- 虫歯
- 詰め物・被せもの
- セラミック・ジルコニア
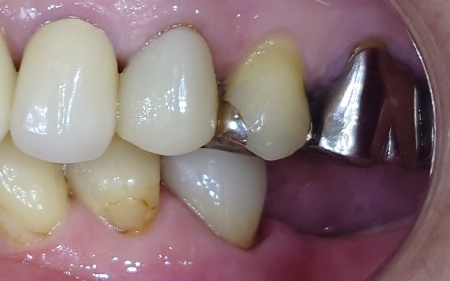
70代女性 虫歯の再発で外れた金属の被せ物をe-maxで修復した症例
ご相談内容
「左下奥歯の被せ物が外れてしまった」とご相談いただきました。
カウンセリング・診断結果
拝見したところ、左下奥歯に装着されていた金属の被せ物が虫歯の再発が原因で外れ、土台だけの状態になっていました。
再発した虫歯は、歯と被せ物の境目から進行していましたが、すでに神経を除去する治療をしていたため痛みを感じず、被せ物が外れるまで虫歯に気付かなかったようです。
以上のことから、虫歯の治療をしたうえで被せ物を作り直し、噛み合わせを回復させる治療が必要だと診断しました。
行ったご提案・治療内容
左下奥歯の虫歯を除去してから土台を修復し、その後新しい被せ物を装着する治療を提案し、同意いただきました。
患者様は「被せ物の色は白を希望したい。ジルコニアよりも手頃な価格のものがいいが、あまり壊れやすい素材は避けたい」とのことで、セラミック素材の一種であるe-maxを提案しました。
e-maxは天然歯と同程度の強度があり、ほかのセラミック素材と比較しても費用を抑えることができます。
同じ白い素材であるジルコニアよりやや強度は劣りますが、患者様の場合はe-maxでも十分治療が可能であることをお伝えしたところ、こちらも同意いただきました。
まずは、土台部分に生じていた虫歯を除去します。
その後、しなやかさに優れていて衝撃を吸収する特性があり、歯が割れるリスクを低減できるファイバーコアで土台を作り直しました。
土台が完成したら、被せ物を作製するために精密な型取りを行います。
後日、完成したe-maxの被せ物を装着し、歯にぴったりと合っているか、噛み合わせや使用感に問題がないかを確認し、治療を終了しました。
この治療のリスクについて
・治療後に正しい歯磨きやメンテナンスを怠ると、虫歯が再発する場合があります
・治療中や治療後に不快症状が出たり、治療後に痛みや腫れなどが生じたりする可能性があります
・装着に際し、天然歯を削る場合があります
・硬い素材の場合、他の天然歯を傷つけることがあります
・噛み合わせや歯ぎしりが強い場合、セラミックが割れる可能性があります
・一部の治療を除き、自費診療(保険適用外治療)です
- 年齢・性別 70代女性
- 診療種別 自由診療
- 治療期間の目安 -
- 治療回数の目安 4回程度
- 治療費総額の目安 110,000円
※掲載された情報は治療の効果を保証するものではありません。
ご利用により万一何らかの損害が発生したとしても、当サイトは一切責任を負いかねますのでご了承ください。
画像をクリックすると拡大・詳細コメントを確認いただけます
-
エスペレ歯科・ホープデンタルクリニックTEL:0484624183
-
エスペレ歯科・ホープデンタルクリニックTEL:0484624183 -
エスペレ歯科・ホープデンタルクリニックTEL:0484624183
問題を報告する
掲載内容に問題がありますか?
こちらのフォームではココシカ!利用規約に違反している可能性のある情報や、
その他の問題がある内容について直接報告することができます。
この機能は、詐欺、スパム、虚偽、不正確であると思われる情報を報告するためのものです。
報告すべき情報の例
- ・差別的または不快感を与えるもの: 性別、年齢、人種、宗教、身体的特徴などに基づく差別が見られるものはこちらに該当します。過度な出血など過激な表現など不適切な内容が含まれる場合も対象です。
- ・虚偽の情報: 何らかの根拠により虚偽が認められる情報が対象です。
- ・不正確な情報: 治療名やリスク、金額、医院情報などに不正確な内容が含まれるものです。多くの場合、これらの問題はココシカ!の掲載基準違反ではありませんが、情報の更新が求められる場合があります。
- ・広告行為: 本サービスの趣旨に反する投稿です。サービス広告、企業やアプリの宣伝、その他問題があると確認された投稿が該当します。
- ・その他: これらのカテゴリーに当てはまらない問題については、[その他] を選択し詳しい情報をご提供ください。
ココシカ!の情報、技術的な問題、医院ページのレビュー、掲載情報に関する問い合わせ、検索結果などに関する一般的な質問、これらの問題に関するお問い合わせは、サポートチームまでご連絡下さい。
| 診療科目 | 一般歯科、矯正歯科、小児矯正、インプラント |
|---|---|
| 自由診療 | ワイヤー矯正、マウスピース矯正,かみ合わせ治療 |
| 住所 | 〒351-0007 埼玉県朝霞市岡1-17-18 |
| アクセス | 東武東上線 朝霞駅 徒歩12分 |
| 診療時間 | 09:30~12:30 14:00~18:00 |
| 休診日 | 木曜 日曜 祝祭日 |
| 代表者 | 山田敏秀 |
※記載の内容は最新の情報と異なる場合がございます。正確な情報は歯科医院にご確認ください。
この歯科医院の他の症例
NEW CONTENT 新着コンテンツ
-
「第22回 一般社団法人 日本外傷歯学会・総会・学術大会」開幕、リハビリにフォーカスして歯の損失リスク軽減を目指す
2022.8.8 一般歯科
-
クラウド型歯科用レセコン「POWER5G」が口腔内シミュレーションサービス「DMFTシミュレーター」と提携
2022.6.28 予防歯科
-
豪発のブランド「ビーボックス」から歯固め発売、乳幼児でも持ちやすい設計に
2022.6.24 小児歯科
-
韓国発ライフスタイルケアブランド「ソルトレイン」日本初上陸、伊勢丹新宿でポップアップも
2022.6.22 その他
-
デントウェーブ運営の歯科衛生士向けコミュニティ「歯科衛生士のcoe」無料オンラインイベント開催
2022.3.2 その他
-
竹素材のオーガニック歯ブラシ、日本発サステナブランド「ミヨオーガニック」展開
2022.2.17 予防歯科
