- セラミック・ジルコニア
- インプラント
- 抜歯
60代女性 根が割れた歯を抜いたあとにインプラントを埋入した症例
ご相談内容
「左上の歯が痛いので診てほしい」とご相談いただきました。
カウンセリング・診断結果
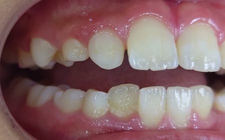
拝見したところ、左上の4番目の歯(第1小臼歯)の根が割れて、痛みと歯ぐきの炎症が認められました。
根が割れた歯は温存が難しく、このまま放置すると炎症が広がり周りの歯にも悪影響を及ぼす可能性があります。
以上のことから抜歯を行い、その後に歯を補う治療が必要と診断しました。
行ったご提案・治療内容
診断結果を丁寧にご説明したうえで、抜歯に同意いただきました。
抜歯後に歯を補うため、以下3つの治療法を提案しました。
①前後の歯を利用して橋渡しのように歯を入れる「ブリッジ」
メリット:保険診療内でも治療可能で、比較的治療期間が短い
デメリット:前後の歯に負担がかかるため、将来的な歯の寿命が縮む恐れがある
②取り外し式の「部分入れ歯」
メリット:保険診療内で治療できる
デメリット:取り外して清掃する必要があり、噛み心地や見た目は自分の歯と比べると劣る場合がある
③人工の歯根をあごの骨に埋めてその上に歯を取り付ける「インプラント治療」
メリット:抜歯部位を単独で治療できるため周りの歯に負担がかからず、自然な見た目と噛み心地が期待できる
デメリット:自由診療のため費用がかかり治療期間が比較的長く、外科処置を伴うため身体への負担が大きい
各治療について丁寧に説明したところ、患者様はすでに他部位にインプラントを装着されており、今回も③のインプラント治療を希望されました。
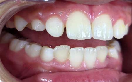
まず、左上の歯を抜歯します。
続いてインプラント埋入手術を実施し、インプラントを正しい位置と角度であごの骨に埋入しました。
インプラントがあごの骨にしっかりと定着したことを確認してから、型取りを行いインプラントの上に取り付ける人工歯を作製します。
人工歯の種類は治療部位が笑った際に目立つ場所であったため、自然な見た目で強度もあるセラミック製のジルコニアクラウンを選択しました。
その後、完成したジルコニアクラウンを歯茎から自然に生えているように見せるため形や取り付け位置を工夫して装着し、治療を終了しました。
この治療のリスクについて
・外科手術のため、術後に痛みや腫れ、違和感を伴います
・メンテナンスを怠ったり、喫煙したりすると、お口の中に大きな悪影響を及ぼし、インプラント周囲炎等にかかる可能性があります
・糖尿病、肝硬変、心臓病などの持病をお持ちの場合、インプラント治療ができない可能性があります
・高血圧、貧血・不整脈などの持病をお持ちの場合、インプラント治療後に治癒不全を招く可能性があります
・自費診療(保険適用外治療)です
・噛み合わせや歯ぎしりが強い場合、セラミックが割れる可能性があります
- 年齢・性別 60代女性
- 診療種別 自由診療
- 治療期間の目安 6ヶ月
- 治療回数の目安 -
- 治療費総額の目安 約550,000円
※掲載された情報は治療の効果を保証するものではありません。
ご利用により万一何らかの損害が発生したとしても、当サイトは一切責任を負いかねますのでご了承ください。
問題を報告する
掲載内容に問題がありますか?
こちらのフォームではココシカ!利用規約に違反している可能性のある情報や、
その他の問題がある内容について直接報告することができます。
この機能は、詐欺、スパム、虚偽、不正確であると思われる情報を報告するためのものです。
報告すべき情報の例
- ・差別的または不快感を与えるもの: 性別、年齢、人種、宗教、身体的特徴などに基づく差別が見られるものはこちらに該当します。過度な出血など過激な表現など不適切な内容が含まれる場合も対象です。
- ・虚偽の情報: 何らかの根拠により虚偽が認められる情報が対象です。
- ・不正確な情報: 治療名やリスク、金額、医院情報などに不正確な内容が含まれるものです。多くの場合、これらの問題はココシカ!の掲載基準違反ではありませんが、情報の更新が求められる場合があります。
- ・広告行為: 本サービスの趣旨に反する投稿です。サービス広告、企業やアプリの宣伝、その他問題があると確認された投稿が該当します。
- ・その他: これらのカテゴリーに当てはまらない問題については、[その他] を選択し詳しい情報をご提供ください。
ココシカ!の情報、技術的な問題、医院ページのレビュー、掲載情報に関する問い合わせ、検索結果などに関する一般的な質問、これらの問題に関するお問い合わせは、サポートチームまでご連絡下さい。
| 診療科目 | 一般歯科、矯正歯科、小児矯正、インプラント |
|---|---|
| 自由診療 | ワイヤー矯正、マウスピース矯正,かみ合わせ治療 |
| 住所 | 〒351-0007 埼玉県朝霞市岡1-17-18 |
| アクセス | 東武東上線 朝霞駅 徒歩12分 |
| 診療時間 | 09:30~12:30 14:00~18:00 |
| 休診日 | 木曜 日曜 祝祭日 |
| 代表者 | 山田敏秀 |
※記載の内容は最新の情報と異なる場合がございます。正確な情報は歯科医院にご確認ください。
この歯科医院の他の症例
NEW CONTENT 新着コンテンツ
-
「第22回 一般社団法人 日本外傷歯学会・総会・学術大会」開幕、リハビリにフォーカスして歯の損失リスク軽減を目指す
2022.8.8 一般歯科
-
クラウド型歯科用レセコン「POWER5G」が口腔内シミュレーションサービス「DMFTシミュレーター」と提携
2022.6.28 予防歯科
-
豪発のブランド「ビーボックス」から歯固め発売、乳幼児でも持ちやすい設計に
2022.6.24 小児歯科
-
韓国発ライフスタイルケアブランド「ソルトレイン」日本初上陸、伊勢丹新宿でポップアップも
2022.6.22 その他
-
デントウェーブ運営の歯科衛生士向けコミュニティ「歯科衛生士のcoe」無料オンラインイベント開催
2022.3.2 その他
-
竹素材のオーガニック歯ブラシ、日本発サステナブランド「ミヨオーガニック」展開
2022.2.17 予防歯科
