現在指定中の条件
- 未選択
この条件の症例
2951件
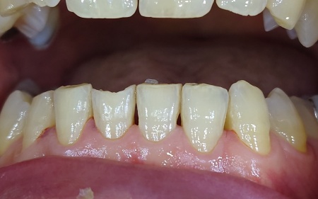
60代男性 歯根の炎症で腫れた歯ぐきを精密根管治療で回復し歯を温存した症例
- 根管治療
- 治療期間の目安 約4週間
- 治療回数の目安 -
- 治療費総額の目安 約120,000円
治療のリスク
・まれに根管治療後も再治療、外科手術、抜歯などの処置が必要となる場合があります ・治療中まれに器具の破折、被せ物や詰め物など修復物の損傷、歯の破折が起こる場合があります ・治療中や治療後に不快症状が出たり、治療後に痛みや腫れなどが生じたりする可能性があります ・一部の治療を除き、自費診療(保険...
by.海谷歯科医院
2026/03/12
60代女性 欠けた奥歯を強度に優れたジルコニアのオンレーで修復した症例
- 詰め物・被せもの
- セラミック・ジルコニア
- 治療期間の目安 約2週間
- 治療回数の目安 -
- 治療費総額の目安 約130,000円
治療のリスク
・装着に際し、天然歯を削る場合があります ・硬い素材の場合、他の天然歯を傷つけることがあります ・噛み合わせや歯ぎしりが強い場合、セラミックが割れる可能性があります ・一部の治療を除き、自費診療(保険適用外治療)です...
by.海谷歯科医院
2026/03/12
60代女性 割れた歯を抜かず審美性に優れたジルコニアの被せ物で修復した症例
- 根管治療
- 詰め物・被せもの
- セラミック・ジルコニア
- 治療期間の目安 約5週間
- 治療回数の目安 -
- 治療費総額の目安 約227,000円
治療のリスク
・装着に際し、天然歯を削る場合があります ・硬い素材の場合、他の天然歯を傷つけることがあります ・噛み合わせや歯ぎしりが強い場合、セラミックが割れる可能性があります ・一部の治療を除き、自費診療(保険適用外治療)です ・まれに根管治療後も再治療、外科手術、抜歯などの処置が必要となる場合があり...
by.海谷歯科医院
2026/03/12
14歳男の子 右上奥歯の虫歯を保険診療内の白い詰め物で治療した症例
- 虫歯
- コンポジットレジン
- 小児歯科
- 治療期間の目安 -
- 治療回数の目安 1回
- 治療費総額の目安 保険診療内
治療のリスク
・治療中に痛みを伴う場合があります ・治療後に正しい歯磨きやメンテナンスを怠ると、虫歯が再発する場合があります ・治療後は神経が過敏になっているため、痛みが生じる場合があります...
by.エスペレ歯科・ホープデンタルクリニック
2026/03/08
9歳男の子 大量に付着していたプラークを保険診療内のクリーニングで除去した症例
- 小児歯科
- クリーニング
- 治療期間の目安 -
- 治療回数の目安 1回
- 治療費総額の目安 保険診療内
治療のリスク
・病状、症状、患者様のお口の環境によって、複数回にわたる施術が必要となる場合があります ・治療が終わった後も、十分なセルフケアが必要です ・正しいブラッシングやメンテナンスを行わない場合、歯石の付着や虫歯が生じる可能性があります...
by.エスペレ歯科・ホープデンタルクリニック
2026/03/08
50代女性 下前歯の裏側に付着した歯石を保険診療内のクリーニングで除去した症例
- 歯石除去
- クリーニング
- 予防歯科
- 治療期間の目安 -
- 治療回数の目安 1回
- 治療費総額の目安 保険診療内
治療のリスク
・病状、症状、患者様のお口の環境によって、複数回にわたる施術が必要となる場合があります ・治療が終わった後も、十分なセルフケアが必要です ・正しいブラッシングやメンテナンスを行わない場合、歯石の付着や虫歯が生じる可能性があります...
by.エスペレ歯科・ホープデンタルクリニック
2026/03/05
70代男性 すり減った入れ歯にプラスチックの材料を盛り足して噛み合わせを改善した症例
- 部分入れ歯
- 治療期間の目安 -
- 治療回数の目安 1回
-
治療費総額の目安
約2,000円
(保険治療2割負担)
治療のリスク
・着脱式のため、食後の清掃が必要です ・最初のうちは異物感があり、慣れるまで時間がかかる場合があります ・慣れるまでは、入れ歯の裏側の粘膜に傷ができる場合があります...
by.いとう歯科医院
2026/03/05
30代女性 上前歯のホワイトスポットをIcon治療で目立たないように治療した症例
- ホワイトニング
- その他の診療
- 治療期間の目安 -
- 治療回数の目安 1回
-
治療費総額の目安
38,500円
(Icon治療2本分)
治療のリスク
・治療中、歯にしみるような痛みが出る場合があります ・得られる効果は歯の質により様々です。予定通りの白さに達しない場合もあります ・自費診療(保険適用外治療)です...
by.十日市場ファミリー歯科
2026/03/05
40代男性 前歯のホワイトスポットにIcon治療を施した症例
- ホワイトニング
- その他の診療
- 治療期間の目安 -
- 治療回数の目安 1回
-
治療費総額の目安
38,500円
(Icon治療 2本分)
治療のリスク
・治療中、歯にしみるような痛みが出る場合があります ・得られる効果は歯の質により様々です。予定通りの白さに達しない場合もあります ・自費診療(保険適用外治療)です...
by.十日市場ファミリー歯科
2026/03/05
30代男性 透明なマウスピース型の矯正装置で前歯の歯並びを整えた症例
- 矯正歯科
- マウスピース矯正
- 治療期間の目安 -
- 治療回数の目安 7回
- 治療費総額の目安 550,000円
治療のリスク
・決められたスケジュールを守らない場合、十分な効果が得られない可能性があります ・マウスピースに対応していない症例の場合、治療が難しい可能性があります ・歯の移動に伴って、痛みや違和感を感じる場合があります ・正しいブラッシングやメンテナンスを行わない場合、虫歯や歯周病のリスクが高まります...
by.三軒茶屋歯科
2026/03/04
RECOMMEND こちらもご参考ください
NEW CONTENT 新着コンテンツ
-
「第22回 一般社団法人 日本外傷歯学会・総会・学術大会」開幕、リハビリにフォーカスして歯の損失リスク軽減を目指す
2022.8.8 一般歯科
-
クラウド型歯科用レセコン「POWER5G」が口腔内シミュレーションサービス「DMFTシミュレーター」と提携
2022.6.28 予防歯科
-
豪発のブランド「ビーボックス」から歯固め発売、乳幼児でも持ちやすい設計に
2022.6.24 小児歯科
-
韓国発ライフスタイルケアブランド「ソルトレイン」日本初上陸、伊勢丹新宿でポップアップも
2022.6.22 その他
-
デントウェーブ運営の歯科衛生士向けコミュニティ「歯科衛生士のcoe」無料オンラインイベント開催
2022.3.2 その他
-
竹素材のオーガニック歯ブラシ、日本発サステナブランド「ミヨオーガニック」展開
2022.2.17 予防歯科
