- 矯正歯科
- マウスピース矯正
- 詰め物・被せもの
- セラミック・ジルコニア
20代女性 マウスピース矯正「SmileTRU」とセラミック治療で前歯の隙間を改善した症例
ご相談内容
「前歯の隙間が気になる。歯並びがコンプレックスでマスクが外せない」とご相談いただきました。
カウンセリング・診断結果
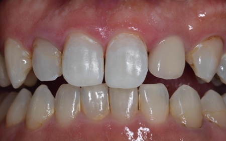
拝見したところ、上の前歯(左右中切歯/1番)の間に隙間が生じる「正中離開(せいちゅうりかい)」が認められ、見た目の美しさが損なわれていました。
また、上の前歯(左右側切歯/2番)が通常よりも小さい「矮小歯(わいしょうし)」であり、中切歯と側切歯の間にも隙間があります。
行ったご提案・治療内容
見た目を改善するための方法として、マウスピース型の矯正装置「SmileTRU(スマイルトゥルー)」による矯正治療を行って上前歯の隙間を閉じたあと、矮小歯である上左右側切歯に自然な白さで強度もある「セラミック」の被せ物を装着する治療を提案し、ご了承いただきました。
まず患者様の歯並びを3Dデータ化し、コンピューター上で歯の動きをシミュレーションしたあとに患者様専用のマウスピースを作製します。マウスピースを1日に一定時間ご使用いただき、定期的に新しいマウスピースに交換することで、徐々に前歯の隙間を閉じながら歯並びを整えました。
マウスピースによる矯正治療が終了したあと、上左右の側切歯にセラミックの被せ物「e-max冠」を装着し、見た目が自然になるよう仕上げました。
この治療のリスクについて
・決められたスケジュールを守らない場合、十分な効果が得られない可能性があります
・マウスピースに対応していない症例の場合、治療が難しい可能性があります
・歯の移動に伴って、痛みや違和感を感じる場合があります
・正しいブラッシングやメンテナンスを行わない場合、虫歯や歯周病のリスクが高まります
・セラミックの装着に際し、天然歯を削る必要があります
・噛み合わせや歯ぎしりが強い場合、セラミックが割れる可能性があります
- 年齢・性別 20代女性
- 診療種別 自由診療
-
治療期間の目安
矯正期間6ヶ月
保定まで含めると1年
セラミック治療は1ヶ月 -
治療費総額の目安
約407,800円
【内訳】
マウスピース矯正
セラミックの被せ物2本
※掲載された情報は治療の効果を保証するものではありません。
ご利用により万一何らかの損害が発生したとしても、当サイトは一切責任を負いかねますのでご了承ください。
問題を報告する
掲載内容に問題がありますか?
こちらのフォームではココシカ!利用規約に違反している可能性のある情報や、
その他の問題がある内容について直接報告することができます。
この機能は、詐欺、スパム、虚偽、不正確であると思われる情報を報告するためのものです。
報告すべき情報の例
- ・差別的または不快感を与えるもの: 性別、年齢、人種、宗教、身体的特徴などに基づく差別が見られるものはこちらに該当します。過度な出血など過激な表現など不適切な内容が含まれる場合も対象です。
- ・虚偽の情報: 何らかの根拠により虚偽が認められる情報が対象です。
- ・不正確な情報: 治療名やリスク、金額、医院情報などに不正確な内容が含まれるものです。多くの場合、これらの問題はココシカ!の掲載基準違反ではありませんが、情報の更新が求められる場合があります。
- ・広告行為: 本サービスの趣旨に反する投稿です。サービス広告、企業やアプリの宣伝、その他問題があると確認された投稿が該当します。
- ・その他: これらのカテゴリーに当てはまらない問題については、[その他] を選択し詳しい情報をご提供ください。
ココシカ!の情報、技術的な問題、医院ページのレビュー、掲載情報に関する問い合わせ、検索結果などに関する一般的な質問、これらの問題に関するお問い合わせは、サポートチームまでご連絡下さい。
| 診療科目 | 一般歯科、小児歯科、矯正歯科、マタニティ歯科、ホワイトニング |
|---|---|
| 自由診療 | マウスピース矯正(インビザラインGO)、こども予防矯正、歯周内科治療、入れ歯、セラミック治療、ホワイトスポット治療、オフィスホワイトニング、ホームホワイトニング、デュアルホワイトニング、唾液・顕微鏡検査 |
| 住所 | 〒226-0025 横浜市緑区十日市場町849-12 松ビル1F |
| アクセス | JR横浜線「十日市場駅」より徒歩7分 |
| 診療時間 | 【火・水・木・金】 09:30~13:30/15:00~19:30 【土・日】 09:30~13:00/14:00~16:00 |
| 休診日 | 月曜、祝日 |
| 代表者 | 正木 大介 |
※記載の内容は最新の情報と異なる場合がございます。正確な情報は歯科医院にご確認ください。
この歯科医院の他の症例
NEW CONTENT 新着コンテンツ
-
「第22回 一般社団法人 日本外傷歯学会・総会・学術大会」開幕、リハビリにフォーカスして歯の損失リスク軽減を目指す
2022.8.8 一般歯科
-
クラウド型歯科用レセコン「POWER5G」が口腔内シミュレーションサービス「DMFTシミュレーター」と提携
2022.6.28 予防歯科
-
豪発のブランド「ビーボックス」から歯固め発売、乳幼児でも持ちやすい設計に
2022.6.24 小児歯科
-
韓国発ライフスタイルケアブランド「ソルトレイン」日本初上陸、伊勢丹新宿でポップアップも
2022.6.22 その他
-
デントウェーブ運営の歯科衛生士向けコミュニティ「歯科衛生士のcoe」無料オンラインイベント開催
2022.3.2 その他
-
竹素材のオーガニック歯ブラシ、日本発サステナブランド「ミヨオーガニック」展開
2022.2.17 予防歯科
