現在指定中の条件
- 未選択
この条件の症例
2856件
50代女性 補強用の金属線を埋め込む修理で割れた入れ歯を使えるようにした症例
- 部分入れ歯
- 治療期間の目安 -
- 治療回数の目安 1回
-
治療費総額の目安
約3,000円
(保険診療3割負担)
治療のリスク
・着脱式のため、食後の清掃が必要です ・最初のうちは異物感があり、慣れるまで時間がかかる場合があります ・慣れるまでは、入れ歯の裏側の粘膜に傷ができる場合があります...
by.いとう歯科医院
2025/10/13
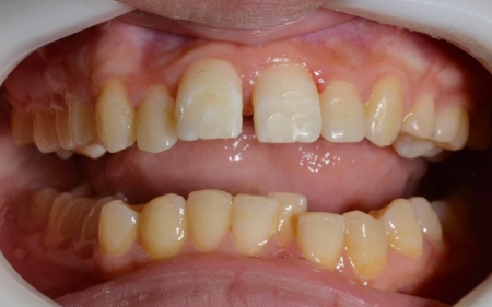
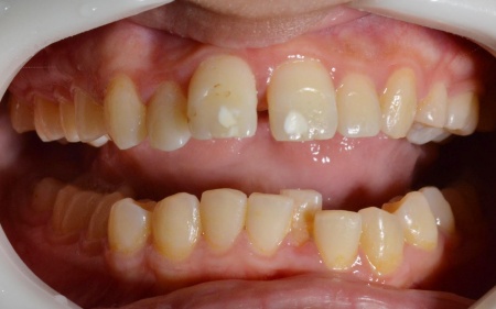
40代男性 前歯のホワイトスポットにIcon治療を行った症例
- ホワイトニング
- その他の診療
- 治療期間の目安 -
- 治療回数の目安 1回
-
治療費総額の目安
54,800円
(Icon治療2本分)
治療のリスク
・治療中、歯にしみるような痛みが出る場合があります ・得られる効果は歯の質により様々です。予定通りの白さに達しない場合もあります ・自費診療(保険適用外治療)です...
by.十日市場ファミリー歯科
2025/10/10
50代女性 目立つ銀歯を白い素材のe-maxインレーで修復し直した症例
- 詰め物・被せもの
- セラミック・ジルコニア
- 治療期間の目安 -
- 治療回数の目安 2回
-
治療費総額の目安
110,000円
(e-maxインレー2本)
治療のリスク
・装着に際し、天然歯を削る場合があります ・硬い素材の場合、他の天然歯を傷つけることがあります ・噛み合わせや歯ぎしりが強い場合、セラミックが割れる可能性があります ・一部の治療を除き、自費診療(保険適用外治療)です...
by.十日市場ファミリー歯科
2025/10/10
10代男性 下顎がずれて非対称になっていた噛み合わせをサージェリーファースト法を併用した矯正治療で改善した症例
- 矯正歯科
- ワイヤー矯正
- 外科矯正
- 詰め物・被せもの
- セラミック・ジルコニア
- 抜歯
- 治療期間の目安 1年7ヶ月
- 治療回数の目安 -
- 治療費総額の目安 約1,500,000円
治療のリスク
・外科処置後に腫れ、出血が生じる場合があります ・外科処置後に痛みが長引く場合があります。必要に応じ痛み止めを併用します ・治療中、装置によってまれに頬の内側が傷つき、口内炎になる場合があります ・歯の移動に伴って、違和感や痛みを感じる場合があります ・冷たいものを飲んだときに歯がしみる「知...
by.医療法人NATURALEE_さわだデンタルクリニック
2025/10/04
50代女性 進行した虫歯を歯周外科手術と精密根管治療で治療した症例
- 歯周外科
- 根管治療
- 詰め物・被せもの
- セラミック・ジルコニア
- 治療期間の目安 約6ヶ月
- 治療回数の目安 -
-
治療費総額の目安
約305,000円
(歯周外科、精密根管治療、ファイバーコア、ジルコニアセラミッククラウン)
治療のリスク
・外科処置後に腫れ、出血が生じる場合があります ・外科処置後に痛みが長引く場合があります。必要に応じ痛み止めを併用します ・外科処置後のメンテナンスを怠ると、良好な結果が得られない可能性があります ・まれに根管治療後も再治療、外科手術、抜歯などの処置が必要となる場合があります ・治療中や治療...
