載基準違反ではありませんが、情報の更新が求められる場合があります。
- ・広告行為: 本サービスの趣旨に反する投稿です。サービス広告、企業やアプリの宣伝、その他問題があると確認された投稿が該当します。
- ・その他: これらのカテゴリーに当てはまらない問題については、[その他] を選択し詳しい情報をご提供ください。
ココシカ!の情報、技術的な問題、医院ページのレビュー、掲載情報に関する問い合わせ、検索結果などに関する一般的な質問、これらの問題に関するお問い合わせは、サポートチームまでご連絡下さい。
| 診療科目 | 一般歯科、矯正歯科、小児矯正、インプラント |
|---|---|
| 自由診療 | ワイヤー矯正、マウスピース矯正,かみ合わせ治療 |
| 住所 | 〒351-0007 埼玉県朝霞市岡1-17-18 |
| アクセス | 東武東上線 朝霞駅 徒歩12分 |
| 診療時間 | 09:30~12:30 14:00~18:00 |
| 休診日 | 木曜 日曜 祝祭日 |
| 代表者 | 山田敏秀 |
※記載の内容は最新の情報と異なる場合がございます。正確な情報は歯科医院にご確認ください。
この歯科医院の他の症例
NEW CONTENT 新着コンテンツ
-
「第22回 一般社団法人 日本外傷歯学会・総会・学術大会」開幕、リハビリにフォーカスして歯の損失リスク軽減を目指す
2022.8.8 一般歯科
-
クラウド型歯科用レセコン「POWER5G」が口腔内シミュレーションサービス「DMFTシミュレーター」と提携
2022.6.28 予防歯科
-
豪発のブランド「ビーボックス」から歯固め発売、乳幼児でも持ちやすい設計に
2022.6.24 小児歯科
-
韓国発ライフスタイルケアブランド「ソルトレイン」日本初上陸、伊勢丹新宿でポップアップも
2022.6.22 その他
-
デントウェーブ運営の歯科衛生士向けコミュニティ「歯科衛生士のcoe」無料オンラインイベント開催
2022.3.2 その他
-
竹素材のオーガニック歯ブラシ、日本発サステナブランド「ミヨオーガニック」展開
2022.2.17 予防歯科
