- 詰め物・被せもの
- セラミック・ジルコニア
- インプラント
60代女性 欠損していた右下奥歯にインプラント治療を行って噛み合わせを回復させた症例
ご相談内容
「右下奥歯が抜けたが、そのまま放置してしまっていた」とご相談いただきました。
カウンセリング・診断結果
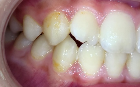
拝見したところ、右下奥歯(第1大臼歯)が欠損しており、患者様はインプラント治療を希望されていました。
詳しく検査を行った結果、インプラント(人工歯根)を埋め込むために必要な骨の厚みと高さがあり、骨の質も良好で治療に適していることがわかりました。
奥歯の欠損を放置すると、以下のトラブルが発生することがあります。
・隣接している歯が傾く
・噛み合うはずだった上の歯が下がる
・右側で噛めないことで左側でばかり噛む癖がつき、左側の歯や顎の関節に過度な負担がかかる
その結果、左側の歯がすり減ったり虫歯や歯周病になりやすくなったり、顎関節症を発症して痛みや口の開けにくさなどの症状があらわれたりするリスクがあります。
以上のことから、インプラント治療により口腔内の機能を回復させる必要があると診断しました。
行ったご提案・治療内容
患者様が希望されているインプラント治療とは、人工歯根を顎の骨に埋め込み、失った歯の機能を回復する方法です。
メリット:周囲の健康な歯を削る必要がない。自分の歯のような自然な噛み心地が期待できる
デメリット:外科手術が必要になる。治療期間が長くなる
インプラントの上に装着する被せ物の素材については、患者様より費用を抑えたいとの希望があったため、セラミックの一種であるE-MAX(イーマックス)を提案しました。
E-MAXは、人工ダイヤモンドと呼ばれているジルコニアには強度の面でやや劣り、破折のリスクが若干高くなるものの、自然な見た目が得られる、ジルコニアよりも安価である点がメリットです。
治療方法について丁寧にお伝えし、十分に検討いただいた結果、インプラントとE-MAXによる治療に同意いただきました。
まずは、インプラントを顎の骨に埋め込む手術を行います。
痛みを最小限に抑えながら、局所麻酔下で慎重に処置を進めました。
その後、インプラントが骨と結合するまでの期間をしっかりと確保し、安定性を確認しています。
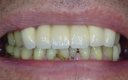
続いて、E-MAXを使用した被せ物を作製します。
患者様は他院で噛み合わせの治療を受けているため、既存の噛み合わせに影響を与えないよう配慮して形状を整えながら、周囲の歯の色調に合わせて自然な見た目になるように調整しました。
後日、完成した被せ物をインプラントに装着し、噛み合わせや使用感、見た目などに問題がないことを確認しながら最終調整を行い、治療を終了しています。
この治療のリスクについて
・外科手術のため、術後に痛みや腫れ、違和感を伴います
・メンテナンスを怠ったり、喫煙したりすると、お口の中に大きな悪影響を及ぼし、インプラント周囲炎などにかかる可能性があります
・糖尿病、肝硬変、心臓病などの持病をお持ちの場合、インプラント治療ができない可能性があります
・高血圧、貧血・不整脈などの持病をお持ちの場合、インプラント治療後に治癒不全を招く可能性があります
・噛み合わせや歯ぎしりが強い場合、セラミックが割れる可能性があります
- 年齢・性別 60代女性
- 診療種別 自由診療
- 治療期間の目安 約6ヶ月
- 治療回数の目安 -
- 治療費総額の目安 約500,000円
※掲載された情報は治療の効果を保証するものではありません。
ご利用により万一何らかの損害が発生したとしても、当サイトは一切責任を負いかねますのでご了承ください。
問題を報告する
掲載内容に問題がありますか?
こちらのフォームではココシカ!利用規約に違反している可能性のある情報や、
その他の問題がある内容について直接報告することができます。
この機能は、詐欺、スパム、虚偽、不正確であると思われる情報を報告するためのものです。
報告すべき情報の例
- ・差別的または不快感を与えるもの: 性別、年齢、人種、宗教、身体的特徴などに基づく差別が見られるものはこちらに該当します。過度な出血など過激な表現など不適切な内容が含まれる場合も対象です。
- ・虚偽の情報: 何らかの根拠により虚偽が認められる情報が対象です。
- ・不正確な情報: 治療名やリスク、金額、医院情報などに不正確な内容が含まれるものです。多くの場合、これらの問題はココシカ!の掲載基準違反ではありませんが、情報の更新が求められる場合があります。
- ・広告行為: 本サービスの趣旨に反する投稿です。サービス広告、企業やアプリの宣伝、その他問題があると確認された投稿が該当します。
- ・その他: これらのカテゴリーに当てはまらない問題については、[その他] を選択し詳しい情報をご提供ください。
ココシカ!の情報、技術的な問題、医院ページのレビュー、掲載情報に関する問い合わせ、検索結果などに関する一般的な質問、これらの問題に関するお問い合わせは、サポートチームまでご連絡下さい。
| 診療科目 | 一般歯科、矯正歯科、小児矯正、インプラント |
|---|---|
| 自由診療 | ワイヤー矯正、マウスピース矯正,かみ合わせ治療 |
| 住所 | 〒351-0007 埼玉県朝霞市岡1-17-18 |
| アクセス | 東武東上線 朝霞駅 徒歩12分 |
| 診療時間 | 09:30~12:30 14:00~18:00 |
| 休診日 | 木曜 日曜 祝祭日 |
| 代表者 | 山田敏秀 |
※記載の内容は最新の情報と異なる場合がございます。正確な情報は歯科医院にご確認ください。
この歯科医院の他の症例
NEW CONTENT 新着コンテンツ
-
「第22回 一般社団法人 日本外傷歯学会・総会・学術大会」開幕、リハビリにフォーカスして歯の損失リスク軽減を目指す
2022.8.8 一般歯科
-
クラウド型歯科用レセコン「POWER5G」が口腔内シミュレーションサービス「DMFTシミュレーター」と提携
2022.6.28 予防歯科
-
豪発のブランド「ビーボックス」から歯固め発売、乳幼児でも持ちやすい設計に
2022.6.24 小児歯科
-
韓国発ライフスタイルケアブランド「ソルトレイン」日本初上陸、伊勢丹新宿でポップアップも
2022.6.22 その他
-
デントウェーブ運営の歯科衛生士向けコミュニティ「歯科衛生士のcoe」無料オンラインイベント開催
2022.3.2 その他
-
竹素材のオーガニック歯ブラシ、日本発サステナブランド「ミヨオーガニック」展開
2022.2.17 予防歯科
