- マウスピース矯正
小学4年生11歳女の子「歯並びがずれている」矯正はせずトレーナーだけで治療した症例
ご相談内容
「歯が内側に倒れて生えている」「歯並びがずれている」とのことでご相談いただきました。
カウンセリング・診断結果
拝見したところ、左上の糸切り歯がずれており、内側に倒れて生えている状態でした。
上の糸切り歯が奥に倒れて生えてきてしまった影響で、下の糸切り歯も外側に倒れてきてしまったようでした。
行ったご提案・治療内容
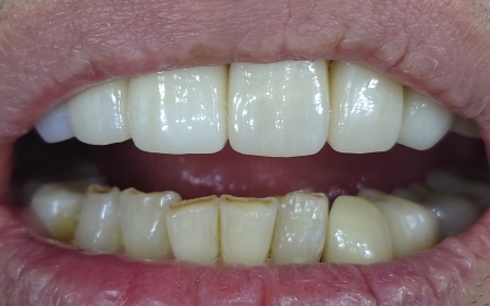
本格的な矯正に入る前にトレーナーでも改善できる可能性があったため、ご提案しました。
トレーナーの場合、本格的な矯正に比べて費用的な負担や体への負担が少ないことがメリットです。
治療に際して歯を動かすストレッチとして、奥に向かって生えている上の糸切り歯を指で手前に押して貰うトレーニングも合わせて協力していただきました。
この治療のリスクについて
・矯正装置は道具である以上、使用時間に比例して効果を発揮するため使用しないと効果は得られません。
・取り外し式の装置では自分で取り外しができるため、治療結果は治療を受ける本人(患児)の協力が必要です。
・装置は破損するリスクや修理が必要になる場合があります。
・この年齢では一次矯正・予防矯正といわれる時期なので、すべて永久歯なってから二次矯正・本格矯正が必要な場合もあります。
- 年齢・性別 11歳女の子
- 診療種別 自由診療
- 治療期間の目安 約7ヶ月
- 治療回数の目安 -
- 治療費総額の目安 約¥100,000
※掲載された情報は治療の効果を保証するものではありません。
ご利用により万一何らかの損害が発生したとしても、当サイトは一切責任を負いかねますのでご了承ください。
問題を報告する
掲載内容に問題がありますか?
こちらのフォームではココシカ!利用規約に違反している可能性のある情報や、
その他の問題がある内容について直接報告することができます。
この機能は、詐欺、スパム、虚偽、不正確であると思われる情報を報告するためのものです。
報告すべき情報の例
- ・差別的または不快感を与えるもの: 性別、年齢、人種、宗教、身体的特徴などに基づく差別が見られるものはこちらに該当します。過度な出血など過激な表現など不適切な内容が含まれる場合も対象です。
- ・虚偽の情報: 何らかの根拠により虚偽が認められる情報が対象です。
- ・不正確な情報: 治療名やリスク、金額、医院情報などに不正確な内容が含まれるものです。多くの場合、これらの問題はココシカ!の掲載基準違反ではありませんが、情報の更新が求められる場合があります。
- ・広告行為: 本サービスの趣旨に反する投稿です。サービス広告、企業やアプリの宣伝、その他問題があると確認された投稿が該当します。
- ・その他: これらのカテゴリーに当てはまらない問題については、[その他] を選択し詳しい情報をご提供ください。
ココシカ!の情報、技術的な問題、医院ページのレビュー、掲載情報に関する問い合わせ、検索結果などに関する一般的な質問、これらの問題に関するお問い合わせは、サポートチームまでご連絡下さい。
| 診療科目 | 一般歯科、矯正歯科、小児矯正、インプラント |
|---|---|
| 自由診療 | ワイヤー矯正、マウスピース矯正,かみ合わせ治療 |
| 住所 | 〒351-0007 埼玉県朝霞市岡1-17-18 |
| アクセス | 東武東上線 朝霞駅 徒歩12分 |
| 診療時間 | 09:30~12:30 14:00~18:00 |
| 休診日 | 木曜 日曜 祝祭日 |
| 代表者 | 山田敏秀 |
※記載の内容は最新の情報と異なる場合がございます。正確な情報は歯科医院にご確認ください。
この歯科医院の他の症例
NEW CONTENT 新着コンテンツ
-
「第22回 一般社団法人 日本外傷歯学会・総会・学術大会」開幕、リハビリにフォーカスして歯の損失リスク軽減を目指す
2022.8.8 一般歯科
-
クラウド型歯科用レセコン「POWER5G」が口腔内シミュレーションサービス「DMFTシミュレーター」と提携
2022.6.28 予防歯科
-
豪発のブランド「ビーボックス」から歯固め発売、乳幼児でも持ちやすい設計に
2022.6.24 小児歯科
-
韓国発ライフスタイルケアブランド「ソルトレイン」日本初上陸、伊勢丹新宿でポップアップも
2022.6.22 その他
-
デントウェーブ運営の歯科衛生士向けコミュニティ「歯科衛生士のcoe」無料オンラインイベント開催
2022.3.2 その他
-
竹素材のオーガニック歯ブラシ、日本発サステナブランド「ミヨオーガニック」展開
2022.2.17 予防歯科
