- 矯正歯科
- マウスピース矯正
40代女性 乱れた歯並びをマウスピース矯正で改善した症例
ご相談内容
「とくに生活には支障はないものの思春期の頃から歯並びが気になっていた。これまで相談できずにいたが、勇気を出して来院した」とご相談いただきました。
カウンセリング・診断結果
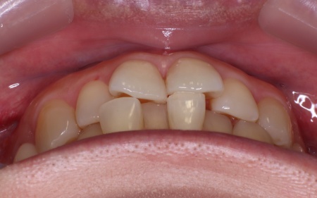
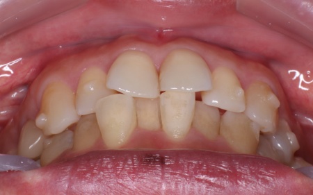
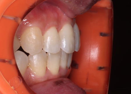
拝見したところ、全体的に歯がねじれたりずれたりしてデコボコに生えていました。
そのため笑ったときの見た目に影響が出ているだけでなく、噛み合わせのバランスも乱れています。
噛み合わせが悪い状態が続くと一部の歯に過度な負担がかかり、歯の表面が削れたり割れたりするリスクや、歯ぐきの炎症を引き起こすおそれがあります。
以上のことから、全体の矯正治療を行うことによって見た目だけでなく噛み合わせの改善も期待できると診断しました。
行ったご提案・治療内容
矯正治療では、歯を動かすためのスペースを確保する必要があります。
成長期の子どもの場合はあごの成長を利用してスペースを確保する方法がありますが、患者様は成人のためあごの成長は期待できません。
そこで、歯を数本抜いてスペースを確保してから歯を動かす矯正治療を提案しました。
しかし患者様から「抜歯はできるだけ避けたい」との希望があったため、代替案として歯と歯の間をごくわずかに削ってスペースを確保して歯を動かす方法を提案し、同意いただきました。
また歯を動かす装置には、取り外し式のマウスピース型矯正装置であるインビザラインコンプリヘンシブパッケージを選択しています。
インビザラインコンプリヘンシブパッケージのメリット・デメリット
メリット:透明なプラスチック製で目立ちにくい。食事や歯磨きなどの際に取り外せるため、口腔内や装置を衛生的に保つことができる
デメリット:マウスピースの装着時間や交換を自己管理する必要があり、スケジュールを守らなかった場合、治療効果が出なかったり治療期間が長引いたりする可能性がある
まず患者様専用のマウスピースを作製し、1日に一定時間使用していただくよう指導しました。
併せて歯をスムーズに動かすため、マウスピースの使用時間はできるだけ長くするようお伝えしています。
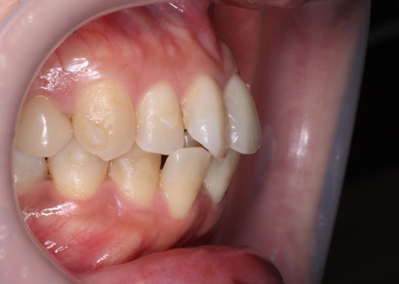
その後、マウスピースを定期的に新しいものに交換しながら歯を動かし、歯並びや噛み合わせを少しずつ整えました。
治療中は虫歯や歯周病のリスクを低減させるため、歯みがきの際にデンタルフロスとマウスウォッシュを併用していただきました。
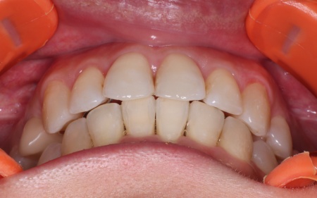
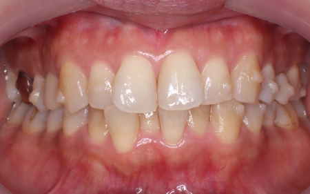
マウスピースの装着時間や交換時期をしっかりと守っていただいた結果、歯並びと噛み合わせが改善したことが確認できたため、治療を終了しています。
この治療のリスクについて
・決められたスケジュールを守らない場合、十分な効果が得られない可能性があります
・マウスピースに対応していない症例の場合、治療が難しい可能性があります
・歯の移動に伴って、痛みや違和感を感じる場合があります
・正しいブラッシングやメンテナンスを行わない場合、虫歯や歯周病のリスクが高まります
- 年齢・性別 40代女性
- 診療種別 自由診療
- 治療期間の目安 1年
- 治療回数の目安 -
- 治療費総額の目安 910,000円
※掲載された情報は治療の効果を保証するものではありません。
ご利用により万一何らかの損害が発生したとしても、当サイトは一切責任を負いかねますのでご了承ください。
画像をクリックすると拡大・詳細コメントを確認いただけます
-
なかむら歯科TEL:0471851235
-
なかむら歯科TEL:0471851235
-
なかむら歯科TEL:0471851235
-
なかむら歯科TEL:0471851235
-
なかむら歯科TEL:0471851235
-
なかむら歯科TEL:0471851235
-
なかむら歯科TEL:0471851235
-
なかむら歯科TEL:0471851235
-
なかむら歯科TEL:0471851235
問題を報告する
掲載内容に問題がありますか?