by.大塚歯科
2025/10/03
40代男性 乱れた歯並びと重度歯周病をワイヤー矯正と歯周再生療法で治療した症例
- 歯周外科
- 矯正歯科
- ワイヤー矯正
- 歯科口腔外科
- 抜歯
- 治療期間の目安 約2年
- 治療回数の目安 -
-
治療費総額の目安
約1,150,000円
(矯正治療・歯周再生療法)
治療のリスク
・治療中、発音しにくい場合があります ・歯の移動に伴って、違和感や痛みを感じる場合があります ・冷たいものを飲んだときに歯がしみる「知覚過敏」の症状が出る場合があります ・持病をお持ちの方や、服用中のお薬の種類によっては、外科処置ができない場合があります ・外科処置後に腫れ、出血が生じる場合...
by.大塚歯科
2025/10/03
40代女性 炎症を起こした右上奥歯にマイクロスコープを用いた精密根管治療を行った症例
- 根管治療
- 詰め物・被せもの
- セラミック・ジルコニア
- 治療期間の目安 -
-
治療回数の目安
5回
(根管治療から被せ物装着まで) - 治療費総額の目安 270,000円
治療のリスク
・まれに根管治療後も再治療、外科手術、抜歯などの処置が必要となる場合があります ・治療中まれに器具の破折、被せ物や詰め物など修復物の損傷、歯の破折が起こる場合があります ・治療中や治療後に不快症状が出たり、治療後に痛みや腫れなどが生じたりする可能性があります ・装着に際し、天然歯を削る場合があ...
by.武内歯科医院
2025/10/03
30代女性 歯ぐきにできものができた歯に精密根管治療を行った症例
- 根管治療
- 治療期間の目安 -
- 治療回数の目安 2回
- 治療費総額の目安 44,000円
治療のリスク
・まれに根管治療後も再治療、外科手術、抜歯などの処置が必要となる場合があります ・治療中まれに器具の破折、被せ物や詰め物など修復物の損傷、歯の破折が起こる場合があります ・治療中や治療後に不快症状が出たり、治療後に痛みや腫れなどが生じたりする可能性があります ・一部の治療を除き、自費診療(保険...
by.武内歯科医院
2025/10/03
30代女性 歯根が割れた左上下奥歯を抜きインプラント治療で噛み合わせを回復した症例
- 詰め物・被せもの
- セラミック・ジルコニア
- インプラント
- 抜歯
- 治療期間の目安 約4ヶ月
- 治療回数の目安 -
- 治療費総額の目安 約840,000円
治療のリスク
・外科手術のため、術後に痛みや腫れ、違和感を伴います ・メンテナンスを怠ったり、喫煙したりすると、お口の中に大きな悪影響を及ぼし、インプラント周囲炎等にかかる可能性があります ・糖尿病、肝硬変、心臓病などの持病をお持ちの場合、インプラント治療ができない可能性があります ・高血圧、貧血・不整脈な...
by.海谷歯科医院
2025/10/03
50代女性 重度の歯周病と乱れた歯並びを歯周再生療法と矯正治療で改善した症例
- 歯周外科
- 矯正歯科
- 歯周病
- ワイヤー矯正
- 詰め物・被せもの
- セラミック・ジルコニア
- その他の診療
- 再生医療
- 治療期間の目安 約2年
- 治療回数の目安 -
-
治療費総額の目安
約1,550,000円
(矯正治療、再生療法、ジルコニアクラウン)
一部保険適用
(下顎骨隆起除去)
治療のリスク
・病状、症状、患者様のお口の環境によって、複数回にわたる施術が必要となる場合があります ・外科処置後に腫れ、出血が生じる場合があります ・外科処置後のメンテナンスを怠ると、良好な結果が得られない可能性があります ・治療中、装置によってまれに頬の内側が傷つき、口内炎になる場合があります ・歯の...
by.大塚歯科
2025/09/30
RECOMMEND こちらもご参考ください
NEW CONTENT 新着コンテンツ
-
「第22回 一般社団法人 日本外傷歯学会・総会・学術大会」開幕、リハビリにフォーカスして歯の損失リスク軽減を目指す
2022.8.8 一般歯科
-
クラウド型歯科用レセコン「POWER5G」が口腔内シミュレーションサービス「DMFTシミュレーター」と提携
2022.6.28 予防歯科
-
豪発のブランド「ビーボックス」から歯固め発売、乳幼児でも持ちやすい設計に
2022.6.24 小児歯科
-
韓国発ライフスタイルケアブランド「ソルトレイン」日本初上陸、伊勢丹新宿でポップアップも
2022.6.22 その他
-
デントウェーブ運営の歯科衛生士向けコミュニティ「歯科衛生士のcoe」無料オンラインイベント開催
2022.3.2 その他
-
竹素材のオーガニック歯ブラシ、日本発サステナブランド「ミヨオーガニック」展開
2022.2.17 予防歯科