- 骨再生
- ホワイトニング
- 詰め物・被せもの
- オフィスホワイトニング
- セラミック・ジルコニア
- インプラント
- 歯科口腔外科
- ソケットリフト
- 抜歯
60代女性 歯根が割れて痛む歯を抜いてインプラント治療で噛み合わせを回復した症例
ご相談内容
「ブリッジ治療をした右上の歯が痛い」とご相談いただきました。
当院には、セカンドオピニオンで来院されています。
カウンセリング・診断結果
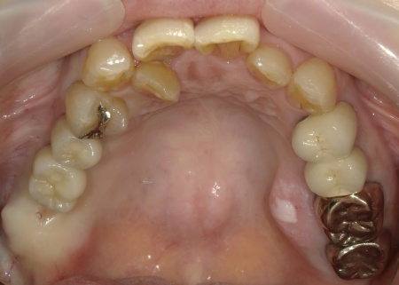
拝見したところ、右上の歯には、欠損部位前後の歯を土台として橋を渡すように連結した被せ物「ブリッジ」が装着されていました。
しかし、土台となっている手前の歯(第2小臼歯)は歯根が割れており、同じく土台となっている奥の歯(第2大臼歯)は歯根の先に膿の袋ができる「根尖病巣(こんせんびょうそう)」が認められます。
さらに、ブリッジ部位の歯茎は腫れ、痛みもあるとのことでした。
かかりつけの歯科医院では、細菌感染を抑える薬を飲んだり、歯を少し削って噛み合わせを調整したりして様子を見ていましたが、口腔内の状態が改善せず、次は抜歯をする必要があると説明を受けたそうです。
また抜歯後に歯を補う方法のひとつにインプラント治療がありますが、患者様の場合は治療に必要な骨量が確保できないため難しいとされ、取り外し式の入れ歯になるとのことでした。
インプラント治療とは、顎の骨に人工歯根を埋め込み、その上に被せ物を装着する方法のことです。
患者様はかかりつけ医からの説明が十分でないと感じていたため、当院にセカンドオピニオンで来院されています。
以上のことから、まずはブリッジ周辺の治療を行ったのち、欠損部を補う治療方法をしっかりと検討する必要があると診断しました。
行ったご提案・治療内容
痛みが出ているブリッジ周辺の治療として、ブリッジの土台となっていて、歯根が割れている手前の歯(第2小臼歯)は抜き、根尖病巣を発症している奥の歯(第2大臼歯)は、根管治療を行います。
根管治療とは、感染した神経を取り除いて、歯根内部を清掃・消毒する治療方法のことです。
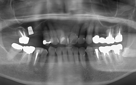
抜歯と根管治療を行ったあとは、欠損部を補うために、2本のインプラントを埋入する方法を提案しました。
インプラントを埋入するために必要な骨量が足りない場合は、鼻の空洞(上顎洞)の粘膜を少しずつ押し上げて骨を増やす「ソケットリフト」を併用することもお伝えしています。
ソケットリフトは、骨が少ない場合でもインプラント治療が可能になるものの、腫れや痛みが出やすい点がデメリットです。
インプラント治療のメリット
・固定式なので着脱の手間がない
・天然歯に近い噛み心地が期待できる
インプラント治療のデメリット
・外科処置が必要なので、体に負担がかかる
・治療費が高額になる
それぞれの方法について丁寧にお伝えした結果、治療に同意いただきました。
また、抜歯後の骨が治癒するまでの時間を無駄にせず、治療が円滑に進むよう配慮して、インプラント治療終了と同時に全ての治療が完了するよう計画しています。
まずは、右上手前の歯(第2小臼歯)を抜きました。
抜歯後は、インプラント治療を行うために、歯を支える骨(歯槽骨)の回復を待つ必要があり、最低でも6ヶ月を要します。
その間、右上奥歯2本が欠損したままでは噛み合わせが崩れるリスクがあったため、早期にすでに欠損していた右上奥歯(第1大臼歯)部位にのみ、インプラントの埋入を行いました。
約2ヶ月後、インプラントと骨が結合したことを確認して、右上奥歯2本の仮歯を作製し、手前の歯槽骨が再生するまで経過観察を継続します。
約4ヶ月後、歯槽骨の再生が確認できたため、もう1本のインプラントを埋入しました。
右上奥歯は2本とも骨の高さが不足していたので、治療の際はソケットリフトを併用しています。
当院のインプラント治療は、施術の安全性と長期的な使用を可能にすることを優先して治療を行うため、通常は抜歯後に歯槽骨の治癒を待ってからインプラントの埋入を行っています。
しかし、歯の欠損により噛む機能の十分に果たせない状態が長期間続くと、ストレスや噛み合わせのずれにつながるため、今回は早期にインプラント治療を行い、欠損部を一時的に補う人工歯「延長ポンティック付き仮歯」を用いることで対応しました。
右上奥歯2本に仮歯が入り、噛み合わせが安定した状態になったため、根尖病巣を発症している右上奥歯の治療を開始します。
もともと入っていた古い被せ物を除去すると、歯根に亀裂が入っていました。こちらも歯の温存が難しいと判断し、抜歯処置を行いました。
また、インプラントに装着する人工歯を作製する前に、歯科医院で歯を白くするオフィスホワイトニング治療を希望されたため、治療期間がやや長くなっています。
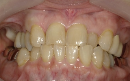
