- 口腔筋トレーニング(MFT)
- 矯正歯科
- 小児歯科
- マウスピース矯正
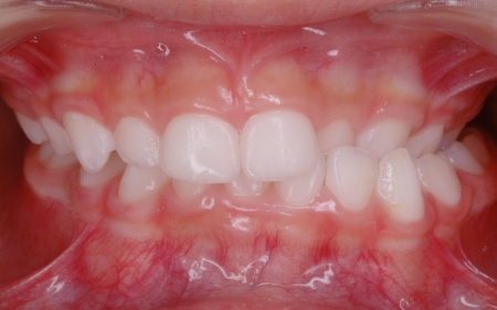
7歳女の子 歯並びの幅を広げる装置と口周りの筋肉を鍛えるマウスピース型装置でガタガタした歯並びを改善した症例
ご相談内容
「ガタガタした歯並びを治したい」とご相談いただきました。
カウンセリング・診断結果
拝見したところ、患者様は乳歯と永久歯の両方が混在している「混合歯列期」の状態でした。
しかし永久歯が生えるためのスペースが不足しているため、上下ともに歯が正常な位置からずれたりねじれたりしてデコボコに生える「叢生(そうせい)」が見られます。
これから生えてくる永久歯が正しく並ぶためのスペースも不足しており、このままだと歯並びがさらに悪化する可能性があるため、矯正治療が必要と診断しました。
行ったご提案・治療内容
次の治療計画を提案し、同意いただきました。
・歯並びの幅を広げる「拡大装置」を用いて永久歯が並ぶためのスペースを確保する
・取り外し可能なマウスピース型装置「T4Kトレーナー」を使用して口周りの筋肉を鍛え、正常な顎の発達を促す
T4Kトレーナーは、口呼吸や舌の動きの癖などの歯並びに悪影響を与える要因を改善し、口周りの筋肉のバランスを整える装置で、成長期の子どもの歯列矯正に適しています。
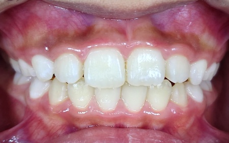
まず、患者様専用の拡大装置を作製し、半年間装着していただきました。
歯並びの幅が広がり十分なスペースが確保できたため、現在はT4Kトレーナーを毎日ご自宅で一定時間装着していただき、口周りの筋肉のバランスを整える治療を継続しています。
この治療のリスクについて
・決められたスケジュールを守らない場合、十分な効果が得られない可能性があります
・マウスピースに対応していない症例の場合、治療が難しい可能性があります
・歯の移動に伴って、痛みや違和感を感じる場合があります
・正しいブラッシングやメンテナンスを行わない場合、虫歯や歯周病のリスクが高まります
- 年齢・性別 7歳女の子
- 診療種別 自由診療
- 治療期間の目安 5年
- 治療回数の目安 -
- 治療費総額の目安 約450,000円
※掲載された情報は治療の効果を保証するものではありません。
ご利用により万一何らかの損害が発生したとしても、当サイトは一切責任を負いかねますのでご了承ください。
問題を報告する
掲載内容に問題がありますか?
こちらのフォームではココシカ!利用規約に違反している可能性のある情報や、
その他の問題がある内容について直接報告することができます。
この機能は、詐欺、スパム、虚偽、不正確であると思われる情報を報告するためのものです。
報告すべき情報の例
- ・差別的または不快感を与えるもの: 性別、年齢、人種、宗教、身体的特徴などに基づく差別が見られるものはこちらに該当します。過度な出血など過激な表現など不適切な内容が含まれる場合も対象です。
- ・虚偽の情報: 何らかの根拠により虚偽が認められる情報が対象です。
- ・不正確な情報: 治療名やリスク、金額、医院情報などに不正確な内容が含まれるものです。多くの場合、これらの問題はココシカ!の掲載基準違反ではありませんが、情報の更新が求められる場合があります。
- ・広告行為: 本サービスの趣旨に反する投稿です。サービス広告、企業やアプリの宣伝、その他問題があると確認された投稿が該当します。
- ・その他: これらのカテゴリーに当てはまらない問題については、[その他] を選択し詳しい情報をご提供ください。
ココシカ!の情報、技術的な問題、医院ページのレビュー、掲載情報に関する問い合わせ、検索結果などに関する一般的な質問、これらの問題に関するお問い合わせは、サポートチームまでご連絡下さい。
| 診療科目 | 一般歯科、矯正歯科、小児矯正、インプラント |
|---|---|
| 自由診療 | ワイヤー矯正、マウスピース矯正,かみ合わせ治療 |
| 住所 | 〒351-0007 埼玉県朝霞市岡1-17-18 |
| アクセス | 東武東上線 朝霞駅 徒歩12分 |
| 診療時間 | 09:30~12:30 14:00~18:00 |
| 休診日 | 木曜 日曜 祝祭日 |
| 代表者 | 山田敏秀 |
※記載の内容は最新の情報と異なる場合がございます。正確な情報は歯科医院にご確認ください。
この歯科医院の他の症例
NEW CONTENT 新着コンテンツ
-
「第22回 一般社団法人 日本外傷歯学会・総会・学術大会」開幕、リハビリにフォーカスして歯の損失リスク軽減を目指す
2022.8.8 一般歯科
-
クラウド型歯科用レセコン「POWER5G」が口腔内シミュレーションサービス「DMFTシミュレーター」と提携
2022.6.28 予防歯科
-
豪発のブランド「ビーボックス」から歯固め発売、乳幼児でも持ちやすい設計に
2022.6.24 小児歯科
-
韓国発ライフスタイルケアブランド「ソルトレイン」日本初上陸、伊勢丹新宿でポップアップも
2022.6.22 その他
-
デントウェーブ運営の歯科衛生士向けコミュニティ「歯科衛生士のcoe」無料オンラインイベント開催
2022.3.2 その他
-
竹素材のオーガニック歯ブラシ、日本発サステナブランド「ミヨオーガニック」展開
2022.2.17 予防歯科
