- 歯周病
- ワイヤー矯正
- インプラント
- ブリッジ
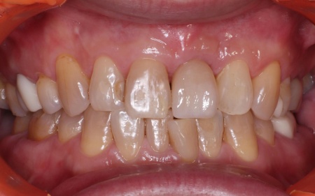
60代女性「一度にすべての歯をきれいにしたい」歯周病や歯の欠損、すきっぱなどを総合的に治療した症例
ご相談内容
「一度にすべての歯をきれいにしたい」とご相談いただきました。
子育てなどで、これまではご自身に時間やお金をかけてこれなかったものの、現在は時間も取れるようになり、ずっと気になっていた歯をこの機会にすべてきれいに治療したいとのことでした。
カウンセリング・診断結果
拝見したところ、部分的に歯周病が確認できました。また、すきっ歯や歯並びがずれている箇所、一部歯がない部分もあり、全体的な治療が必要な状態でした。
行ったご提案・治療内容
今後大規模な処置をしなくて済むように配慮した結果、矯正治療等も組み合わせた総合治療をご提案しました。
歯周病等の基本治療に加え、歯並びを整えるワイヤー矯正、かみ合わせの調整をした上で、欠損していた部分を補うブリッジ治療、インプラントも1箇所行いました。
この治療のポイント
今回のケースでは、60代という患者様のご年齢がポイントでした。人生100年時代と言われ、現代では60代で歯科治療が最後とはなりにくい状況です。
当院では、今後の長期間の予後を考慮した最善の治療をご提案しており、今回は大規模な総合的な治療のご提案となりました。
そのため、治療後は最小限の調整だけで過ごせるような予後をイメージしています。
この治療のリスクについて
・歯の移動は痛みを伴う場合があります。
・矯正治療後は後戻りを起こす場合があります。
・インプラントは外科的処置を伴います。
- 年齢・性別 60代女性
- 診療種別 自由診療
- 治療期間の目安 1年6ヶ月
- 治療回数の目安 -
- 治療費総額の目安 ¥2,000,000
※掲載された情報は治療の効果を保証するものではありません。
ご利用により万一何らかの損害が発生したとしても、当サイトは一切責任を負いかねますのでご了承ください。
画像をクリックすると拡大・詳細コメントを確認いただけます
-
なかむら歯科TEL:0471851235
-
なかむら歯科TEL:0471851235 -
なかむら歯科TEL:0471851235
-
なかむら歯科TEL:0471851235
-
なかむら歯科TEL:0471851235 -
なかむら歯科TEL:0471851235
問題を報告する
掲載内容に問題がありますか?
こちらのフォームではココシカ!利用規約に違反している可能性のある情報や、
その他の問題がある内容について直接報告することができます。
この機能は、詐欺、スパム、虚偽、不正確であると思われる情報を報告するためのものです。
報告すべき情報の例
- ・差別的または不快感を与えるもの: 性別、年齢、人種、宗教、身体的特徴などに基づく差別が見られるものはこちらに該当します。過度な出血など過激な表現など不適切な内容が含まれる場合も対象です。
- ・虚偽の情報: 何らかの根拠により虚偽が認められる情報が対象です。
- ・不正確な情報: 治療名やリスク、金額、医院情報などに不正確な内容が含まれるものです。多くの場合、これらの問題はココシカ!の掲載基準違反ではありませんが、情報の更新が求められる場合があります。
- ・広告行為: 本サービスの趣旨に反する投稿です。サービス広告、企業やアプリの宣伝、その他問題があると確認された投稿が該当します。
- ・その他: これらのカテゴリーに当てはまらない問題については、[その他] を選択し詳しい情報をご提供ください。
ココシカ!の情報、技術的な問題、医院ページのレビュー、掲載情報に関する問い合わせ、検索結果などに関する一般的な質問、これらの問題に関するお問い合わせは、サポートチームまでご連絡下さい。
| 診療科目 | 一般歯科、小児歯科、矯正歯科、小児矯正、入れ歯治療、詰め物・被せ物、歯科口腔外科 |
|---|---|
| 自由診療 | 虫歯治療、根管治療、ワイヤー矯正、セラミック・ジルコニア、ブリッジ、親知らず |
| 住所 | 〒270-1166 千葉県我孫子市我孫子4-2-12 |
| アクセス | JR常磐線・千代田線 我孫子駅 徒歩3分 |
| 診療時間 | 9:00~13:00 15:00~18:00 |
| 休診日 | 月曜 日曜 祝日 |
| 代表者 | 神山 洋介 |
※記載の内容は最新の情報と異なる場合がございます。正確な情報は歯科医院にご確認ください。
この歯科医院の他の症例
NEW CONTENT 新着コンテンツ
-
「第22回 一般社団法人 日本外傷歯学会・総会・学術大会」開幕、リハビリにフォーカスして歯の損失リスク軽減を目指す
2022.8.8 一般歯科
-
クラウド型歯科用レセコン「POWER5G」が口腔内シミュレーションサービス「DMFTシミュレーター」と提携
2022.6.28 予防歯科
-
豪発のブランド「ビーボックス」から歯固め発売、乳幼児でも持ちやすい設計に
2022.6.24 小児歯科
-
韓国発ライフスタイルケアブランド「ソルトレイン」日本初上陸、伊勢丹新宿でポップアップも
2022.6.22 その他
-
デントウェーブ運営の歯科衛生士向けコミュニティ「歯科衛生士のcoe」無料オンラインイベント開催
2022.3.2 その他
-
竹素材のオーガニック歯ブラシ、日本発サステナブランド「ミヨオーガニック」展開
2022.2.17 予防歯科
