- 口腔筋トレーニング(MFT)
- 小児矯正
- マウスピース矯正
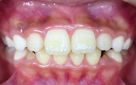
4歳女の子 歯並びを広げる装置とマウスピース型矯正装置を併用して左前歯のクロスバイトを改善した症例
ご相談内容
「歯並びと噛み合わせが左右で違うように見える」とご相談いただきました。
カウンセリング・診断結果
拝見したところ、左前歯に上下の噛み合わせが逆になっているクロスバイトが見られました。
本来、正常な噛み合わせでは上の歯が下の歯に覆いかぶさる形になりますが、今回のケースでは左前歯の下の歯が上の歯よりも外側に出ていました。
このまま成長した場合、見た目の問題だけでなく歯ブラシの当てにくさから虫歯や歯ぐきの炎症が起こりやすくなる可能性があります。
また噛み合わせのずれが続くとあごの成長に左右差が生じたり、お顔のバランスに影響が出たりすることも考えられます。
以上を踏まえ、成長期である今のタイミングで歯並びと噛み合わせを整える矯正治療を行うことが望ましいと診断しました。
行ったご提案・治療内容
クロスバイトを改善するため、まずは上あごの歯並びの幅を広げ十分なスペースを確保します。
上あごの幅を広げる方法はいくつかありますが、今回は「可撤式床装置(かてつしきしょうそうち)」をおすすめしました。
可撤式床装置は成長の力を利用しながら歯並びの幅を無理なく広げることができ、取り外して清掃できるためお口の中を清潔に保ちやすいのがメリットです。
一方で、決められた装着時間を守らないと十分な効果が得られない可能性があります。
歯並びの幅を広げたあと、お口まわりの筋肉バランスや舌の使い方を整えるマウスピース型装置「T4Kトレーナー」を装着します。
T4Kトレーナーは歯を強い力で直接動かすのではなく、舌が正しい位置にくるよう促したり口呼吸を改善したりするアプローチを行い、唇や頬の筋肉のバランスを整えることを目的としています。
これによりあごの正常な発育を促し、将来、永久歯が正しく並ぶための土台づくりを目指します。
ただし1日一定時間以上の装着が必要となるため、ご本人やご家族のご協力が重要です。
それぞれの治療方法について丁寧に説明し、治療に同意いただきました。
まず上あごの歯並びの幅を広げるため、取り外し式の可撤式床装置を作製し装着します。
定期的に通院していただきながら装置の調整を行い、歯並びの広がりや噛み合わせの変化を確認していきました。
歯並びの幅がある程度広がった段階で、T4Kトレーナーの使用をスタートします。
日中および就寝時の装着についてお伝えし、装着状況と口腔内の状態を確認しながら定期的に通院していただきました。
治療の途中経過はこちら:https://coco-sika.com/case/54886/
現在は整った歯並びとあごの健やかな発育を維持することを目的に、主に就寝時にT4Kトレーナーを使用していただいています。
引き続き定期的に経過を確認しながら、安定した状態を保てるよう管理を行っています。
この治療のリスクについて
・決められたスケジュールを守らない場合、十分な効果が得られない可能性があります
・マウスピースに対応していない症例の場合、治療が難しい可能性があります
・歯の移動に伴って、痛みや違和感を感じる場合があります
・正しいブラッシングやメンテナンスを行わない場合、虫歯や歯周病のリスクが高まります
- 年齢・性別 4歳女の子
- 診療種別 自由診療
- 治療期間の目安 6年
- 治療回数の目安 -
-
治療費総額の目安
約300,000円
(当初の予定より治療費を抑えられました)
※掲載された情報は治療の効果を保証するものではありません。
ご利用により万一何らかの損害が発生したとしても、当サイトは一切責任を負いかねますのでご了承ください。
画像をクリックすると拡大・詳細コメントを確認いただけます
-
エスペレ歯科・ホープデンタルクリニックTEL:0484624183
-
エスペレ歯科・ホープデンタルクリニックTEL:0484624183
-
エスペレ歯科・ホープデンタルクリニックTEL:0484624183
問題を報告する
掲載内容に問題がありますか?
こちらのフォームではココシカ!利用規約に違反している可能性のある情報や、
その他の問題がある内容について直接報告することができます。
この機能は、詐欺、スパム、虚偽、不正確であると思われる情報を報告するためのものです。
報告すべき情報の例
- ・差別的または不快感を与えるもの: 性別、年齢、人種、宗教、身体的特徴などに基づく差別が見られるものはこちらに該当します。過度な出血など過激な表現など不適切な内容が含まれる場合も対象です。
- ・虚偽の情報: 何らかの根拠により虚偽が認められる情報が対象です。
- ・不正確な情報: 治療名やリスク、金額、医院情報などに不正確な内容が含まれるものです。多くの場合、これらの問題はココシカ!の掲載基準違反ではありませんが、情報の更新が求められる場合があります。
- ・広告行為: 本サービスの趣旨に反する投稿です。サービス広告、企業やアプリの宣伝、その他問題があると確認された投稿が該当します。
- ・その他: これらのカテゴリーに当てはまらない問題については、[その他] を選択し詳しい情報をご提供ください。
ココシカ!の情報、技術的な問題、医院ページのレビュー、掲載情報に関する問い合わせ、検索結果などに関する一般的な質問、これらの問題に関するお問い合わせは、サポートチームまでご連絡下さい。
| 診療科目 | 一般歯科、矯正歯科、小児矯正、インプラント |
|---|---|
| 自由診療 | ワイヤー矯正、マウスピース矯正,かみ合わせ治療 |
| 住所 | 〒351-0007 埼玉県朝霞市岡1-17-18 |
| アクセス | 東武東上線 朝霞駅 徒歩12分 |
| 診療時間 | 09:30~12:30 14:00~18:00 |
| 休診日 | 木曜 日曜 祝祭日 |
| 代表者 | 山田敏秀 |
※記載の内容は最新の情報と異なる場合がございます。正確な情報は歯科医院にご確認ください。
この歯科医院の他の症例
NEW CONTENT 新着コンテンツ
-
「第22回 一般社団法人 日本外傷歯学会・総会・学術大会」開幕、リハビリにフォーカスして歯の損失リスク軽減を目指す
2022.8.8 一般歯科
-
クラウド型歯科用レセコン「POWER5G」が口腔内シミュレーションサービス「DMFTシミュレーター」と提携
2022.6.28 予防歯科
-
豪発のブランド「ビーボックス」から歯固め発売、乳幼児でも持ちやすい設計に
2022.6.24 小児歯科
-
韓国発ライフスタイルケアブランド「ソルトレイン」日本初上陸、伊勢丹新宿でポップアップも
2022.6.22 その他
-
デントウェーブ運営の歯科衛生士向けコミュニティ「歯科衛生士のcoe」無料オンラインイベント開催
2022.3.2 その他
-
竹素材のオーガニック歯ブラシ、日本発サステナブランド「ミヨオーガニック」展開
2022.2.17 予防歯科
