- 歯周病
- 歯科検診
- クリーニング
80代男性「歯磨きをすると痛い」細菌の塊「プラーク」が原因で引き起こされた歯ぐきの炎症「歯肉炎」を、ご自身への歯磨き指導で改善させた症例
ご相談内容
「歯磨きをすると痛いので、虫歯になっていないか見てほしい」とご相談いただきました。
カウンセリング・診断結果
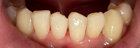
拝見したところ、細菌の塊である「プラーク」がご自身での歯磨きでは取りきれておらず、長時間付着したままになっていました。
その結果、歯ぐきが細菌感染して炎症が起こる「歯肉炎」が生じ、歯ぐきの痛みや出血が引き起こされていました。
このまま放置すると更に炎症が進行し、将来的に歯の揺れや喪失につながる恐れもありました。
行ったご提案・治療内容
ご自身で口腔内を綺麗に維持していただけるよう、歯磨き指導を行いました。
歯ぐきに炎症が起こっているときは、歯ブラシを当てると痛みが出るため、歯を磨くのをためらってしまう方もいらっしゃいます。
しかし、正しい歯磨きを続けることで痛みが落ち着くことをご説明し、毛先の柔らかい歯ブラシに変えて、歯ブラシを歯と歯ぐきの境目にしっかりと当てて磨くようご指導しました。
特に上の前歯にプラークが多く付着していたため、左上の前歯(犬歯/3番)から順番に歯磨き指導を進めていきました。
この治療のリスクについて
・病状、症状、患者様のお口の環境によって、複数回にわたる施術が必要となる場合があります
・治療が終わった後も、十分なセルフケアが必要です
・正しいブラッシングやメンテナンスを行わない場合、歯石の付着や虫歯が生じる可能性があります
- 年齢・性別 80代男性
- 診療種別 保険診療
- 治療期間の目安 -
- 治療回数の目安 今回は2回
- 治療費総額の目安 保険の範囲内
※掲載された情報は治療の効果を保証するものではありません。
ご利用により万一何らかの損害が発生したとしても、当サイトは一切責任を負いかねますのでご了承ください。
問題を報告する
掲載内容に問題がありますか?
こちらのフォームではココシカ!利用規約に違反している可能性のある情報や、
その他の問題がある内容について直接報告することができます。
この機能は、詐欺、スパム、虚偽、不正確であると思われる情報を報告するためのものです。
報告すべき情報の例
- ・差別的または不快感を与えるもの: 性別、年齢、人種、宗教、身体的特徴などに基づく差別が見られるものはこちらに該当します。過度な出血など過激な表現など不適切な内容が含まれる場合も対象です。
- ・虚偽の情報: 何らかの根拠により虚偽が認められる情報が対象です。
- ・不正確な情報: 治療名やリスク、金額、医院情報などに不正確な内容が含まれるものです。多くの場合、これらの問題はココシカ!の掲載基準違反ではありませんが、情報の更新が求められる場合があります。
- ・広告行為: 本サービスの趣旨に反する投稿です。サービス広告、企業やアプリの宣伝、その他問題があると確認された投稿が該当します。
- ・その他: これらのカテゴリーに当てはまらない問題については、[その他] を選択し詳しい情報をご提供ください。
ココシカ!の情報、技術的な問題、医院ページのレビュー、掲載情報に関する問い合わせ、検索結果などに関する一般的な質問、これらの問題に関するお問い合わせは、サポートチームまでご連絡下さい。
| 診療科目 | 一般歯科、小児歯科、矯正歯科、小児矯正、入れ歯治療、詰め物・被せ物、歯科口腔外科 |
|---|---|
| 自由診療 | 虫歯治療、根管治療、ワイヤー矯正、セラミック・ジルコニア、ブリッジ、親知らず |
| 住所 | 〒270-1166 千葉県我孫子市我孫子4-2-12 |
| アクセス | JR常磐線・千代田線 我孫子駅 徒歩3分 |
| 診療時間 | 9:00~13:00 15:00~18:00 |
| 休診日 | 月曜 日曜 祝日 |
| 代表者 | 神山 洋介 |
※記載の内容は最新の情報と異なる場合がございます。正確な情報は歯科医院にご確認ください。
この歯科医院の他の症例
NEW CONTENT 新着コンテンツ
-
「第22回 一般社団法人 日本外傷歯学会・総会・学術大会」開幕、リハビリにフォーカスして歯の損失リスク軽減を目指す
2022.8.8 一般歯科
-
クラウド型歯科用レセコン「POWER5G」が口腔内シミュレーションサービス「DMFTシミュレーター」と提携
2022.6.28 予防歯科
-
豪発のブランド「ビーボックス」から歯固め発売、乳幼児でも持ちやすい設計に
2022.6.24 小児歯科
-
韓国発ライフスタイルケアブランド「ソルトレイン」日本初上陸、伊勢丹新宿でポップアップも
2022.6.22 その他
-
デントウェーブ運営の歯科衛生士向けコミュニティ「歯科衛生士のcoe」無料オンラインイベント開催
2022.3.2 その他
-
竹素材のオーガニック歯ブラシ、日本発サステナブランド「ミヨオーガニック」展開
2022.2.17 予防歯科