最後に、完成した人工歯を装着し、見た目や噛み合わせに問題がないことを確認して、治療を終了しています。
この治療のリスクについて
・外科手術のため、術後に痛みや腫れ、違和感を伴います
・メンテナンスを怠ったり、喫煙したりすると、お口の中に大きな悪影響を及ぼし、インプラント周囲炎などにかかる可能性があります
・糖尿病、肝硬変、心臓病などの持病をお持ちの場合、インプラント治療ができない可能性があります
・高血圧、貧血・不整脈などの持病をお持ちの場合、インプラント治療後に治癒不全を招く可能性があります
・自費診療(保険適用外治療)です
・得られる効果は歯の質により様々です。予定通りの白さに達しない場合もあります
- 年齢・性別 60代女性
- 診療種別 自由診療
- 治療期間の目安 1年2ヶ月
- 治療回数の目安 -
-
治療費総額の目安
約899,000円
(インプラント治療・オフィスホワイトニング)
※掲載された情報は治療の効果を保証するものではありません。
ご利用により万一何らかの損害が発生したとしても、当サイトは一切責任を負いかねますのでご了承ください。
画像をクリックすると拡大・詳細コメントを確認いただけます
-
みらい歯科クリニックTEL:0877853174
-
みらい歯科クリニックTEL:0877853174
-
みらい歯科クリニックTEL:0877853174
-
みらい歯科クリニックTEL:0877853174
-
みらい歯科クリニックTEL:0877853174
-
みらい歯科クリニックTEL:0877853174
-
みらい歯科クリニックTEL:0877853174
-
みらい歯科クリニックTEL:0877853174 -
みらい歯科クリニックTEL:0877853174
-
みらい歯科クリニックTEL:0877853174
-
みらい歯科クリニックTEL:0877853174 -
みらい歯科クリニックTEL:0877853174
問題を報告する
掲載内容に問題がありますか?
こちらのフォームではココシカ!利用規約に違反している可能性のある情報や、
その他の問題がある内容について直接報告することができます。
この機能は、詐欺、スパム、虚偽、不正確であると思われる情報を報告するためのものです。
報告すべき情報の例
- ・差別的または不快感を与えるもの: 性別、年齢、人種、宗教、身体的特徴などに基づく差別が見られるものはこちらに該当します。過度な出血など過激な表現など不適切な内容が含まれる場合も対象です。
- ・虚偽の情報: 何らかの根拠により虚偽が認められる情報が対象です。
- ・不正確な情報: 治療名やリスク、金額、医院情報などに不正確な内容が含まれるものです。多くの場合、これらの問題はココシカ!の掲載基準違反ではありませんが、情報の更新が求められる場合があります。
- ・広告行為: 本サービスの趣旨に反する投稿です。サービス広告、企業やアプリの宣伝、その他問題があると確認された投稿が該当します。
- ・その他: これらのカテゴリーに当てはまらない問題については、[その他] を選択し詳しい情報をご提供ください。
ココシカ!の情報、技術的な問題、医院ページのレビュー、掲載情報に関する問い合わせ、検索結果などに関する一般的な質問、これらの問題に関するお問い合わせは、サポートチームまでご連絡下さい。
| 診療科目 | 一般歯科、小児歯科、矯正歯科、小児矯正、インプラント、詰め物・被せ物、歯科口腔外科 |
|---|---|
| 自由診療 | 虫歯治療、根管治療、ワイヤー矯正、ホームホワイトニング、セラミック・ジルコニア、ブリッジ、親知らず、顎関節症 |
| 住所 | 〒763-0052 香川県丸亀市津森町1095-1 |
| アクセス | JR四国 予讃線 丸亀駅 |
| 診療時間 | 9:00-12:30 14:00-18:30 |
| 休診日 | 木曜 日曜 祝祭日 |
| 代表者 | 高畑 和路 |
※記載の内容は最新の情報と異なる場合がございます。正確な情報は歯科医院にご確認ください。
この歯科医院の他の症例
NEW CONTENT 新着コンテンツ
-
「第22回 一般社団法人 日本外傷歯学会・総会・学術大会」開幕、リハビリにフォーカスして歯の損失リスク軽減を目指す
2022.8.8 一般歯科
-
クラウド型歯科用レセコン「POWER5G」が口腔内シミュレーションサービス「DMFTシミュレーター」と提携
2022.6.28 予防歯科
-
豪発のブランド「ビーボックス」から歯固め発売、乳幼児でも持ちやすい設計に
2022.6.24 小児歯科
-
韓国発ライフスタイルケアブランド「ソルトレイン」日本初上陸、伊勢丹新宿でポップアップも
2022.6.22 その他
-
デントウェーブ運営の歯科衛生士向けコミュニティ「歯科衛生士のcoe」無料オンラインイベント開催
2022.3.2 その他
-
竹素材のオーガニック歯ブラシ、日本発サステナブランド「ミヨオーガニック」展開
2022.2.17 予防歯科
