- 虫歯
- 詰め物・被せもの
- セラミック・ジルコニア
30代女性 左上奥歯の虫歯を除去してE-MAXインレーで修復した症例
ご相談内容
「左上奥歯がしみるので診てほしい」とご相談いただきました。
カウンセリング・診断結果
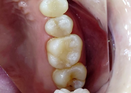
拝見したところ、左上奥歯1本は手前の歯と隣接している面から噛み合わせの面にかけて、虫歯が生じていました。
このまま放置すると、虫歯が神経に達して今より強くしみるようになったり、痛みが出たりするリスクがあるため、早急に治療する必要があると診断しました。
行ったご提案・治療内容
虫歯治療後に行う修復方法について、以下の提案を行いました。
①保険診療で修復
メリット:費用を抑えることができる
デメリット:自費診療の修復素材と比べて使用できる材料が限られるため、強度や審美性に劣る。破損や虫歯の再発リスクが高い
②自費診療で修復
メリット:強度の高い素材を使用できるため、破損や虫歯の再発リスクが低い
デメリット:費用が高額になる
患者様はそれぞれメリットとデメリットをしっかりご理解いただいたうえで、②の自費診療での治療を選択されました。
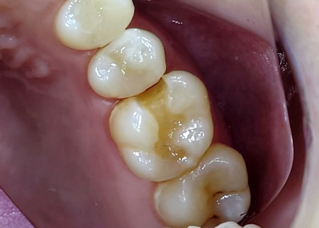
また費用面を考慮して、自費診療の素材の中でも比較的安価なセラミック素材を用いた「E-MAXインレー」を採用しています。
まず、取り残しがないようにしっかりと虫歯を除去し、歯の形を整えてから型取りを行いました。
後日、完成したE-MAXインレーを装着し、噛み合わせや見た目に問題がないことを確認して、治療を終了しました。
この治療のリスクについて
・治療中に痛みを伴う場合があります
・治療後に正しい歯磨きやメンテナンスを怠ると、虫歯が再発する場合があります
・治療後は神経が過敏になっているため、痛みが生じる場合があります
・装着に際し、天然歯を削る場合があります
・噛み合わせや歯ぎしりが強い場合、セラミックが割れる可能性があります
・一部の治療を除き、自費診療(保険適用外治療)です
- 年齢・性別 30代女性
- 診療種別 自由診療
- 治療期間の目安 -
- 治療回数の目安 2回
- 治療費総額の目安 約50,000円
※掲載された情報は治療の効果を保証するものではありません。
ご利用により万一何らかの損害が発生したとしても、当サイトは一切責任を負いかねますのでご了承ください。
画像をクリックすると拡大・詳細コメントを確認いただけます
-
エスペレ歯科・ホープデンタルクリニックTEL:0484624183
-
エスペレ歯科・ホープデンタルクリニックTEL:0484624183
-
エスペレ歯科・ホープデンタルクリニックTEL:0484624183
-
エスペレ歯科・ホープデンタルクリニックTEL:0484624183 -
エスペレ歯科・ホープデンタルクリニックTEL:0484624183 -
エスペレ歯科・ホープデンタルクリニックTEL:0484624183
問題を報告する
掲載内容に問題がありますか?
こちらのフォームではココシカ!利用規約に違反している可能性のある情報や、
その他の問題がある内容について直接報告することができます。
この機能は、詐欺、スパム、虚偽、不正確であると思われる情報を報告するためのものです。
報告すべき情報の例
- ・差別的または不快感を与えるもの: 性別、年齢、人種、宗教、身体的特徴などに基づく差別が見られるものはこちらに該当します。過度な出血など過激な表現など不適切な内容が含まれる場合も対象です。
- ・虚偽の情報: 何らかの根拠により虚偽が認められる情報が対象です。
- ・不正確な情報: 治療名やリスク、金額、医院情報などに不正確な内容が含まれるものです。多くの場合、これらの問題はココシカ!の掲載基準違反ではありませんが、情報の更新が求められる場合があります。
- ・広告行為: 本サービスの趣旨に反する投稿です。サービス広告、企業やアプリの宣伝、その他問題があると確認された投稿が該当します。
- ・その他: これらのカテゴリーに当てはまらない問題については、[その他] を選択し詳しい情報をご提供ください。
ココシカ!の情報、技術的な問題、医院ページのレビュー、掲載情報に関する問い合わせ、検索結果などに関する一般的な質問、これらの問題に関するお問い合わせは、サポートチームまでご連絡下さい。
| 診療科目 | 一般歯科、矯正歯科、小児矯正、インプラント |
|---|---|
| 自由診療 | ワイヤー矯正、マウスピース矯正,かみ合わせ治療 |
| 住所 | 〒351-0007 埼玉県朝霞市岡1-17-18 |
| アクセス | 東武東上線 朝霞駅 徒歩12分 |
| 診療時間 | 09:30~12:30 14:00~18:00 |
| 休診日 | 木曜 日曜 祝祭日 |
| 代表者 | 山田敏秀 |
※記載の内容は最新の情報と異なる場合がございます。正確な情報は歯科医院にご確認ください。
この歯科医院の他の症例
NEW CONTENT 新着コンテンツ
-
「第22回 一般社団法人 日本外傷歯学会・総会・学術大会」開幕、リハビリにフォーカスして歯の損失リスク軽減を目指す
2022.8.8 一般歯科
-
クラウド型歯科用レセコン「POWER5G」が口腔内シミュレーションサービス「DMFTシミュレーター」と提携
2022.6.28 予防歯科
-
豪発のブランド「ビーボックス」から歯固め発売、乳幼児でも持ちやすい設計に
2022.6.24 小児歯科
-
韓国発ライフスタイルケアブランド「ソルトレイン」日本初上陸、伊勢丹新宿でポップアップも
2022.6.22 その他
-
デントウェーブ運営の歯科衛生士向けコミュニティ「歯科衛生士のcoe」無料オンラインイベント開催
2022.3.2 その他
-
竹素材のオーガニック歯ブラシ、日本発サステナブランド「ミヨオーガニック」展開
2022.2.17 予防歯科
