- コンポジットレジン
- 詰め物・被せもの
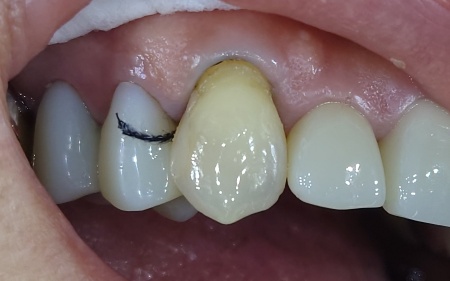
50代女性 右上前歯の詰め物を除去し新しいコンポジットレジンに交換した症例
ご相談内容
「右上の糸切歯が汚くなってきた」とご相談いただきました。
カウンセリング・診断結果
拝見したところ、右上の糸切り歯(犬歯)の歯と歯ぐきの境目付近に、以前の治療で装着した歯科用の白い樹脂の詰め物(コンポジットレジン)が見られました。
ただ詰め物の周囲に段差とわずかな隙間ができており、そこに汚れや着色が入り込んでいる状態です。
コンポジットレジンは時間が経つにつれて劣化しやすい材質のため、このように詰め物との境目が合わなくなることがあります。
このまま放置すると隙間から内部に虫歯菌が入り込み、歯の内側で虫歯が進行するおそれがあります。
また段差部分は歯ブラシが届きにくく、歯ぐきの炎症や歯周病の原因につながる可能性も否定できません。
以上のことから、見た目の問題だけでなく清掃のしやすさや将来的な歯の健康を考えても、詰め物を再治療する必要があると診断しました。
行ったご提案・治療内容
古い詰め物の劣化と着色を改善するためコンポジットレジンを詰め直すことを提案し、同意いただきました。
コンポジットレジンは、周囲の歯になじみやすく見た目を自然に整えられる材料で、1回の治療で完了することが多い点がメリットです。
一方で材質の特性から時間の経過とともに変色や劣化が生じるため、良い状態を保つには定期的なチェックとメンテナンスが必要であることも併せて説明しています。
まず、健康な歯を過度に削らないよう細心の注意を払いながら劣化しているコンポジットレジンを丁寧に除去し、同時に周囲の着色や汚れも取り除きます。
続いて歯の表面に接着力を高める薬剤(エッチング材)を塗布し、新しいコンポジットレジンがしっかり接着するよう下準備を行いました。
その後、歯の色に合わせたコンポジットレジンを慎重に盛りつけ、形を整えながら光照射によって硬化させています。
最後に、表面の微調整と研磨を行い自然な艶が出るよう仕上げ、噛み合わせと見た目に問題がないことを確認したうえで、治療を終了しました。
この治療のリスクについて
・治療中に痛みを伴う場合があります
・治療後に正しい歯磨きやメンテナンスを怠ると、虫歯が再発する場合があります
・治療後は神経が過敏になっているため、痛みが生じる場合があります
・強い力や衝撃が加わった場合、割れたり欠けたりする可能性があります
・広範囲にわたって修復が必要な場合は、適用できない可能性があります
- 年齢・性別 50代女性
- 診療種別 保険診療
- 治療期間の目安 -
- 治療回数の目安 1回
- 治療費総額の目安 保険診療内
※掲載された情報は治療の効果を保証するものではありません。
ご利用により万一何らかの損害が発生したとしても、当サイトは一切責任を負いかねますのでご了承ください。
画像をクリックすると拡大・詳細コメントを確認いただけます
-
エスペレ歯科・ホープデンタルクリニックTEL:0484624183
-
エスペレ歯科・ホープデンタルクリニックTEL:0484624183
-
エスペレ歯科・ホープデンタルクリニックTEL:0484624183
問題を報告する
掲載内容に問題がありますか?
こちらのフォームではココシカ!利用規約に違反している可能性のある情報や、
その他の問題がある内容について直接報告することができます。
この機能は、詐欺、スパム、虚偽、不正確であると思われる情報を報告するためのものです。
報告すべき情報の例
- ・差別的または不快感を与えるもの: 性別、年齢、人種、宗教、身体的特徴などに基づく差別が見られるものはこちらに該当します。過度な出血など過激な表現など不適切な内容が含まれる場合も対象です。
- ・虚偽の情報: 何らかの根拠により虚偽が認められる情報が対象です。
- ・不正確な情報: 治療名やリスク、金額、医院情報などに不正確な内容が含まれるものです。多くの場合、これらの問題はココシカ!の掲載基準違反ではありませんが、情報の更新が求められる場合があります。
- ・広告行為: 本サービスの趣旨に反する投稿です。サービス広告、企業やアプリの宣伝、その他問題があると確認された投稿が該当します。
- ・その他: これらのカテゴリーに当てはまらない問題については、[その他] を選択し詳しい情報をご提供ください。
ココシカ!の情報、技術的な問題、医院ページのレビュー、掲載情報に関する問い合わせ、検索結果などに関する一般的な質問、これらの問題に関するお問い合わせは、サポートチームまでご連絡下さい。
| 診療科目 | 一般歯科、矯正歯科、小児矯正、インプラント |
|---|---|
| 自由診療 | ワイヤー矯正、マウスピース矯正,かみ合わせ治療 |
| 住所 | 〒351-0007 埼玉県朝霞市岡1-17-18 |
| アクセス | 東武東上線 朝霞駅 徒歩12分 |
| 診療時間 | 09:30~12:30 14:00~18:00 |
| 休診日 | 木曜 日曜 祝祭日 |
| 代表者 | 山田敏秀 |
※記載の内容は最新の情報と異なる場合がございます。正確な情報は歯科医院にご確認ください。
この歯科医院の他の症例
NEW CONTENT 新着コンテンツ
-
「第22回 一般社団法人 日本外傷歯学会・総会・学術大会」開幕、リハビリにフォーカスして歯の損失リスク軽減を目指す
2022.8.8 一般歯科
-
クラウド型歯科用レセコン「POWER5G」が口腔内シミュレーションサービス「DMFTシミュレーター」と提携
2022.6.28 予防歯科
-
豪発のブランド「ビーボックス」から歯固め発売、乳幼児でも持ちやすい設計に
2022.6.24 小児歯科
-
韓国発ライフスタイルケアブランド「ソルトレイン」日本初上陸、伊勢丹新宿でポップアップも
2022.6.22 その他
-
デントウェーブ運営の歯科衛生士向けコミュニティ「歯科衛生士のcoe」無料オンラインイベント開催
2022.3.2 その他
-
竹素材のオーガニック歯ブラシ、日本発サステナブランド「ミヨオーガニック」展開
2022.2.17 予防歯科