こちらのフォームではココシカ!利用規約に違反している可能性のある情報や、
その他の問題がある内容について直接報告することができます。
この機能は、詐欺、スパム、虚偽、不正確であると思われる情報を報告するためのものです。
報告すべき情報の例
- ・差別的または不快感を与えるもの: 性別、年齢、人種、宗教、身体的特徴などに基づく差別が見られるものはこちらに該当します。過度な出血など過激な表現など不適切な内容が含まれる場合も対象です。
- ・虚偽の情報: 何らかの根拠により虚偽が認められる情報が対象です。
- ・不正確な情報: 治療名やリスク、金額、医院情報などに不正確な内容が含まれるものです。多くの場合、これらの問題はココシカ!の掲載基準違反ではありませんが、情報の更新が求められる場合があります。
- ・広告行為: 本サービスの趣旨に反する投稿です。サービス広告、企業やアプリの宣伝、その他問題があると確認された投稿が該当します。
- ・その他: これらのカテゴリーに当てはまらない問題については、[その他] を選択し詳しい情報をご提供ください。
ココシカ!の情報、技術的な問題、医院ページのレビュー、掲載情報に関する問い合わせ、検索結果などに関する一般的な質問、これらの問題に関するお問い合わせは、サポートチームまでご連絡下さい。
| 診療科目 | 一般歯科、小児歯科、矯正歯科、小児矯正、入れ歯治療、詰め物・被せ物、歯科口腔外科 |
|---|---|
| 自由診療 | 虫歯治療、根管治療、ワイヤー矯正、セラミック・ジルコニア、ブリッジ、親知らず |
| 住所 | 〒270-1166 千葉県我孫子市我孫子4-2-12 |
| アクセス | JR常磐線・千代田線 我孫子駅 徒歩3分 |
| 診療時間 | 9:00~13:00 15:00~18:00 |
| 休診日 | 月曜 日曜 祝日 |
| 代表者 | 神山 洋介 |
※記載の内容は最新の情報と異なる場合がございます。正確な情報は歯科医院にご確認ください。
この歯科医院の他の症例
NEW CONTENT 新着コンテンツ
-
「第22回 一般社団法人 日本外傷歯学会・総会・学術大会」開幕、リハビリにフォーカスして歯の損失リスク軽減を目指す
2022.8.8 一般歯科
-
クラウド型歯科用レセコン「POWER5G」が口腔内シミュレーションサービス「DMFTシミュレーター」と提携
2022.6.28 予防歯科
-
豪発のブランド「ビーボックス」から歯固め発売、乳幼児でも持ちやすい設計に
2022.6.24 小児歯科
-
韓国発ライフスタイルケアブランド「ソルトレイン」日本初上陸、伊勢丹新宿でポップアップも
2022.6.22 その他
-
デントウェーブ運営の歯科衛生士向けコミュニティ「歯科衛生士のcoe」無料オンラインイベント開催
2022.3.2 その他
-
竹素材のオーガニック歯ブラシ、日本発サステナブランド「ミヨオーガニック」展開
2022.2.17 予防歯科
